Skip to main content

MRPL15 Antibody - BSA Free

Novus Biologicals, part of Bio-Techne | Catalog # NBP1-92137

Novus Biologicals, part of Bio-Techne
Catalog #
Availability
Size / Price
Qty
Loading...
NBP1-92137
NBP1-92137-25ul

Key Product Details

Validated by

Orthogonal Validation

Species Reactivity

Human, Mouse, Rat

Applications

Immunohistochemistry, Immunohistochemistry-Paraffin, Western Blot

Label

Unconjugated

Antibody Source

Polyclonal Rabbit IgG

Format

BSA Free

Concentration

Concentrations vary lot to lot. See vial label for concentration. If unlisted please contact technical services.

Product Specifications

Immunogen

This antibody was developed against Recombinant Protein corresponding to amino acids: LRGQPIPKRMLPPEELVPYYTDAKNRGYLADPAKFPEARLELARKYGYILPDITKDELFKMLCTRKDPRQIFFGLAPGWVVNMADKKILKPTDEN

Clonality

Polyclonal

Host

Rabbit

Isotype

IgG

Description

Novus Biologicals Rabbit MRPL15 Antibody - BSA Free (NBP1-92137) is a polyclonal antibody validated for use in IHC and WB. All Novus Biologicals antibodies are covered by our 100% guarantee.

Scientific Data Images for MRPL15 Antibody - BSA Free

Western Blot: MRPL15 Antibody [NBP1-92137]

Western Blot: MRPL15 Antibody [NBP1-92137]

Western Blot: MRPL15 Antibody [NBP1-92137] - Lane 1: NIH-3T3 cell lysate (Mouse embryonic fibroblast cells). Lane 2: NBT-II cell lysate (Rat Wistar bladder tumor cells).
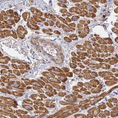
Immunohistochemistry-Paraffin: MRPL15 Antibody [NBP1-92137]

Immunohistochemistry-Paraffin: MRPL15 Antibody [NBP1-92137]

Immunohistochemistry-Paraffin: MRPL15 Antibody [NBP1-92137] - Staining in human heart muscle and pancreas tissues using anti-MRPL15 antibody. Corresponding MRPL15 RNA-seq data are presented for the same tissues.
Western Blot: MRPL15 Antibody [NBP1-92137]

Western Blot: MRPL15 Antibody [NBP1-92137]

Western Blot: MRPL15 Antibody [NBP1-92137] - Lane 1: Marker [kDa] 250, 130, 95, 72, 55, 36, 28, 17, 10. Lane 2: Human cell line RT-4. Lane 3: Human cell line U-251MG sp

Applications for MRPL15 Antibody - BSA Free

Application
Recommended Usage

Immunohistochemistry

1:200 - 1:500

Immunohistochemistry-Paraffin

1:200 - 1:500

Western Blot

0.04-0.4 ug/ml
Application Notes
For IHC-Paraffin, HIER pH 6 retrieval is recommended.

Formulation, Preparation, and Storage

Purification

Affinity purified

Formulation

PBS (pH 7.2) and 40% Glycerol

Format

BSA Free

Preservative

0.02% Sodium Azide

Concentration

Concentrations vary lot to lot. See vial label for concentration. If unlisted please contact technical services.

Shipping

The product is shipped with polar packs. Upon receipt, store it immediately at the temperature recommended below.

Stability & Storage

Store at 4C short term. Aliquot and store at -20C long term. Avoid freeze-thaw cycles.

Background: MRPL15

MRPL15 encodes the 39s ribosomal protien L15 in humans. The 39s ribosomal protien L15 helps with protien synthesis within mitchondria.

Alternate Names

L15mtHSPC145, mitochondrial ribosomal protein L15, MRP-L1539S ribosomal protein L15, mitochondrial, MRP-L7, RPML7

Gene Symbol

MRPL15

Additional MRPL15 Products

Product Documents for MRPL15 Antibody - BSA Free

Certificate of Analysis

To download a Certificate of Analysis, please enter a lot number in the search box below.

Product Specific Notices for MRPL15 Antibody - BSA Free

This product is for research use only and is not approved for use in humans or in clinical diagnosis. Primary Antibodies are guaranteed for 1 year from date of receipt.

Loading...
Loading...
Loading...
Loading...