Skip to main content

Moesin Antibody (2C12) - BSA Free

Novus Biologicals, part of Bio-Techne | Catalog # NBP2-37509

Novus Biologicals, part of Bio-Techne
Catalog #
Availability
Size / Price
Qty
Loading...
NBP2-37509-0.025ml
NBP2-37509

Key Product Details

Species Reactivity

Human, Monkey, Primate

Applications

Immunohistochemistry, Immunohistochemistry-Paraffin, Western Blot, ELISA, Flow Cytometry, CyTOF-ready

Label

Unconjugated

Antibody Source

Monoclonal Mouse IgG1 Clone # 2C12

Format

BSA Free

Concentration

1 mg/ml

Product Specifications

Immunogen

Purified recombinant fragment of human Moesin expressed in E. Coli.

Clonality

Monoclonal

Host

Mouse

Isotype

IgG1

Theoretical MW

67.8 kDa.
Disclaimer note: The observed molecular weight of the protein may vary from the listed predicted molecular weight due to post translational modifications, post translation cleavages, relative charges, and other experimental factors.

Description

Novus Biologicals Mouse Moesin Antibody (2C12) - BSA Free (NBP2-37509) is a monoclonal antibody validated for use in IHC, WB, ELISA and Flow. All Novus Biologicals antibodies are covered by our 100% guarantee.

Scientific Data Images for Moesin Antibody (2C12) - BSA Free

Western Blot: Moesin Antibody (2C12)BSA Free [NBP2-37509]

Western Blot: Moesin Antibody (2C12)BSA Free [NBP2-37509]

Western Blot: Moesin Antibody (2C12) [NBP2-37509] - Western blot analysis using MSN mouse mAb against HeLa (1), A431 (2),Jurkat(3), HEK293(4), and COS7 (5) cell lysate.
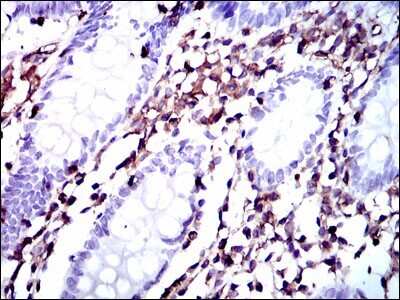
Immunohistochemistry: Moesin Antibody (2C12) - BSA Free [NBP2-37509]

Immunohistochemistry: Moesin Antibody (2C12) - BSA Free [NBP2-37509]

Immunohistochemistry: Moesin Antibody (2C12) [NBP2-37509] - Immunohistochemical analysis of paraffin-embedded colon tissues using MSN mouse mAb with DAB staining.
Flow Cytometry: Moesin Antibody (2C12) - BSA Free [NBP2-37509]

Flow Cytometry: Moesin Antibody (2C12) - BSA Free [NBP2-37509]

Flow Cytometry: Moesin Antibody (2C12) [NBP2-37509] - Flow cytometric analysis of Jurkat cells using MSN mouse mAb (green) and negative control (red).

Applications for Moesin Antibody (2C12) - BSA Free

Application
Recommended Usage

ELISA

1:10000

Flow Cytometry

1:200 - 1:400

Immunohistochemistry

1:200 - 1:1000

Immunohistochemistry-Paraffin

1:200 - 1:1000

Western Blot

1:500 - 1:2000
Application Notes
This antibody is Cytof ready.

Formulation, Preparation, and Storage

Purification

Protein G purified

Formulation

PBS

Format

BSA Free

Preservative

0.05% Sodium Azide

Concentration

1 mg/ml

Shipping

The product is shipped with polar packs. Upon receipt, store it immediately at the temperature recommended below.

Stability & Storage

Store at 4C short term. Aliquot and store at -20C long term. Avoid freeze-thaw cycles.

Background: Moesin

Moesin (membrane-organizing extension spike protein) has previously been characterized as a possible receptor protein for heparan sulfate and also as a cytoskeletal linker protein that stabilizes cell surface microvilli, filopodia and lamellipodia. Data indicate that moesin is identical to the 77-kDa band that copurifies with ezrin in its isolation from human placenta (1). Members of the ezrin-radixin-moesin (ERM) family of membrane-cytoskeletal linking proteins have NH2- and COOH-terminal domains that associate with the plasma membrane and the actin cytoskeleton, respectively (2). It has been demonstrated that ezrin-radixin-moesin proteins are rapidly inactivated after antigen recognition through a Vav1-Rac1 pathway. The resulting disanchoring of the cortical actin cytoskeleton from the plasma membrane decreased cellular rigidity, leading to more efficient T cell-antigen-presenting cell conjugate formation (3).

Alternate Names

Membrane-organizing extension spike protein, moesin

Gene Symbol

MSN

Additional Moesin Products

Product Documents for Moesin Antibody (2C12) - BSA Free

Certificate of Analysis

To download a Certificate of Analysis, please enter a lot number in the search box below.

Product Specific Notices for Moesin Antibody (2C12) - BSA Free

This product is for research use only and is not approved for use in humans or in clinical diagnosis. Primary Antibodies are guaranteed for 1 year from date of receipt.

Loading...
Loading...
Loading...
Loading...
Loading...
Loading...