MOSPD2 Antibody - BSA Free
Novus Biologicals, part of Bio-Techne | Catalog # NBP1-93499
Key Product Details
Validated by
Orthogonal Validation
Species Reactivity
Validated:
Human, Primate
Predicted:
Rat (90%). Backed by our 100% Guarantee.
Applications
Immunohistochemistry, Immunohistochemistry-Paraffin, ELISA, Immunocytochemistry/ Immunofluorescence
Label
Unconjugated
Antibody Source
Polyclonal Rabbit IgG
Format
BSA Free
Concentration
Concentrations vary lot to lot. See vial label for concentration. If unlisted please contact technical services.
Product Specifications
Immunogen
This antibody was developed against Recombinant Protein corresponding to amino acids: SSKEDIESDGKETLETISNEEQTPLLKKINPTESTSKAEENEKVDSKVKAFKKPLSVFKGPLLHISPAEELYFGSTESGEKKTLIVLTNVTKNIVAFKVRTTAPEKYRVKPSNSSCDPGASVDIVVSPHGGLTVSA
Reactivity Notes
Immunogen displays the following percentage of sequence identity for non-tested species: Mouse (89%). Primate reactivity reported from a verified customer review.
Clonality
Polyclonal
Host
Rabbit
Isotype
IgG
Description
Novus Biologicals Rabbit MOSPD2 Antibody - BSA Free (NBP1-93499) is a polyclonal antibody validated for use in IHC, ELISA and ICC/IF. All Novus Biologicals antibodies are covered by our 100% guarantee.
Scientific Data Images for MOSPD2 Antibody - BSA Free
Immunocytochemistry/ Immunofluorescence: MOSPD2 Antibody [NBP1-93499]
Immunocytochemistry/Immunofluorescence: MOSPD2 Antibody [NBP1-93499] - Staining of human cell line A-431 shows localization to endoplasmic reticulum. Antibody staining is shown in green.Immunohistochemistry-Paraffin: MOSPD2 Antibody [NBP1-93499]
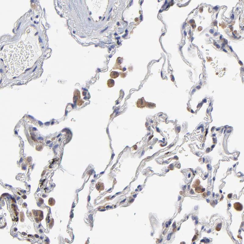
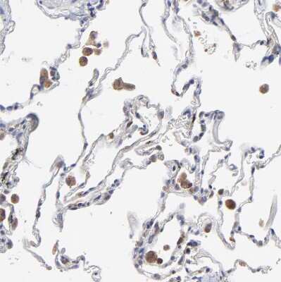
Immunohistochemistry-Paraffin: MOSPD2 Antibody [NBP1-93499] - Staining of human lung shows moderate cytoplasmic positivity in macrophages.Immunohistochemistry-Paraffin: MOSPD2 Antibody [NBP1-93499]
Immunohistochemistry-Paraffin: MOSPD2 Antibody [NBP1-93499] - Staining of human skeletal muscle shows no positivity in myocytes as expected.Applications for MOSPD2 Antibody - BSA Free
Application
Recommended Usage
ELISA
Validated from a verified customer review
Immunocytochemistry/ Immunofluorescence
0.25 - 2 ug/mL
Immunohistochemistry
1:200 - 1:500
Immunohistochemistry-Paraffin
1:200 - 1:500
Application Notes
For IHC-Paraffin, HIER pH 6 retrieval is recommended. ICC/IF Fixation Permeabilization: Use PFA/Triton X-100.
Reviewed Applications
Read 1 review rated 5 using NBP1-93499 in the following applications:
Formulation, Preparation, and Storage
Purification
Immunogen affinity purified
Formulation
PBS (pH 7.2), 40% Glycerol
Format
BSA Free
Preservative
0.02% Sodium Azide
Concentration
Concentrations vary lot to lot. See vial label for concentration. If unlisted please contact technical services.
Shipping
The product is shipped with polar packs. Upon receipt, store it immediately at the temperature recommended below.
Stability & Storage
Store at 4C short term. Aliquot and store at -20C long term. Avoid freeze-thaw cycles.
Background: MOSPD2
Alternate Names
DKFZp686C1553, MGC26706, motile sperm domain containing 2
Gene Symbol
MOSPD2
Additional MOSPD2 Products
Product Documents for MOSPD2 Antibody - BSA Free
Product Specific Notices for MOSPD2 Antibody - BSA Free
This product is for research use only and is not approved for use in humans or in clinical diagnosis. Primary Antibodies are guaranteed for 1 year from date of receipt.
Loading...
Loading...
Loading...
Loading...