Skip to main content

Mouse PLET-1 Antibody

R&D Systems, part of Bio-Techne | Catalog # MAB6917

R&D Systems, part of Bio-Techne
Discontinued Product
MAB6917 has been discontinued. View all PLET-1 products.

Key Product Details

Species Reactivity

Validated:

Mouse

Cited:

Mouse

Applications

Validated:

CyTOF-ready, Flow Cytometry, Immunohistochemistry

Cited:

Neutralization

Label

Unconjugated

Antibody Source

Monoclonal Rat IgG1 Clone # 700738

Product Specifications

Immunogen

Mouse myeloma cell line NS0-derived recombinant mouse PLET-1
Ala27-Leu216
Accession # Q8VEN2

Specificity

Detects mouse PLET-1 in direct ELISAs.

Clonality

Monoclonal

Host

Rat

Isotype

IgG1

Scientific Data Images for Mouse PLET-1 Antibody

Detection of PLET-1 antibody in Mouse Thymocytes antibody by Flow Cytometry.

Detection of PLET-1 in Mouse Thymocytes by Flow Cytometry.

Mouse thymocytes were stained with Rat Anti-Mouse PLET-1 Monoclonal Antibody (Catalog # MAB6917, filled histogram) or isotype control antibody (Catalog # MAB005, open histogram), followed by Allophycocyanin-conjugated Anti-Rat IgG Secondary Antibody (Catalog # F0113).
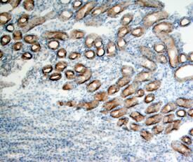
PLET-1 antibody in Mouse Kidney by Immunohistochemistry (IHC-Fr).

PLET‑1 in Mouse Kidney.

PLET-1 was detected in immersion fixed frozen sections of adult mouse kidney using Rat Anti-Mouse PLET-1 Monoclonal Antibody (Catalog # MAB6917) at 15 µg/mL overnight at 4 °C. Tissue was stained using the Anti-Rat HRP-DAB Cell & Tissue Staining Kit (brown; Catalog # CTS017) and counterstained with hematoxylin (blue). Specific staining was localized to medulla collecting ducts. View our protocol for Chromogenic IHC Staining of Frozen Tissue Sections.

Applications for Mouse PLET-1 Antibody

Application
Recommended Usage

CyTOF-ready

Ready to be labeled using established conjugation methods. No BSA or other carrier proteins that could interfere with conjugation.

Flow Cytometry

2.5 µg/106 cells
Sample: Mouse thymocytes

Immunohistochemistry

8-25 µg/mL
Sample: Immersion fixed frozen sections of adult mouse kidney

Formulation, Preparation, and Storage

Purification

Protein A or G purified from hybridoma culture supernatant

Reconstitution

Sterile PBS to a final concentration of 0.5 mg/mL. For liquid material, refer to CoA for concentration.

Formulation

Lyophilized from a 0.2 μm filtered solution in PBS with Trehalose. *Small pack size (SP) is supplied either lyophilized or as a 0.2 µm filtered solution in PBS.

Shipping

Lyophilized product is shipped at ambient temperature. Liquid small pack size (-SP) is shipped with polar packs. Upon receipt, store immediately at the temperature recommended below.

Stability & Storage

Use a manual defrost freezer and avoid repeated freeze-thaw cycles.
  • 12 months from date of receipt, -20 to -70 °C as supplied.
  • 1 month, 2 to 8 °C under sterile conditions after reconstitution.
  • 6 months, -20 to -70 °C under sterile conditions after reconstitution.

Background: PLET-1

PLET-1 (placenta-expressed transcript 1), also known as antigen mAgK114, is a 23 kDa membrane protein that is probably GPI-anchored. It is recognized by the antibodies MTS20 and MTS24. Mature mouse PLET-1, which most likely includes amino acids (aa) 28-216 of 237 aa, shares less than 60% aa sequence identity with the most closely related rat or human protein. A potential 194 aa mouse splice variant diverges after aa 149 but still contains a hydrophobic sequence at the C‑terminus. PLET-1 is a marker of early thymic progenitor cells and pancreatic duct epithelium.

Long Name

Placenta-expressed Transcript 1

Alternate Names

AgK114, PLET1

Entrez Gene IDs

76509 (Mouse)

Gene Symbol

PLET1

UniProt

Additional PLET-1 Products

Product Documents for Mouse PLET-1 Antibody

Certificate of Analysis

To download a Certificate of Analysis, please enter a lot number in the search box below.

Note: Certificate of Analysis not available for kit components.

Product Specific Notices for Mouse PLET-1 Antibody

For research use only

Loading...
Loading...
Loading...
Loading...
Loading...