Skip to main content

Mre11 Antibody (15B8.1E7.6) - Azide and BSA Free

Novus Biologicals, part of Bio-Techne | Catalog # NBP2-80856

Novus Biologicals, part of Bio-Techne

Key Product Details

Species Reactivity

Human, Mouse

Applications

Immunohistochemistry, Immunohistochemistry-Paraffin, Western Blot, Flow Cytometry, Flow (Intracellular), Immunocytochemistry/ Immunofluorescence, CyTOF-ready

Label

Unconjugated

Antibody Source

Monoclonal Armenian Hamster IgG Clone # 15B8.1E7.6

Format

Azide and BSA Free

Concentration

1 mg/ml

Product Specifications

Immunogen

Mre11 Antibody (15B8.1E7.6) - Azide and BSA Free was made to a partial recombinant mouse Mre11 protein (amino acids 68-608) [UniProt Q61216]

Clonality

Monoclonal

Host

Armenian Hamster

Isotype

IgG

Description

Novus Biologicals Armenian Hamster Mre11 Antibody (15B8.1E7.6) - Azide and BSA Free (NBP2-59677) is a monoclonal antibody validated for use in IHC, WB, Flow and ICC/IF. All Novus Biologicals antibodies are covered by our 100% guarantee.

Scientific Data Images for Mre11 Antibody (15B8.1E7.6) - Azide and BSA Free

Western Blot: Mre11 Antibody (15B8.1E7.6)Azide and BSA Free [NBP2-80856]

Western Blot: Mre11 Antibody (15B8.1E7.6)Azide and BSA Free [NBP2-80856]

Western Blot: Mre11 Antibody (15B8.1E7.6) - Azide and BSA Free [NBP2-80856] - Total protein from human HeLa, Jurkat, and mouse MEF and Neuro2A cell lines was separated on a 12% gel by SDS-PAGE, transferred to PVDF membrane and blocked in 5% non-fat milk in TBST. The membrane was probed with 1.0 ug/ml anti-Mre11 in block buffer and detected with an anti-Armenian Hamster HRP secondary antibody using chemiluminescence. Image from the standard format of this antibody.
Immunocytochemistry/ Immunofluorescence: Mre11 Antibody (15B8.1E7.6) - Azide and BSA Free [NBP2-80856]

Immunocytochemistry/ Immunofluorescence: Mre11 Antibody (15B8.1E7.6) - Azide and BSA Free [NBP2-80856]

Immunocytochemistry/Immunofluorescence: Mre11 Antibody (15B8.1E7.6) - Azide and BSA Free [NBP2-80856] - HeLa cells were fixed for 10 minutes using 10% formalin and then permeabilized for 5 minutes using 1X TBS + 0.5% Triton-X100. The cells were incubated with anti-Mre11 (15B8.1E7.6) at 2 ug/ml overnight at 4C and detected with an anti-Armenian hamster IgG Dylight 488 (Green) at a 1:500 dilution. Actin was detected with Phalloidin 568 (Red) at a 1:200 dilution. Nuclei were counterstained with DAPI (Blue). Cells were imaged using a 40X objective. Image from the standard format of this antibody.
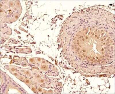
Immunohistochemistry-Paraffin: Mre11 Antibody (15B8.1E7.6) - Azide and BSA Free [NBP2-80856]

Immunohistochemistry-Paraffin: Mre11 Antibody (15B8.1E7.6) - Azide and BSA Free [NBP2-80856]

Immunohistochemistry-Paraffin: Mre11 Antibody (15B8.1E7.6) - Azide and BSA Free [NBP2-80856] - IHC analysis of a formalin fixed paraffin embedded (FFPE) tissue section of mouse prostate using 1:500 dilution of Mre11 antibody (clone 15B8.1E7.6). The signal was developed using HRP-DAB indirect detection method and the sections were counterstained usi

Applications for Mre11 Antibody (15B8.1E7.6) - Azide and BSA Free

Application
Recommended Usage

Flow Cytometry

1 - 2.5 ug/ml

Immunocytochemistry/ Immunofluorescence

5-10 ug/ml

Immunohistochemistry

2 ug/ml

Immunohistochemistry-Paraffin

2 ug/ml

Western Blot

1 - 2 ug/ml

Formulation, Preparation, and Storage

Purification

Protein A or G purified

Formulation

PBS

Format

Azide and BSA Free

Preservative

No Preservative

Concentration

1 mg/ml

Shipping

The product is shipped with polar packs. Upon receipt, store it immediately at the temperature recommended below.

