Skip to main content

Monoamine Oxidase B Antibody - BSA Free

Novus Biologicals, part of Bio-Techne | Catalog # NBP1-32426

Novus Biologicals, part of Bio-Techne
Catalog #
Availability
Size / Price
Qty
Loading...
NBP1-32426

Key Product Details

Validated by

Orthogonal Validation

Species Reactivity

Validated:

Human, Mouse

Predicted:

Bovine (90%), Canine (94%), Porcine (90%). Backed by our 100% Guarantee.

Applications

Immunohistochemistry, Immunohistochemistry-Paraffin, Western Blot, ELISA, Sandwich ELISA, Immunocytochemistry/ Immunofluorescence

Label

Unconjugated

Antibody Source

Polyclonal Rabbit IgG

Format

BSA Free

Concentration

Concentrations vary lot to lot. See vial label for concentration. If unlisted please contact technical services.

Product Specifications

Immunogen

Recombinant protein encompassing a sequence within the center region of human Monoamine Oxidase B. The exact sequence is proprietary.

Reactivity Notes

Immunogen displays the following percentage of sequence identity for non-tested species: Rat (86%), Guinea Pig (86%).

Localization

Mitochondrion outer membrane

Marker

Mitochondrial Outer Membrane Marker

Clonality

Polyclonal

Host

Rabbit

Isotype

IgG

Theoretical MW

59 kDa.
Disclaimer note: The observed molecular weight of the protein may vary from the listed predicted molecular weight due to post translational modifications, post translation cleavages, relative charges, and other experimental factors.

Description

Novus Biologicals Rabbit Monoamine Oxidase B Antibody - BSA Free (NBP1-32426) is a polyclonal antibody validated for use in IHC, WB, ELISA and ICC/IF. All Novus Biologicals antibodies are covered by our 100% guarantee.

Scientific Data Images for Monoamine Oxidase B Antibody - BSA Free

Immunocytochemistry/ Immunofluorescence: Monoamine Oxidase B Antibody [NBP1-32426]

Immunocytochemistry/ Immunofluorescence: Monoamine Oxidase B Antibody [NBP1-32426]

Immunocytochemistry/Immunofluorescence: Monoamine Oxidase B Antibody [NBP1-32426] - HepG2 cells were fixed in ice-cold MeOH for 5 min. Green: Monoamine Oxidase B stained by Monoamine Oxidase B antibody [N2C3] diluted at 1:500. Blue: Hoechst 33342 staining.
Immunohistochemistry-Paraffin: Monoamine Oxidase B Antibody [NBP1-32426]

Immunohistochemistry-Paraffin: Monoamine Oxidase B Antibody [NBP1-32426]

Immunohistochemistry-Paraffin: Monoamine Oxidase B Antibody [NBP1-32426] - Mouse liver. Monoamine Oxidase B stained by Monoamine Oxidase B antibody [N2C3] diluted at 1:500. Antigen Retrieval: Citrate buffer, pH 6.0, 15 min
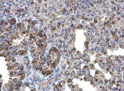
Immunohistochemistry-Paraffin: Monoamine Oxidase B Antibody [NBP1-32426]

Immunohistochemistry-Paraffin: Monoamine Oxidase B Antibody [NBP1-32426]

Immunohistochemistry-Paraffin: Monoamine Oxidase B Antibody [NBP1-32426] - Mouse lung. Monoamine Oxidase B antibody [N2C3] diluted at 1:500. Antigen Retrieval: Trilogy™ (EDTA based, pH 8.0) buffer, 15min.

Applications for Monoamine Oxidase B Antibody - BSA Free

Application
Recommended Usage

ELISA

1:1000-1:10000

Immunocytochemistry/ Immunofluorescence

1:100-1:1000

Immunohistochemistry

1:100-1:1000

Immunohistochemistry-Paraffin

1:100-1:1000

Sandwich ELISA

Assay dependent

Western Blot

1:500-1:3000

Formulation, Preparation, and Storage

Purification

Antigen Affinity-purified

Formulation

PBS, 20% Glycerol

Format

BSA Free

Preservative

0.025% Proclin 300

Concentration

Concentrations vary lot to lot. See vial label for concentration. If unlisted please contact technical services.

Shipping

The product is shipped with polar packs. Upon receipt, store it immediately at the temperature recommended below.

Stability & Storage

Aliquot and store at -20C or -80C. Avoid freeze-thaw cycles.

Background: Monoamine Oxidase B

The protein encoded by this gene belongs to the flavin monoamine oxidase family. It is a enzyme located in the mitochondrial outer membrane. It catalyzes the oxidative deamination of biogenic and xenobiotic amines and plays an important role in the metabolism of neuroactive and vasoactive amines in the central nervous sysytem and peripheral tissues. This protein preferentially degrades benzylamine and phenylethylamine. [provided by RefSeq]

Long Name

Amine oxidase [flavin-containing] B

Alternate Names

EC 1.4.3.21, EC 1.4.3.4, MAO-B, MAOB

Gene Symbol

MAOB

Additional Monoamine Oxidase B Products

Product Documents for Monoamine Oxidase B Antibody - BSA Free

Certificate of Analysis

To download a Certificate of Analysis, please enter a lot number in the search box below.

Product Specific Notices for Monoamine Oxidase B Antibody - BSA Free

This product is for research use only and is not approved for use in humans or in clinical diagnosis. Primary Antibodies are guaranteed for 1 year from date of receipt.

Loading...
Loading...
Loading...
Loading...