Skip to main content

Key Product Details

Species Reactivity

Validated:

Mouse

Cited:

Mouse

Applications

Validated:

Immunohistochemistry, Western Blot, ELISA Detection (Matched Antibody Pair)

Cited:

Flow Cytometry, ELISA Development

Label

Biotin

Antibody Source

Polyclonal Goat IgG

Product Specifications

Immunogen

E. coli-derived recombinant mouse IL-15
Asn49-Ser162
Accession # P48346

Specificity

Detects mouse IL-15 in ELISAs and Western blots. In sandwich immunoassays, less than 0.3% cross-reactivity with recombinant human IL‑15 is observed.

Clonality

Polyclonal

Host

Goat

Isotype

IgG

Scientific Data Images for Mouse IL-15 Biotinylated Antibody

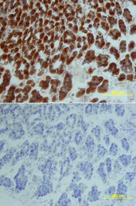
IL-15 antibody in Mouse Intestine by Immunohistochemistry (IHC-Fr).

IL‑15 in Mouse Intestine.

IL-15 was detected in perfusion fixed frozen sections of mouse intestine using Mouse IL-15 Biotinylated Antigen Affinity-purified Polyclonal Antibody (Catalog # BAF447) at 15 µg/mL overnight at 4 °C. Tissue was stained using the Anti-Goat HRP-DAB Cell & Tissue Staining Kit (brown; Catalog # CTS008) and counterstained with hematoxylin (blue). Lower panel shows a lack of labeling if primary antibodies are omitted and tissue is stained only with secondary antibody followed by incubation with detection reagents. View our protocol for Chromogenic IHC Staining of Frozen Tissue Sections.
IL-15 antibody in Mouse Intestine by Immunohistochemistry (IHC-Fr).

IL‑15 in Mouse Intestine.

IL-15 was detected in perfusion fixed frozen sections of mouse intestine using Mouse IL-15 Biotinylated Antigen Affinity-purified Polyclonal Antibody (Catalog # BAF447) at 15 µg/mL overnight at 4 °C. Tissue was stained using the Anti-Goat HRP-DAB Cell & Tissue Staining Kit (brown; Catalog # CTS008) and counterstained with hematoxylin (blue). Lower panel shows a lack of labeling if primary antibodies are omitted and tissue is stained only with secondary antibody followed by incubation with detection reagents. View our protocol for Chromogenic IHC Staining of Frozen Tissue Sections.

Applications for Mouse IL-15 Biotinylated Antibody

Application
Recommended Usage

Immunohistochemistry

5-15 µg/mL
Sample: Perfusion fixed frozen sections of mouse intestine

Western Blot

0.1 µg/mL
Sample: Recombinant Mouse IL-15 (Catalog # 447-ML)

Mouse IL-15 Sandwich Immunoassay

ELISA Detection (Matched Antibody Pair)
Recommended Concentration: 0.1-0.4 µg/mL
Use in combination with these reagents:
  • Capture Reagent: Mouse IL-15 Antibody (Catalog # MAB447)
  • Standard: Recombinant Mouse IL-15 Protein (Catalog # 447-ML)
Please Note: Optimal dilutions of this antibody should be experimentally determined.

Reviewed Applications

Read 1 review rated 5 using BAF447 in the following applications:

Formulation, Preparation, and Storage

Purification

Antigen Affinity-purified

Reconstitution

Reconstitute at 0.2 mg/mL in sterile PBS.

Reconstitution Buffer Available:
Size / Price
Qty
Loading...

Formulation

Lyophilized from a 0.2 μm filtered solution in PBS with BSA as a carrier protein.

Shipping

The product is shipped at ambient temperature. Upon receipt, store it immediately at the temperature recommended below.

Stability & Storage

Use a manual defrost freezer and avoid repeated freeze-thaw cycles.
  • 12 months from date of receipt, -20 to -70 °C as supplied.
  • 1 month, 2 to 8 °C under sterile conditions after reconstitution.
  • 6 months, -20 to -70 °C under sterile conditions after reconstitution.

