Skip to main content

Key Product Details

Species Reactivity

Validated:

Mouse

Cited:

Mouse, Transgenic Mouse

Applications

Validated:

Immunohistochemistry, Western Blot, Flow Cytometry, CyTOF-ready

Cited:

Immunohistochemistry, CITE-seq

Label

Unconjugated

Antibody Source

Polyclonal Goat IgG

Product Specifications

Immunogen

Mouse myeloma cell line NS0-derived recombinant mouse ESAM
Gln30-Ser248 (predicted)
Accession # Q925F2

Specificity

Detects mouse ESAM in direct ELISAs and Western blots. In direct ELISAs and Western blots, approximately 15% cross-reactivity with recombinant human ESAM is observed.

Clonality

Polyclonal

Host

Goat

Isotype

IgG

Scientific Data Images for Mouse ESAM Antibody

Detection of ESAM in bEnd.3 cells by Flow Cytometry

bEnd.3 cells were stained with Goat Anti-Mouse ESAM Antigen Affinity-purified Polyclonal Antibody (Catalog # AF2827, filled histogram) or isotype control antibody (Catalog # AB-108-C, open histogram) followed by Allophycocyanin-conjugated Anti-Goat IgG Secondary Antibody (Catalog # F0108). View our protocol for Staining Membrane-associated Proteins.

Detection of ESAM in Mouse Kidney.

ESAM was detected in immersion fixed paraffin-embedded sections of mouse kidney using Goat Anti-Mouse ESAM Antigen Affinity-purified Polyclonal Antibody (Catalog # af2827) at 5 µg/ml for 1 hour at room temperature followed by incubation with the Anti-Goat IgG VisUCyte™ HRP Polymer Antibody (Catalog # VC004). Before incubation with the primary antibody, tissue was subjected to heat-induced epitope retrieval using VisUCyte Antigen Retrieval Reagent-Basic (Catalog # VCTS021). Tissue was stained using DAB (brown) and counterstained with hematoxylin (blue). Specific staining was localized to the cell surface of vascular endothelial cells. View our protocol for IHC Staining with VisUCyte HRP Polymer Detection Reagents.

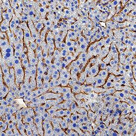
Detection of ESAM in Mouse Liver.

ESAM was detected in immersion fixed paraffin-embedded sections of mouse liver using Goat Anti-Mouse ESAM Antigen Affinity-purified Polyclonal Antibody (Catalog # af2827) at 5 µg/ml for 1 hour at room temperature followed by incubation with the Anti-Goat IgG VisUCyte™ HRP Polymer Antibody (Catalog # VC004). Before incubation with the primary antibody, tissue was subjected to heat-induced epitope retrieval using VisUCyte Antigen Retrieval Reagent-Basic (Catalog # VCTS021). Tissue was stained using DAB (brown) and counterstained with hematoxylin (blue). Specific staining was localized to the cell surface of vascular endothelial cells. View our protocol for IHC Staining with VisUCyte HRP Polymer Detection Reagents.

Applications for Mouse ESAM Antibody

Application
Recommended Usage

CyTOF-ready

Ready to be labeled using established conjugation methods. No BSA or other carrier proteins that could interfere with conjugation.

Flow Cytometry

0.25 µg/106 cells
Sample: bEnd.3 mouse endothelioma cell line

Immunohistochemistry

1-15 µg/mL
Sample: Immersion fixed paraffin-embedded sections of mouse kidney and liver

Western Blot

0.1 µg/mL
Sample: Recombinant Mouse ESAM

Formulation, Preparation, and Storage

Purification

Antigen Affinity-purified

Reconstitution

Reconstitute at 0.2 mg/mL in sterile PBS. For liquid material, refer to CoA for concentration.

Reconstitution Buffer Available:
Size / Price
Qty
Loading...

Formulation

Lyophilized from a 0.2 μm filtered solution in PBS with Trehalose. See Certificate of Analysis for details.
*Small pack size (-SP) is supplied either lyophilized or as a 0.2 µm filtered solution in PBS.

Shipping

Lyophilized product is shipped at ambient temperature. Liquid small pack size (-SP) is shipped with polar packs. Upon receipt, store immediately at the temperature recommended below.

Stability & Storage

Use a manual defrost freezer and avoid repeated freeze-thaw cycles.
  • 12 months from date of receipt, -20 to -70 °C as supplied.
  • 1 month, 2 to 8 °C under sterile conditions after reconstitution.
  • 6 months, -20 to -70 °C under sterile conditions after reconstitution.

Background: ESAM

ESAM is a 55 kDa type I transmembrane glycoprotein belonging to the CTX (cortical thymocyte marker in Xenopus) family of cell adhesion molecules within the immunoglobulin superfamily. Other family members are CXADR, CLMP, JAM-A-C, CD2, A33, and BT-IgSF. The extracellular region of ESAM contains one V-type and one C2-type Ig domain and is involved in homophilic adhesion. Mouse ESAM extracellular domain shares 69% amino acid sequence identity with the corresponding region of human ESAM. ESAM is expressed on endothelial cells, activated platelets and megakaryocytes and can be found associated with cell-to-cell junctions.

Long Name

Endothelial Cell Adhesion Molecule

Alternate Names

2310008D05Rik, endothelial cell adhesion molecule, endothelial cell-selective adhesion molecule, HUEL (C4orf1)-interacting protein, LP4791 protein, W117m

Entrez Gene IDs

90952 (Human); 69524 (Mouse)

Gene Symbol

ESAM

UniProt

Additional ESAM Products

Product Documents for Mouse ESAM Antibody

Certificate of Analysis

To download a Certificate of Analysis, please enter a lot number in the search box below.

Note: Certificate of Analysis not available for kit components.

Product Specific Notices for Mouse ESAM Antibody

For research use only

Loading...
Loading...
Loading...
Loading...
Loading...