Skip to main content

MNDA Antibody - BSA Free

Novus Biologicals, part of Bio-Techne | Catalog # NBP1-87180

Novus Biologicals, part of Bio-Techne
Catalog #
Availability
Size / Price
Qty
Loading...
NBP1-87180-25ul
NBP1-87180

Key Product Details

Validated by

Orthogonal Validation

Species Reactivity

Human

Applications

Immunohistochemistry, Immunohistochemistry-Paraffin

Label

Unconjugated

Antibody Source

Polyclonal Rabbit IgG

Format

BSA Free

Concentration

Concentrations vary lot to lot. See vial label for concentration. If unlisted please contact technical services.

Product Specifications

Immunogen

This antibody was developed against Recombinant Protein corresponding to amino acids: PQTSSSTPSNTSFTPNQETQAQRQVDARRNVPQNDPVTVVVLKATAPFKYESPENGKSTMFHATVASKTQYFHVKVFDINLKEKFVRKKVITISDYSECKGVMEIKEASSVSDFN

Clonality

Polyclonal

Host

Rabbit

Isotype

IgG

Scientific Data Images for MNDA Antibody - BSA Free

MNDA Antibody - BSA Free

Immunohistochemistry-Paraffin: MNDA Antibody [NBP1-87180] -

Immunohistochemistry-Paraffin: MNDA Antibody [NBP1-87180] -Analysis in human lung and skeletal muscle tissues using HPA034532 antibody. Corresponding MNDA RNA-seq data are presented for the same tissues.
MNDA Antibody - BSA Free

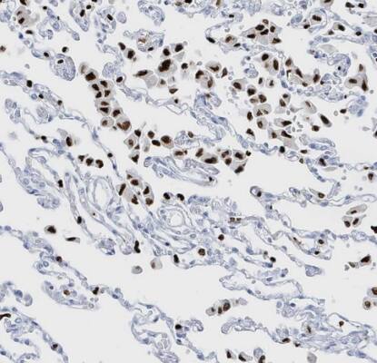
Immunohistochemistry-Paraffin: MNDA Antibody [NBP1-87180] -

Immunohistochemistry-Paraffin: MNDA Antibody [NBP1-87180] - Staining of human lung shows strong nuclear positivity in macrophages.
MNDA Antibody - BSA Free

Immunohistochemistry-Paraffin: MNDA Antibody [NBP1-87180] -

Immunohistochemistry-Paraffin: MNDA Antibody [NBP1-87180] -Staining of human colon shows strong nuclear positivity in lymphoid cells.

Applications for MNDA Antibody - BSA Free

Application
Recommended Usage

Immunohistochemistry

1:1000 - 1:2500

Immunohistochemistry-Paraffin

1:1000 - 1:2500
Application Notes
For IHC-Paraffin, HIER pH 6 retrieval is recommended.

Formulation, Preparation, and Storage

Purification

Affinity purified

Formulation

PBS (pH 7.2) and 40% Glycerol

Format

BSA Free

Preservative

0.02% Sodium Azide

Concentration

Concentrations vary lot to lot. See vial label for concentration. If unlisted please contact technical services.

Shipping

The product is shipped with polar packs. Upon receipt, store it immediately at the temperature recommended below.

Stability & Storage

Store at 4C short term. Aliquot and store at -20C long term. Avoid freeze-thaw cycles.

Background: MNDA

The myeloid cell nuclear differentiation antigen (MNDA) is detected only in nuclei of cells of the granulocyte-monocyte lineage. A 200-amino acid region of human MNDA is strikingly similar to a region in the proteins encoded by a family of interferon-inducible mouse genes, designated Ifi-201, Ifi-202, and Ifi-203, that are not regulated in a cell- or tissue-specific fashion. The 1.8-kb MNDA mRNA, which contains an interferon-stimulated response element in the 5-prime untranslated region, was significantly upregulated in human monocytes exposed to interferon alpha. MNDA is located within 2,200 kb of FCER1A, APCS, CRP, and SPTA1. In its pattern of expression and/or regulation, MNDA resembles IFI16, suggesting that these genes participate in blood cell-specific responses to interferons.

Alternate Names

myeloid cell nuclear differentiation antigen, PYHIN3

Gene Symbol

MNDA

Additional MNDA Products

Product Documents for MNDA Antibody - BSA Free

Certificate of Analysis

To download a Certificate of Analysis, please enter a lot number in the search box below.

Product Specific Notices for MNDA Antibody - BSA Free

This product is for research use only and is not approved for use in humans or in clinical diagnosis. Primary Antibodies are guaranteed for 1 year from date of receipt.

Loading...
Loading...
Loading...
Loading...