MPG Antibody
Novus Biologicals, part of Bio-Techne | Catalog # NB300-870
Key Product Details
Species Reactivity
Human
Applications
Immunohistochemistry, Immunohistochemistry-Paraffin, Western Blot, Peptide ELISA
Label
Unconjugated
Antibody Source
Polyclonal Goat IgG
Concentration
0.5 mg/ml
Product Specifications
Immunogen
Peptide with sequence C-SVVDRVAEQDTQA corresponding to C-Terminus according to NP_002425.2, NP_001015052.1, NP_001015054.1.
Specificity
This antibody is expected to recognize all three reported isoforms (NP_002425.2, NP_001015052.1 and NP_001015054.1)
Clonality
Polyclonal
Host
Goat
Isotype
IgG
Description
Novus Biologicals Goat MPG Antibody (NB300-870) is a polyclonal antibody validated for use in IHC, WB and ELISA. Anti-MPG Antibody: Cited in 1 publication. All Novus Biologicals antibodies are covered by our 100% guarantee.
Scientific Data Images for MPG Antibody
Western Blot: MPG Antibody [NB300-870]
Western Blot: MPG Antibody [NB300-870] - HEK293 lysate (RIPA buffer, 35 ug total protein). Primary antibody at 1 ug/ml incubated for 1 hour. Detected by chemiluminescence.Immunohistochemistry-Paraffin: MPG Antibody [NB300-870]
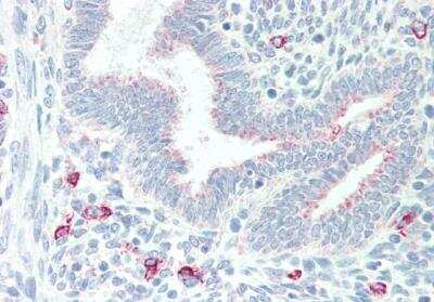
Immunohistochemistry-Paraffin: MPG Antibody [NB300-870] - Human uterus. Antibody at 5 ug/ml. Antigen retrieval with citrate buffer at pH 6. AP-staining.Applications for MPG Antibody
Application
Recommended Usage
Immunohistochemistry-Paraffin
5 ug/ml
Peptide ELISA
Detection limit 1:1000
Western Blot
1 - 3 ug/ml
Application Notes
WB: Approx. 37 kDa band observed in lysates of HEK293 and K562 (calculated MW of 32.9 kDa band according to NP_002425.2).
Formulation, Preparation, and Storage
Purification
Immunogen affinity purified
Formulation
Tris saline (20 mM Tris pH 7.3, 150 mM NaCl), 0.5% BSA
Preservative
0.02% Sodium Azide
Concentration
0.5 mg/ml
Shipping
The product is shipped with polar packs. Upon receipt, store it immediately at the temperature recommended below.
Stability & Storage
Store at -20C. Avoid freeze-thaw cycles.
Background: MPG
Alternate Names
3' end of the Mid1 gene, localized 68 kb upstream the humanzeta globin gene on16p, 3-alkyladenine DNA glycosylase, 3-methyladenine DNA glycosidase, AAG, ADPG, anpg, APNG, CRA36.1, CRA36.1 (3-methyl-adenine DNA glycosylase), DNA-3-methyladenine glycosylase, EC 3.2.2.21, MDGalkyladenine DNA glycosylase, Mid1, N-methylpurine-DNA glycosylase, MPG, N-methylpurine-DNA glycosylasePIG16, PIG11, proliferation-inducing protein 11, proliferation-inducing protein 16
Entrez Gene IDs
4350 (Human)
Gene Symbol
MPG
UniProt
Additional MPG Products
Product Documents for MPG Antibody
Product Specific Notices for MPG Antibody
This product is for research use only and is not approved for use in humans or in clinical diagnosis. Primary Antibodies are guaranteed for 1 year from date of receipt.
Loading...
Loading...
Loading...
Loading...