Skip to main content

Key Product Details

Species Reactivity

Validated:

Mouse

Cited:

Human, Mouse, Rat

Applications

Validated:

Immunohistochemistry, Western Blot

Cited:

Immunohistochemistry, Western Blot, Immunocytochemistry

Label

Unconjugated

Antibody Source

Polyclonal Goat IgG

Product Specifications

Immunogen

Mouse myeloma cell line NS0-derived recombinant mouse Frizzled-7
Gln33-Leu185
Accession # Q61090

Specificity

Detects mouse Frizzled-7 in direct ELISAs and Western blots. In direct ELISAs, approximately 15% cross-reactivity with recombinant mouse (rm) Frizzled-2 and less than 5% cross-reactivity with rmFrizzled-3, rmFrizzled-4, rhFrizzled-5, rmFrizzled-6, rmFrizzled-8, and rmFrizzled-9 is observed.

Clonality

Polyclonal

Host

Goat

Isotype

IgG

Scientific Data Images for Mouse Frizzled-7 Antibody

Detection of Mouse Frizzled-7 antibody by Western Blot.

Detection of Mouse Frizzled‑7 by Western Blot.

Western blot shows lysates of HepG2 human hepatocellular carcinoma cell line. PVDF membrane was probed with 0.25 µg/mL of Goat Anti-Mouse Frizzled-7 Antigen Affinity-purified Polyclonal Antibody (Catalog # AF198) followed by HRP-conjugated Anti-Goat IgG Secondary Antibody (Catalog # HAF019). A specific band was detected for Frizzled-7 at approximately 65 kDa (as indicated). This experiment was conducted under reducing conditions and using Immunoblot Buffer Group 1.
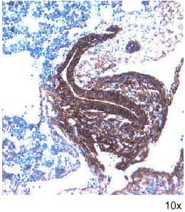
Frizzled-7 antibody in Embryonic Mouse Gastrointestinal Tract by Immunohistochemistry (IHC-Fr).

Frizzled‑7 in Embryonic Mouse Gastrointestinal Tract.

Frizzled-7 was detected in immersion fixed frozen sections of embryonic mouse gastrointestinal tract (11 d.p.c.) using 15 µg/mL Goat Anti-Mouse Frizzled-7 Antigen Affinity-purified Polyclonal Antibody (Catalog # AF198) overnight at 4 °C. Tissue was stained with the Anti-Goat HRP-DAB Cell & Tissue Staining Kit (brown; Catalog # CTS008) and counterstained with hematoxylin (blue). View our protocol for Chromogenic IHC Staining of Frozen Tissue Sections.
Detection of Frizzled-7 by Western Blot

Detection of Frizzled-7 by Western Blot

Knockdown of FZD5 and FZD7 leads to a reduction in growth of EC cells. NT2/D1 and NT2/D1-R1 cells were individually transfected with siRNAs to knockdown FZD5 or FZD7, or with a control siRNA construct, pGL2 or RISC. Graphs depict a representative experiment performed in triplicate. Error bars represent standard deviation. a) Expression of FZD5 and FZD7 proteins in NT2/D1 cells was quantified using immunoblotting on non-reducing gels. b) Number of NT2/D1 cells and c) number of NT2/D1-R1 cells after 4 days compared to initial number of seeded cells. (* p < 0.05, **p < 0.005, ***p < 0.0005). Image collected and cropped by CiteAb from the following open publication (https://pubmed.ncbi.nlm.nih.gov/19874621), licensed under a CC-BY license. Not internally tested by R&D Systems.

Applications for Mouse Frizzled-7 Antibody

Application
Recommended Usage

Immunohistochemistry

5-15 µg/mL
Sample: Immersion fixed frozen sections of embryonic mouse gastrointestinal tract (11 d.p.c.)

Western Blot

0.25 µg/mL
Sample: HepG2 human hepatocellular carcinoma cell line

Formulation, Preparation, and Storage

Purification

Antigen Affinity-purified

Reconstitution

Reconstitute at 0.2 mg/mL in sterile PBS. For liquid material, refer to CoA for concentration.

Reconstitution Buffer Available:
Size / Price
Qty
Loading...

Formulation

Lyophilized from a 0.2 μm filtered solution in PBS with Trehalose. *Small pack size (SP) is supplied either lyophilized or as a 0.2 µm filtered solution in PBS.

Shipping

Lyophilized product is shipped at ambient temperature. Liquid small pack size (-SP) is shipped with polar packs. Upon receipt, store immediately at the temperature recommended below.

Stability & Storage

Use a manual defrost freezer and avoid repeated freeze-thaw cycles.
  • 12 months from date of receipt, -20 to -70 °C as supplied.
  • 1 month, 2 to 8 °C under sterile conditions after reconstitution.
  • 6 months, -20 to -70 °C under sterile conditions after reconstitution.

Background: Frizzled-7

The Wnt genes encode a large family of glycoproteins that are essential in development and tissue maintenance (1). Members of the Frizzled family of proteins serve as receptors for the Wnt signaling pathway (2). The predicted structure of Frizzled proteins is similar among all family members, containing a divergent N-terminal signal peptide, a highly conserved extracellular cysteine-rich domain (CRD), a variable-length linker region, a seven-pass transmembrane region, and a variable-length C-terminal cytoplasmic domain. The CRD, which comprises the Wnt binding site, spans about 130 amino acid residues and contains ten invariant cysteine residues. Mouse Frizzled-7 contains 572 amino acid residues and shares 99% identity with the human orthologue in the CRD (3, 4). Frizzled-7 mRNA has been detected in relatively large amounts in adult skeletal muscle, plancenta and heart, and fetal kidney and lung (3). Several Frizzled-dependent signaling pathways exist (2). Their activation depends on the Wnt ligand and the cell context. Frizzled-7 can activate canonical Wnt/ beta-Catenin signaling, as well as a non-canonical pathway involved in tissue morphogenesis (4, 5).

References

  1. Wodarz, A. and R. Nusse (1998) Annu. Rev. Cell Dev. Biol. 14:59.
  2. Hsieh, J-C. (2004) Front. Biosci. 9:1333.
  3. Sagara, N. et al. (1998) Biochem. Biophys. Res. Commun. 252:117.
  4. Sheldahl, L.C. et al. (1999) Curr. Biol. 9:695.
  5. Medina, A. et al. (2000) Mech. Dev. 92:227.

Alternate Names

Frizzled7, FZD7

Entrez Gene IDs

8324 (Human); 14369 (Mouse)

Gene Symbol

FZD7

UniProt

Additional Frizzled-7 Products

Product Documents for Mouse Frizzled-7 Antibody

Certificate of Analysis

To download a Certificate of Analysis, please enter a lot number in the search box below.

Note: Certificate of Analysis not available for kit components.

Product Specific Notices for Mouse Frizzled-7 Antibody

For research use only

Loading...
Loading...
Loading...
Loading...