Skip to main content

MKK4/MEK4 Antibody (HL1839) - Azide and BSA Free

Novus Biologicals, part of Bio-Techne | Catalog # NBP3-25674

Recombinant Monoclonal Antibody
Novus Biologicals, part of Bio-Techne
Catalog #
Availability
Size / Price
Qty
Loading...
NBP3-25674

Key Product Details

Validated by

Orthogonal Validation

Species Reactivity

Human, Mouse, Rat

Applications

Immunohistochemistry, Immunohistochemistry-Paraffin, Western Blot

Label

Unconjugated

Antibody Source

Recombinant Monoclonal Rabbit IgG Clone # HL1839 expressed in HEK293

Format

Azide and BSA Free

Concentration

Concentrations vary lot to lot. See vial label for concentration. If unlisted please contact technical services.

Product Specifications

Immunogen

Recombinant fragment of human MKK4/MEK4.

Clonality

Monoclonal

Host

Rabbit

Isotype

IgG

Description

Novus Biologicals Rabbit MKK4/MEK4 Antibody (HL1839) - Azide and BSA Free (NBP3-25674) is a recombinant monoclonal antibody validated for use in IHC and WB. All Novus Biologicals antibodies are covered by our 100% guarantee.

Scientific Data Images for MKK4/MEK4 Antibody (HL1839) - Azide and BSA Free

MKK4/MEK4 Antibody (HL1839) - Azide and BSA Free

Western Blot: MKK4/MEK4 Antibody (HL1839) - Azide and BSA Free [NBP3-25674] -

Western Blot: MKK4/MEK4 Antibody (HL1839) - Azide and BSA Free [NBP3-25674] - Various whole cell extracts (30 ug) were separated by 10% SDS-PAGE, and the membrane was blotted with SEK1 / MKK4 antibody [HL1839] (NBP3-25674) diluted at 1:1000. The HRP-conjated anti-rabbit IgG antibody was used to detect the primary antibody.
MKK4/MEK4 Antibody (HL1839) - Azide and BSA Free

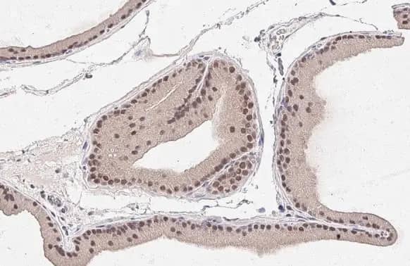
Immunohistochemistry-Paraffin: MKK4/MEK4 Antibody (HL1839) - Azide and BSA Free [NBP3-25674] -

Immunohistochemistry-Paraffin: MKK4/MEK4 Antibody (HL1839) - Azide and BSA Free [NBP3-25674] - SEK1 / MKK4 antibody [HL1839] detects SEK1 / MKK4 protein at cytoplasm and nucleus by immunohistochemical analysis. Sample: Paraffin-embedded mouse adrenal gland. SEK1 / MKK4 stained by SEK1 / MKK4 antibody [HL1839] (NBP3-25674) diluted at 1:50. Antigen Retrieval: Citrate buffer, pH 6.0, 15 min
MKK4/MEK4 Antibody (HL1839) - Azide and BSA Free

Western Blot: MKK4/MEK4 Antibody (HL1839) - Azide and BSA Free [NBP3-25674] -

Western Blot: MKK4/MEK4 Antibody (HL1839) - Azide and BSA Free [NBP3-25674] - Non-transfected (-) and transfected (+) 293T whole cell extracts were separated by 10% SDS-PAGE, and the membrane was blotted with SEK1 / MKK4 antibody [HL1839] (NBP3-25674) diluted at 1:5000. The HRP-conjated anti-rabbit IgG antibody was used to detect the primary antibody.

Applications for MKK4/MEK4 Antibody (HL1839) - Azide and BSA Free

Application
Recommended Usage

Western Blot

1:500-1:10000

Formulation, Preparation, and Storage

Purification

Protein A purified

Formulation

PBS

Format

Azide and BSA Free

Preservative

No Preservative

Concentration

Concentrations vary lot to lot. See vial label for concentration. If unlisted please contact technical services.

Shipping

The product is shipped with polar packs. Upon receipt, store it immediately at the temperature recommended below.

Stability & Storage

Store at 4C short term. Aliquot and store at -20C long term. Avoid freeze-thaw cycles.

Background: MKK4

MKK4, also known as JNKK1 and SEK1, is a dual specificity kinase that belongs to the Ser/Thr protein kinase family. MKK4 is a direct activator of MAP kinases in response to various environmental stresses or mitogenic stimuli. MKK4 phosphorylates and activates p38 MAP kinase and JNK but not ERK 1/2 (1-2). JNK is activated by dual phosphorylation at Thr and Tyr by MKK4 and MKK7; although MKK4 will preferentially phosphorylate Tyr (3). MKK4 is also known to be a tumor suppressor, as mutations inactivating the MKK4 gene have been found in 5% of a wide variety of tumor types (4).

Long Name

Mitogen-activated Protein Kinase Kinase 4

Alternate Names

JNKK1, MAP2K4, MAPKK4, MEK4, PRKMK4, SERK1

Gene Symbol

MAP2K4

Additional MKK4 Products

Product Documents for MKK4/MEK4 Antibody (HL1839) - Azide and BSA Free

Certificate of Analysis

To download a Certificate of Analysis, please enter a lot number in the search box below.

Product Specific Notices for MKK4/MEK4 Antibody (HL1839) - Azide and BSA Free

This product is for research use only and is not approved for use in humans or in clinical diagnosis. Primary Antibodies are guaranteed for 1 year from date of receipt.

Loading...
Loading...
Loading...
Loading...