Skip to main content

Key Product Details

Species Reactivity

Validated:

Mouse

Cited:

Transgenic Mouse

Applications

Validated:

Immunohistochemistry

Cited:

Western Blot

Label

Unconjugated

Antibody Source

Monoclonal Rat IgG2A Clone # 654319

Product Specifications

Immunogen

Chinese hamster ovary cell line CHO-derived recombinant human BMP-10
Asn314-Arg421
Accession # Q9R229

Specificity

Detects mouse BMP-10 in direct ELISAs. In direct ELISAs, 100% cross-reactivity with recombinant human (rh) BMP-10 and less than 10% cross‑reactivity with rhBMP-8a and recombinant mouse (rm) BMP‑8b is observed. No cross-reactivity with rmBMP-3, -4, -5, -6, -7, -9,-15, rhBMP-1.1, -2, -3b, or the propeptide of rhBMP-10 is observed.

Clonality

Monoclonal

Host

Rat

Isotype

IgG2A

Scientific Data Images for Mouse BMP-10 Antibody

BMP-10 antibody in Mouse Embryonic Heart by Immunohistochemistry (IHC-Fr).

BMP‑10 in Mouse Embryonic Heart.

BMP-10 was detected in immersion fixed frozen sections of mouse embryonic heart (E13.5) using Rat Anti-Mouse BMP-10 Monoclonal Antibody (Catalog # MAB6038) at 10 µg/mL overnight at 4 °C. Tissue was stained using the NorthernLights™ 557-conjugated Anti-Rat IgG Secondary Antibody (red; Catalog # NL013) and counterstained with DAPI (blue). Specific staining was localized to developing myocardium. View our protocol for Fluorescent IHC Staining of Frozen Tissue Sections.
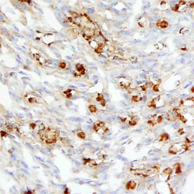
BMP-10 antibody in Mouse Embryonic Heart by Immunohistochemistry (IHC-Fr).

BMP‑10 in Mouse Embryonic Heart.

BMP-10 was detected in immersion fixed frozen sections of mouse embryonic heart (15 d.p.c.) using Rat Anti-Mouse BMP-10 Monoclonal Antibody (Catalog # MAB6038) at 25 µg/mL overnight at 4 °C. Tissue was stained using the Anti-Rat HRP-DAB Cell & Tissue Staining Kit (brown; Catalog # CTS017) and counterstained with hematoxylin (blue). Specific staining was localized to developing heart. View our protocol for Chromogenic IHC Staining of Frozen Tissue Sections.

Applications for Mouse BMP-10 Antibody

Application
Recommended Usage

Immunohistochemistry

8-25 µg/mL
Sample: Immersion fixed frozen sections of mouse embryonic heart (E13.5)

Formulation, Preparation, and Storage

Purification

Protein A or G purified from hybridoma culture supernatant

Reconstitution

Sterile PBS to a final concentration of 0.5 mg/mL. For liquid material, refer to CoA for concentration.

Reconstitution Buffer Available:
Size / Price
Qty
Loading...

Formulation

Lyophilized from a 0.2 μm filtered solution in PBS with Trehalose. *Small pack size (SP) is supplied either lyophilized or as a 0.2 µm filtered solution in PBS.

Shipping

Lyophilized product is shipped at ambient temperature. Liquid small pack size (-SP) is shipped with polar packs. Upon receipt, store immediately at the temperature recommended below.

Stability & Storage

Use a manual defrost freezer and avoid repeated freeze-thaw cycles.
  • 12 months from date of receipt, -20 to -70 °C as supplied.
  • 1 month, 2 to 8 °C under sterile conditions after reconstitution.
  • 6 months, -20 to -70 °C under sterile conditions after reconstitution.

Background: BMP-10

Bone morphogenetic protein 10 (BMP-10) is a TGF-beta superfamily member whose expression is restricted to the developing and postnatal heart. It is synthesized as a 424 amino acid (aa) pre-proprotein with a putative 21 aa signal peptide, a 292 aa propeptide, and a 108 aa mature protein. Mature BMP-10 is secreted as a 25 kDa disulfide-linked homodimer. The mouse BMP-10 proprotein shares 86% and 95% aa sequence identity with human and rat BMP-10, respectively.

Long Name

Bone Morphogenetic Protein 10

Alternate Names

BMP10

Entrez Gene IDs

27302 (Human); 12154 (Mouse)

Gene Symbol

BMP10

UniProt

Additional BMP-10 Products

Product Documents for Mouse BMP-10 Antibody

Certificate of Analysis

To download a Certificate of Analysis, please enter a lot number in the search box below.

Note: Certificate of Analysis not available for kit components.

Product Specific Notices for Mouse BMP-10 Antibody

For research use only

Loading...
Loading...
Loading...
Loading...