Skip to main content

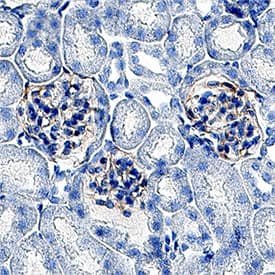
Mouse Podoplanin Antibody

R&D Systems, part of Bio-Techne | Catalog # MAB11608

R&D Systems, part of Bio-Techne
(3)
Catalog #
Availability
Size / Price
Qty
Loading...
MAB11608-100
MAB11608-SP

Key Product Details

Species Reactivity: Mouse
Immunogen: Mouse myeloma cell line, NS0-derived mouse Podoplanin
Gln21-Lys133
Accession # Q62011
Applications: Immunohistochemistry, Western Blot
Label: Unconjugated
Source: Monoclonal Rat IgG1 Clone # 1090106
Specificity:

Detects recombinant mouse Podoplanin in Direct ELISA

Loading...

Customer Reviews for Mouse Podoplanin Antibody

There are currently no reviews for this product. Be the first to review Mouse Podoplanin Antibody and earn rewards!

Have you used Mouse Podoplanin Antibody?

Submit a review and receive an Amazon gift card!

$25/€18/£15/$25CAN/¥2500 Yen for a review with an image

$10/€7/£6/$10CAN/¥1110 Yen for a review without an image

Submit a review
Amazon Gift Card

Product Documents for Mouse Podoplanin Antibody

Certificate of Analysis

To download a Certificate of Analysis, please enter a lot number in the search box below.

Note: Certificate of Analysis not available for kit components.