Skip to main content

Key Product Details

Species Reactivity

Mouse

Applications

Immunohistochemistry, Western Blot, ELISA

Label

Unconjugated

Antibody Source

Monoclonal Rat IgG2A Clone # 352803

Product Specifications

Immunogen

Mouse myeloma cell line NS0-derived recombinant mouse ASGR1/ASGPR1
Ser60-Asn284
Accession # NP_033844

Specificity

Detects mouse ASGR1/ASGPR1 in direct ELISAs.

Clonality

Monoclonal

Host

Rat

Isotype

IgG2A

Scientific Data Images for Mouse ASGR1/ASGPR1 Antibody

Detection of Mouse ASGR1/ASGPR1 antibody by Western Blot.

Detection of Mouse ASGR1/ASGPR1 by Western Blot.

Western blot shows lysates of mouse liver tissue, human liver tissue (negative control), and HepG2 human hepatocellular carcinoma cell line (negative control). PVDF membrane was probed with 0.5 µg/mL of Rat Anti-Mouse ASGR1/ASGPR1 Monoclonal Antibody (Catalog # MAB27552) followed by HRP-conjugated Anti-Rat IgG Secondary Antibody (Catalog # HAF005). A specific band was detected for ASGR1/ASGPR1 at approximately 42 kDa (as indicated). This experiment was conducted under reducing conditions and using Immunoblot Buffer Group 1.
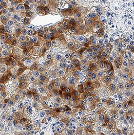
ASGR1/ASGPR1 antibody in Human Liver by Immunohistochemistry (IHC-P).

ASGR1/ASGPR1 in Human Liver.

ASGR1/ASGPR1 was detected in immersion fixed paraffin-embedded sections of human liver using Rat Anti-Mouse ASGR1/ASGPR1 Monoclonal Antibody (Catalog # MAB27552) at 5 µg/mL overnight at 4 °C. Tissue was stained using the Anti-Rat HRP-DAB Cell & Tissue Staining Kit (brown; Catalog # CTS017) and counterstained with hematoxylin (blue). Specific staining was localized to cytoplasm in hepatocytes. View our protocol for Chromogenic IHC Staining of Paraffin-embedded Tissue Sections.
Mouse ASGR1/ASGPR1 Antibody in ELISA Standard Curve.

Mouse ASGR1/ASGPR1 ELISA Standard Curve.

Recombinant Mouse ASGR1/ASGPR1 protein was serially diluted 2-fold and captured by Rat Anti-Mouse ASGR1/ASGPR1 Monoclonal Antibody (Catalog # MAB27551) coated on a Clear Polystyrene Microplate (Catalog # DY990). Rat Anti-Mouse ASGR1/ASGPR1 Monoclonal Antibody (Catalog # MAB27552) was biotinylated and incubated with the protein captured on the plate. Detection of the standard curve was achieved by incubating Streptavidin-HRP (Catalog # DY998) followed by Substrate Solution (Catalog # DY999) and stopping the enzymatic reaction with Stop Solution (Catalog # DY994).

Applications for Mouse ASGR1/ASGPR1 Antibody

Application
Recommended Usage

ELISA

This antibody functions as an ELISA detection antibody when paired with Rat Anti-Mouse ASGR1/ASGPR1 Monoclonal Antibody (Catalog # MAB27551).

This product is intended for assay development on various assay platforms requiring antibody pairs.

Immunohistochemistry

5-25 µg/mL
Sample: Immersion fixed paraffin-embedded sections of human liver

Western Blot

0.5 µg/mL
Sample: Mouse liver tissue

Reviewed Applications

Read 2 reviews rated 5 using MAB27552 in the following applications:

Formulation, Preparation, and Storage

Purification

Protein A or G purified from hybridoma culture supernatant

Reconstitution

Reconstitute at 0.5 mg/mL in sterile PBS. For liquid material, refer to CoA for concentration.

Reconstitution Buffer Available:
Size / Price
Qty
Loading...

Formulation

Lyophilized from a 0.2 μm filtered solution in PBS with Trehalose. *Small pack size (SP) is supplied either lyophilized or as a 0.2 µm filtered solution in PBS.

Shipping

Lyophilized product is shipped at ambient temperature. Liquid small pack size (-SP) is shipped with polar packs. Upon receipt, store immediately at the temperature recommended below.

