Skip to main content

Mitochondria Antibody (SPM198) - IHC-Prediluted

Novus Biologicals, part of Bio-Techne | Catalog # NBP2-45204

Novus Biologicals, part of Bio-Techne
Catalog #
Availability
Size / Price
Qty
Loading...
NBP2-45204
Conjugate
Catalog #

Key Product Details

Species Reactivity

Human, Mouse (Negative), Rat (Negative)

Applications

Immunohistochemistry, Immunohistochemistry-Paraffin

Label

Unconjugated

Antibody Source

Monoclonal Mouse IgG1 kappa Clone # SPM198

Format

IHC-Prediluted

Concentration

Please see the vial label for concentration. If unlisted please contact technical services.

Product Specifications

Immunogen

Semi-Purified mitochondrial preparation

Reactivity Notes

Does not react with Mouse or Rat.

Localization

Mitochondria in cytoplasm

Specificity

monoclonal antibody 113-1 recognizes a 60kDa antigen associated with the mitochondria in human cells. It can be used to stain mitochondria in cell or tissue preparations and can be used as a mitochondrial marker in subcellular fractions. It produces a spaghetti-like pattern in normal and malignant cells. This antibody is an excellent marker for human cells in xenographic model research. It reacts specifically with human cells, including neurons and embryonic stem cells.

Marker

Mitochondrial Marker

Clonality

Monoclonal

Host

Mouse

Isotype

IgG1 kappa

Theoretical MW

60 kDa.
Disclaimer note: The observed molecular weight of the protein may vary from the listed predicted molecular weight due to post translational modifications, post translation cleavages, relative charges, and other experimental factors.

Description

The prediluted antibody does not require any mixing, dilution, reconstitution, or titration; the antibody is ready-to-use and optimized for staining.

Scientific Data Images for Mitochondria Antibody (SPM198) - IHC-Prediluted

Immunohistochemistry-Paraffin: Mitochondria Antibody (SPM198) - IHC-Prediluted [NBP2-45204]

Immunohistochemistry-Paraffin: Mitochondria Antibody (SPM198) - IHC-Prediluted [NBP2-45204]

Immunohistochemistry-Paraffin: Mitochondria Antibody (SPM198) - IHC-Prediluted [NBP2-45204] - Formalin-fixed, paraffin-embedded human Pancreas stained with Mitochondria Monoclonal Antibody (SPM198).
Mitochondria Antibody (SPM198) - IHC-Prediluted Western Blot: Mitochondria Antibody (SPM198) - IHC-Prediluted [NBP2-45204] -

Western Blot: Mitochondria Antibody (SPM198) - IHC-Prediluted [NBP2-45204] -

Western Blot Analysis of HeLa cell lysate using Mitochondria Antibody (SPM198) - IHC-Prediluted.
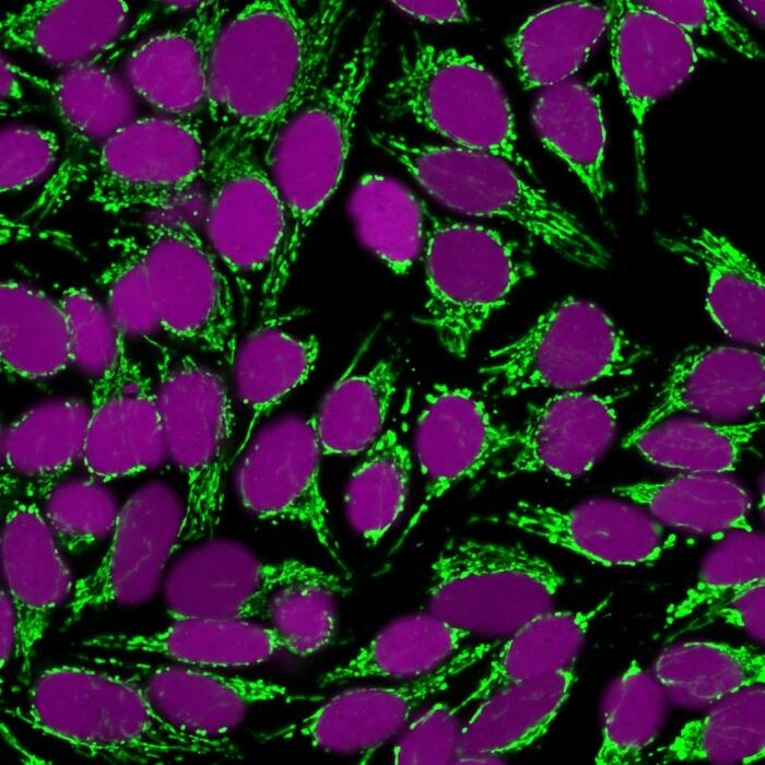
Mitochondria Antibody (SPM198) - IHC-Prediluted Immunocytochemistry/ Immunofluorescence: Mitochondria Antibody (SPM198) - IHC-Prediluted [NBP2-45204] -

Immunocytochemistry/ Immunofluorescence: Mitochondria Antibody (SPM198) - IHC-Prediluted [NBP2-45204] -

Confocal immunofluorescence image of HeLa cells using Mitochondria Antibody (SPM198) - IHC-Prediluted labeled in Green (CF488) and Reddot is used to label the nuclei purple.

Applications for Mitochondria Antibody (SPM198) - IHC-Prediluted

Application
Recommended Usage

Immunohistochemistry-Paraffin

0.5 - 1.0 ug/ml
Application Notes
Immunohistochemistry (Formalin-fixed): 1-2ug/ml for 30 minutes at RT. Staining of formalin-fixed tissues is enhanced by heating tissue sections in 1mM EDTA Buffer, pH 8.5-9.5, for 45 min at 95C followed by cooling at RT for 20 minutes.
Optimal dilution for a specific application should be determined.

Formulation, Preparation, and Storage

Purification

Protein A or G purified

Formulation

10 mM PBS with 0.05% BSA

Format

IHC-Prediluted

Preservative

0.05% Sodium Azide

Concentration

Please see the vial label for concentration. If unlisted please contact technical services.

Shipping

The product is shipped with polar packs. Upon receipt, store it immediately at the temperature recommended below.

Stability & Storage

Store at 4C.

Background: Mitochondria

NB600-556 recognizes a 60kDa non-glycosylated protein component of mitochondria found in human cells. It can be used to stain the mitochondria in cell or tissue preparations and can be used as a marker of the mitochondria in subcellular fractions. This monoclonal antibody is part of a new panel of reagents which recognizes subcellular organelles or compartments of human cells. These markers may be useful in identification of these organelles in cells, tissues, and biochemical preparations. MAb-2 produces a spaghetti-like staining pattern in the cytoplasm of normal and malignant human cells and may be used to stain the mitochondria in paraformaldehyde fixed frozen and formalin-fixed, paraffin-embedded tissues.

Additional Mitochondria Products

Product Documents for Mitochondria Antibody (SPM198) - IHC-Prediluted

Certificate of Analysis

To download a Certificate of Analysis, please enter a lot number in the search box below.

Product Specific Notices for Mitochondria Antibody (SPM198) - IHC-Prediluted

This product is for research use only and is not approved for use in humans or in clinical diagnosis. Primary Antibodies are guaranteed for 1 year from date of receipt.

Loading...
Loading...
Loading...
Loading...