Stability & Storage

Store at 4C short term. Aliquot and store at -20C long term. Avoid freeze-thaw cycles.

Background: Mre11

Mre11 (double-strand break repair protein MRE11A) is an important component of MRN/X complex (Mre11, Rad50, and Nbs1/Xrs2), playing a central role in double-strand break (DSB) repair, DNA recombination, telomere integrity maintenance, meiotic cell division, and viral infection. Mre11 and Rad50 comprise the catalytic component of the MRN complex with Rad50 involved in ATP hydrolysis and Mre11 functioning as a nuclease having both single-strand endonuclease and double-strand-specific 3'-5' exonuclease activity (1). The MRN complex is also involved in DNA damage signaling via activation of ATM kinase and in telomeres, where it may modulate t-loop formation (2). In addition, Mre11 is a component of the BASC complex (BRCA1, MSH2, MSH6, MLH1, ATM, BLM, RAD50, MRE11A and NBN) and interacts with DCLRE1C/Artemis as well as DCLRE1B/Apollo (3).

The MRN assembles as a hetero-hexamer consisting of 2 RAD50 subunits, 2 MRE11 nucleases, and 2 NBS1 subunits, specific to eukaryotes. Mre11 is highly conserved with the N-terminal region of the human protein sharing approximately 50% amino acid sequence identity with the yeast ortholog. Human Mre11 has 3 known isoforms with the predominant isoform having a theoretical molecular weight of 80.6kDa. This nuclear localized protein has high expression in proliferating tissues. Defects in Mre11 can lead to genomic instability, telomere shortening, aberrant meiosis, hypersensitivity to DNA damage, and ataxia telangiectasia-like disorder (ATLD). MRN expression has been associated with the prognosis of cancer and MRN mutants have been linked to cancer susceptibility in ovarian cancer and glioma (4, 5).

References

1. Paull TT. (2018) 20 Years of Mre11 Biology: No End in Sight. Mol Cell. 71(3):419-427. PMID: 30057197

2. Syed A, Tainer JA. (2018) The MRE11-RAD50-NBS1 Complex Conducts the Orchestration of Damage Signaling and Outcomes to Stress in DNA Replication and Repair. Annu Rev Biochem. 87:263-294. PMID: 29709199

3. Wang Y, Cortez D, Yazdi P, Neff N, Elledge SJ, Qin J. (2000) BASC, a super complex of BRCA1-associated proteins involved in the recognition and repair of aberrant DNA structures. Genes Dev. 14(8):927-39. PMID: 10783165

4. Kim JH, Grosbart M, Anand R, Wyman C, Cejka P, Petrini JHJ. (2017) The Mre11-Nbs1 Interface Is Essential for Viability and Tumor Suppression. Cell Rep. 18(2):496-507. PMID: 28076792

5. Bian L, Meng Y, Zhang M, Li D. (2019) MRE11-RAD50-NBS1 complex alterations and DNA damage response: implications for cancer treatment. Mol Cancer. 18(1):169. PMID: 31767017

Long Name

Meiotic Recombination 11 Homolog A

Alternate Names

MRE11A

Gene Symbol

MRE11

Additional Mre11 Products

Product Documents for Mre11 Antibody (15B8.1E7.6) - Azide and BSA Free

Certificate of Analysis

To download a Certificate of Analysis, please enter a lot number in the search box below.

Product Specific Notices for Mre11 Antibody (15B8.1E7.6) - Azide and BSA Free

This product is for research use only and is not approved for use in humans or in clinical diagnosis. Primary Antibodies are guaranteed for 1 year from date of receipt.

Loading...
Loading...
Loading...
Loading...
Loading...
Loading...