MROH8 Antibody - BSA Free
Novus Biologicals, part of Bio-Techne | Catalog # NBP2-34133
Key Product Details
Species Reactivity
Human
Applications
Immunocytochemistry/ Immunofluorescence, Immunohistochemistry, Immunohistochemistry-Paraffin
Label
Unconjugated
Antibody Source
Polyclonal Rabbit IgG
Format
BSA Free
Concentration
Concentrations vary lot to lot. See vial label for concentration. If unlisted please contact technical services.
Product Specifications
Immunogen
This antibody was developed against a recombinant protein corresponding to amino acids: EPLSHSPRHLTQQDPLSEAIVEKLIQSIQKVFNGELKGELEKLKFLGDLSSLSQALPHDETAKSFIHSHIADIVHTLNVLVQEERPHSLSSSMRQEVFVTIAD
Clonality
Polyclonal
Host
Rabbit
Isotype
IgG
Description
Novus Biologicals Rabbit MROH8 Antibody - BSA Free (NBP2-34133) is a polyclonal antibody validated for use in IHC and ICC/IF. All Novus Biologicals antibodies are covered by our 100% guarantee.
Scientific Data Images for MROH8 Antibody - BSA Free
Immunocytochemistry/ Immunofluorescence: MROH8 Antibody [NBP2-34133]
Immunocytochemistry/Immunofluorescence: C20orf132 Antibody [NBP2-34133] - Staining of human cell line SH-SY5Y shows localization to nucleus & cytosol.Immunohistochemistry-Paraffin: MROH8 Antibody [NBP2-34133]
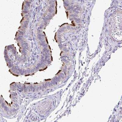
Immunohistochemistry-Paraffin: C20orf132 Antibody [NBP2-34133] - Staining of human fallopian tube shows distinct membranous positivity in glandular cells.Applications for MROH8 Antibody - BSA Free
Application
Recommended Usage
Immunocytochemistry/ Immunofluorescence
0.25-2 ug/ml
Immunohistochemistry
1:500 - 1:1000
Immunohistochemistry-Paraffin
1:500 - 1:1000
Application Notes
For IHC-Paraffin, HIER pH 6 retrieval is recommended. Immunocytochemistry/Immunofluorescence Fixation Permeabilization: Use PFA/Triton X-100.
Formulation, Preparation, and Storage
Purification
Immunogen affinity purified
Formulation
PBS (pH 7.2) and 40% Glycerol
Format
BSA Free
Preservative
0.02% Sodium Azide
Concentration
Concentrations vary lot to lot. See vial label for concentration. If unlisted please contact technical services.
Shipping
The product is shipped with polar packs. Upon receipt, store it immediately at the temperature recommended below.
Stability & Storage
Store at 4C short term. Aliquot and store at -20C long term. Avoid freeze-thaw cycles.
Background: MROH8
Alternate Names
C20orf131, chromosome 20 open reading frame 131, chromosome 20 open reading frame 132, dJ621N11.3, dJ621N11.4, DKFZp434N0426, FLJ36113, hypothetical protein LOC140699
Gene Symbol
MROH8
UniProt
Additional MROH8 Products
Product Documents for MROH8 Antibody - BSA Free
Product Specific Notices for MROH8 Antibody - BSA Free
This product is for research use only and is not approved for use in humans or in clinical diagnosis. Primary Antibodies are guaranteed for 1 year from date of receipt.
Loading...
Loading...
Loading...
Loading...