Skip to main content

Mouse Podocalyxin Antibody

R&D Systems, part of Bio-Techne | Catalog # MAB1556

R&D Systems, part of Bio-Techne

Key Product Details

Species Reactivity

Validated:

Mouse

Cited:

Human, Mouse, Rat, Transgenic Mouse

Applications

Validated:

Immunohistochemistry, Western Blot, Flow Cytometry, Immunocytochemistry, CyTOF-ready

Cited:

Immunohistochemistry, Immunohistochemistry-Frozen, Western Blot, Flow Cytometry, Immunocytochemistry, Bioassay, Co-Immunoprecipitation

Label

Unconjugated

Antibody Source

Monoclonal Rat IgG2B Clone # 192703

Product Specifications

Immunogen

Mouse myeloma cell line NS0-derived recombinant mouse Podocalyxin
Ser21-Arg402
Accession # Q9R0M4

Specificity

Detects mouse Podocalyxin in direct ELISAs and Western blots.

Clonality

Monoclonal

Host

Rat

Isotype

IgG2B

Scientific Data Images for Mouse Podocalyxin Antibody

Podocalyxin antibody in bEnd by Immunocytochemistry (ICC).3 Mouse Cell Line by Immunocytochemistry (ICC).

Podocalyxin in bEnd.3 Mouse Cell Line.

Podocalyxin was detected in immersion fixed bEnd.3 mouse endothelioma cell line using 10 µg/mL Rat Anti-Mouse Podocalyxin Monoclonal Antibody (Catalog # MAB1556) for 3 hours at room temperature. Cells were stained with the NorthernLights™ 557-conjugated Anti-Rat IgG Secondary Antibody (red; Catalog # NL013) and counterstained with DAPI (blue). View our protocol for Fluorescent ICC Staining of Cells on Coverslips.
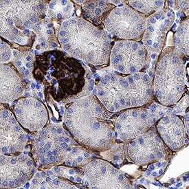
Podocalyxin antibody in Mouse Kidney Tissue by Immunohistochemistry (IHC-Fr).

Podocalyxin in Mouse Kidney Tissue.

Podocalyxin was detected in perfusion fixed frozen sections of mouse kidney tissue using Rat Anti-Mouse Podocalyxin Monoclonal Antibody (Catalog # MAB1556) at 1.7 µg/mL overnight at 4 °C. Before incubation with the primary antibody, tissue was subjected to heat-induced epitope retrieval using Antigen Retrieval Reagent-Basic (Catalog # CTS013). Tissue was stained using the Anti-Rat IgG VisUCyte™ HRP Polymer Antibody (brown; Catalog # VC005) and counterstained with hematoxylin (blue). Specific staining was localized to glomeruli. View our protocol for IHC Staining with VisUCyte HRP Polymer Detection Reagents.
Detection of Podocalyxin by Immunohistochemistry

Detection of Podocalyxin by Immunohistochemistry

Microglia in contact with retinal vessels. (a) Retinal vessels and microglia invasion 6 months after irradiation. Retina flat mounts stained with anti-podocalyxin (in red) to visualize luminal membrane of endothelial cells, anti-Iba1 (in green) to localize microglial cells or macrophages and Dapi (in blue) to stain nuclei. Scale bars represent 50 μm. (b) 3D-reconstruction of microglia invasion. Images from retina flat mounts stained with lectin (in green) to show vessel walls and anti-Iba1 (purple) to visualize microglial cells and macrophages. Scale bars represent 20 μm on the upper row, and 5 μm on the bottom row. Confocal microscopy images processed with IMARIS, Oxford Instrument, UK. Image collected and cropped by CiteAb from the following open publication (https://jneuroinflammation.biomedcentral.com/articles/10.1186/s12974-024-03151-2), licensed under a CC-BY license. Not internally tested by R&D Systems.

Applications for Mouse Podocalyxin Antibody

Application
Recommended Usage

CyTOF-ready

Ready to be labeled using established conjugation methods. No BSA or other carrier proteins that could interfere with conjugation.

Flow Cytometry

2.5 µg/106 cells
Sample: D3 mouse embryonic stem cell line

Immunocytochemistry

8-25 µg/mL
Sample: Immersion fixed bEnd.3 mouse endothelioma cell line

Immunohistochemistry

1-25 µg/mL
Sample: Perfusion fixed frozen sections of mouse kidney tissue

Western Blot

1 µg/mL
Sample: Recombinant Mouse Podocalyxin

Reviewed Applications

Read 3 reviews rated 5 using MAB1556 in the following applications:

Formulation, Preparation, and Storage

Purification

Protein A or G purified from hybridoma culture supernatant

Reconstitution

Reconstitute at 0.5 mg/mL in sterile PBS. For liquid material, refer to CoA for concentration.

Reconstitution Buffer Available:
Size / Price
Qty
Loading...

Formulation

Lyophilized from a 0.2 μm filtered solution in PBS with Trehalose. *Small pack size (SP) is supplied either lyophilized or as a 0.2 µm filtered solution in PBS.

Shipping

Lyophilized product is shipped at ambient temperature. Liquid small pack size (-SP) is shipped with polar packs. Upon receipt, store immediately at the temperature recommended below.

Stability & Storage

Use a manual defrost freezer and avoid repeated freeze-thaw cycles.
  • 12 months from date of receipt, -20 to -70 °C as supplied.
  • 1 month, 2 to 8 °C under sterile conditions after reconstitution.
  • 6 months, -20 to -70 °C under sterile conditions after reconstitution.

Background: Podocalyxin

Podocalyxin, also known as Podocalyxin-like protein-1 (PCLP1 or PODXL), is a type I transmembrane glycoprotein. It belongs to the CD34/Podocalyxin family of sialomucins that share structural similarity and sequence homology. Podocalyxin is a major sialoprotein in the podocytes of the kidney glomerulus and is also expressed by both endothelium and multipotent hematopoietic progenitors. It has been identified as a novel cell surface marker for hemangioblasts, the common precursors of hematopoietic and endothelial cells (1, 2).

References

  1. Li, J. et al. (2001) DNA Seq. 12(5):407.
  2. Hara, T. et al. (1999) Immunity 11(5):567.

Alternate Names

GCTM, PCLP, POD XL, PODXL

Entrez Gene IDs

5420 (Human); 27205 (Mouse)

Gene Symbol

PODXL

UniProt

Additional Podocalyxin Products

Product Documents for Mouse Podocalyxin Antibody

Certificate of Analysis

To download a Certificate of Analysis, please enter a lot number in the search box below.

Note: Certificate of Analysis not available for kit components.

Product Specific Notices for Mouse Podocalyxin Antibody

For research use only

Loading...
Loading...
Loading...
Loading...
Loading...