Stability & Storage

Use a manual defrost freezer and avoid repeated freeze-thaw cycles.
  • 12 months from date of receipt, -20 to -70 °C as supplied.
  • 1 month, 2 to 8 °C under sterile conditions after reconstitution.
  • 6 months, -20 to -70 °C under sterile conditions after reconstitution.

Background: ASGR1/ASGPR1

The mouse asialoglycoprotein receptor (ASGP-R) is an endocytic recycling receptor that belongs to the long-form subfamily of the C-type/Ca++-dependent lectin family (1‑3). It is a complex of two non‑covalently linked subunits, a major 42 kDa glycoprotein (ASGPR1), and a minor 51 kDa glycoprotein (ASGR2). The major mouse ASGP‑R subunit, ASGPR1, is synthesized as a 284 amino acid (aa) type II transmembrane (TM) protein that contains a 39 aa cytoplasmic region, a 21 aa TM segment, and a 224 aa extracellular domain (ECD) (4-6). The ECD contains two important structural regions. The first is a stalk region of 56 aa (aa’s 59-117) that contributes to non-covalent oligomerization. The second is a 118 aa, carbohydrate-binding, Ca++-dependent C-type lectin domain (aa’s 160-277) that is unusually stabilized by three Ca++ ions (3, 5). There are two potential alternate splice forms for ASGPR1. Both are TM and show a deletion of the C-type lectin domain. One is 113 aa in length and shows a deletion of aa’s 114-284 (7). The second is 132 aa in length and shows a deletion of aa’s 118-146 and aa’s 162-284 (8). Mouse ASGPR1 ECD is 89% and 79% aa identical to the ASGPR1 ECD in rat and human, respectively. The minor mouse ASGP-R subunit, ASGR2, is also a C-type lectin that shares the same structural organization as ASGR-1. It is 301 aa in length and has two 45 kDa and 51 kDa differentially-glycosylated isoforms (4, 6, 9). The ECD of ASGR2 is 50% aa identical to the ECD of ASGPR1. Although ASGPR1 and 2 can be expressed individually, a fully functional and stable ASGP-R requires simultaneous expression of both subunits (10-12). The stoichiometry of a functional ASGP-R is suggested to be either a 2:2, 3:1 or 3:2 ratio of ASGPR1:ASGR2 (13, 14). ASGPR1 is reported to bind Gal (nonreducing), GalNAc, and sialic acid alpha2,6GalNAc (3, 15, 16). This is generally in the context of triantennary or tetraantennary configurations (2).

References

  1. Stockert, R. J. (1995) Physiol. Rev. 75:591.
  2. Weigel, P.H. and J.H.N. Yik (2002) Biochim. Biophys. Acta 1572:341.
  3. Meier, M. et al. (2000) J. Mol. Biol. 300:857.
  4. Takezawa, R. et al. (1993) Biochim. Biophys. Acta 1172 :220.
  5. Monroe, R.S. and B.E. Huber (1994) Gene 148:237.
  6. Sanford, J.P. et al. (1988) DNA 7:721.
  7. Heath, P. (2005) GenBank Accession #:Q5NCV2
  8. Heath, P. (2005) GenBank Accession #:Q5NCV1.
  9. Sanford, J.P. and D. Doyle (1990) Biochim. Biophys. Acta 1087:259.
  10. Braun, J.R. et al. (1996) J. Biol. Chem. 271:21160.
  11. Ishibashi, S. et al. (1994) J. Biol. Chem. 269:27803.
  12. Tozawa, R. et al. (2001) J. Biol. Chem. 276:12624.
  13. Bider, M.D. et al. (1996) J. Biol. Chem. 271:31996.
  14. Lodish, H. (1991) Trends Biochem. Sci. 16:374.
  15. Westerlind, U. et al. (2004) Glyconj. J. 21:227.
  16. Park, E.I. et al. (2005) Proc. Natl. Acad. Sci. USA 102:17125.

Long Name

Asialoglycoprotein Receptor 1

Alternate Names

ASGPR1, CLEC4H1, MHL1, RHL1

Entrez Gene IDs

432 (Human); 11889 (Mouse); 24210 (Rat)

Gene Symbol

ASGR1

UniProt

Additional ASGR1/ASGPR1 Products

Product Documents for Mouse ASGR1/ASGPR1 Antibody

Certificate of Analysis

To download a Certificate of Analysis, please enter a lot number in the search box below.

Note: Certificate of Analysis not available for kit components.

Product Specific Notices for Mouse ASGR1/ASGPR1 Antibody

For research use only

Loading...
Loading...
Loading...
Loading...