Background: IL-15

Interleukin 15 (IL-15) is a widely expressed 14 kDa cytokine that is structurally and functionally related to IL-2 (1 - 3). Mature mouse IL-15 shares 70% and 96% amino acid sequence identity with human and rat IL-15, respectively. Alternate splicing generates isoforms of IL-15 with either a long or short signal peptide (LSP or SSP), and the SSP isoform is retained intracellularly (4). IL-15 binds with high affinity to IL-15 R alpha (5). It binds with lower affinity to a complex of IL-2 R beta and the common gamma chain ( gammac) which are also subunits of the IL-2 receptor complex (1, 6). IL-15 associates with IL-15 R alpha in the endoplasmic reticulum, and this complex is expressed on the cell surface (7, 8). The dominant mechanism of IL-15 action is known as transpresentation in which IL-15 and IL-15 R alpha are coordinately expressed on the surface of one cell and interact with complexes of IL-2 R beta/ gammac on adjacent cells (9). This enables cells to respond to IL-15 even if they do not express IL-15 R alpha (8, 10). Soluble IL-15-binding forms of IL-15 R alpha can be generated by proteolytic shedding or alternate splicing (11 - 13). These molecules retain the ability to bind tightly to IL-15 and can either inhibit or augment IL-15 function (5, 12, 13). Consistent with its shared use of IL-2 receptor subunits, IL-15 induces IL-2-like effects in lymphocyte development and homeostasis (3). It is particularly important for the maintenance and activation of NK cells and CD8+ memory T cells (3). IL-15 also exerts pleiotropic effects on other hematopoietic cells and non-immune cells (2). Ligation of membrane-associated IL-15/IL-15 R alpha complexes induces reverse signaling that promotes cellular adhesion, tyrosine phosphorylation of intracellular proteins, and cytokine secretion by the IL-15/IL-15 R alpha expressing cells (14, 15).

References

  1. Grabstein, K. et al. (1994) Science 264:965.
  2. Budagian, V. et al. (2006) Cytokine Growth Factor Rev. 17:259.
  3. Ma, A. et al. (2006) Annu. Rev. Immunol. 24:657.
  4. Tagaya, Y. et al. (1997) Proc. Natl. Acad. Sci. USA 94:14444.
  5. Giri, J.G. et al. (1995) EMBO J. 14:3654.
  6. Giri, J. et al. (1994) EMBO J. 13:2822.
  7. Duitman, E.H. et al. (2008) Mol. Cell. Biol. 28:4851.
  8. Dubois, S. et al. (2002) Immunity 17:537.
  9. Stonier, S.W. and K.S. Schluns (2010) Immunol. Lett. 127:85.
  10. Burkett, P.R. et al. (2004) J. Exp. Med. 200:825.
  11. Budagian, V. et al. (2004) J. Biol. Chem. 279:40368.
  12. Mortier, E. et al. (2004) J. Immunol. 173:1681.
  13. Bulanova, E. et al. (2007) J. Biol. Chem. 282:13167.
  14. Budagian, V. et al. (2004) J. Biol. Chem. 279:42192.
  15. Neely, G.G. et al. (2004) J. Immunol. 172:4225.

Long Name

Interleukin 15

Alternate Names

IL15

Entrez Gene IDs

3600 (Human); 16168 (Mouse); 25670 (Rat); 102119613 (Cynomolgus Monkey); 493682 (Feline)

Gene Symbol

IL15

UniProt

Additional IL-15 Products

Product Documents for Mouse IL-15 Biotinylated Antibody

Certificate of Analysis

To download a Certificate of Analysis, please enter a lot number in the search box below.

Note: Certificate of Analysis not available for kit components.

Product Specific Notices for Mouse IL-15 Biotinylated Antibody

For research use only

Loading...
Loading...
Loading...
Loading...