Skip to main content

MITF Antibody (MITF/915) - IHC-Prediluted

Novus Biologicals, part of Bio-Techne | Catalog # NBP2-48280

Novus Biologicals, part of Bio-Techne
Catalog #
Availability
Size / Price
Qty
Loading...
NBP2-48280

Key Product Details

Species Reactivity

Human, Canine, Mouse (Negative), Rat (Negative)

Applications

Immunohistochemistry, Immunohistochemistry-Paraffin

Label

Unconjugated

Antibody Source

Monoclonal Mouse IgG1 kappa Clone # MITF/915

Format

IHC-Prediluted

Concentration

Please see the vial label for concentration. If unlisted please contact technical services.

Product Specifications

Immunogen

Recombinant full-length human MITF protein (Uniprot: O75030)

Reactivity Notes

Does not react with Mouse or Rat.

Localization

Nuclear

Specificity

MITF (microphthalmia transcription factor) is a basic helix-loop-helix-leucine-zipper (bHLH-Zip) transcription factor that regulates the development and survival of melanocytes and retinal pigment epithelium, and also is involved in transcription of pigmentation enzyme genes such as tyrosinase TRP1 and TRP2. MITF has been shown to be phosphorylated by MAP kinase in response to c-kit activation, resulting in upregulation of MITF transcriptional activity. Mutations of the MITF gene are associated with the autosomal dominant hereditary deafness and pigmentation condition, Waardenburg Syndrome type 2A. Multiple isoforms of MITF exist, including MITF-A, MITF-B, MITF-C, MITF-H, and MITF-M, which differ in the amino-terminal domain and in their expression patterns. The MITF-M isoform is restricted to the melanocyte cell lineage. This monoclonal antibody recognizes a nuclear protein, which is expressed in the majority of primary and metastatic epithelioid malignant melanomas as well as in normal melanocytes, benign nevi and dysplastic nevi.

Clonality

Monoclonal

Host

Mouse

Isotype

IgG1 kappa

Description

The prediluted antibody does not require any mixing, dilution, reconstitution, or titration; the antibody is ready-to-use and optimized for staining.

Scientific Data Images for MITF Antibody (MITF/915) - IHC-Prediluted

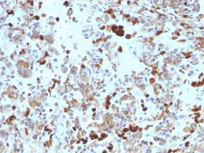
Immunohistochemistry-Paraffin: MITF Antibody (MITF/915) - IHC-Prediluted [NBP2-48280]

Immunohistochemistry-Paraffin: MITF Antibody (MITF/915) - IHC-Prediluted [NBP2-48280]

Immunohistochemistry-Paraffin: MITF Antibody (MITF/915) - IHC-Prediluted [NBP2-48280] - Human Melanoma stained with MITF Monoclonal Antibody (MITF/915).
Immunohistochemistry-Paraffin: MITF Antibody (MITF/915) - IHC-Prediluted [NBP2-48280]

Immunohistochemistry-Paraffin: MITF Antibody (MITF/915) - IHC-Prediluted [NBP2-48280]

Immunohistochemistry-Paraffin: MITF Antibody (MITF/915) - IHC-Prediluted [NBP2-48280] - Human Melanoma stained with MITF Mouse Monoclonal Antibody (MITF/915).

Applications for MITF Antibody (MITF/915) - IHC-Prediluted

Application
Recommended Usage

Immunohistochemistry

Optimal dilutions of this antibody should be experimentally determined.

Immunohistochemistry-Paraffin

Optimal dilutions of this antibody should be experimentally determined.
Application Notes
Hu-chromosome location: 3p14.1 Molecular weight of antigen: 52-56kDa (doublet) Immunohistochemistry-Paraffin 0.5 - 1.0 ug/ml for 30 minutes at RT; Staining of formalin-fixed tissues requires boiling tissue sections in 10mM citrate buffer, pH 6.0, for 10 - 20 min followed by cooling at RT for 20 minutes. The 7mL size is a pre-diluted size and no additional dilutions are required before using this item for the intended application.

Formulation, Preparation, and Storage

Purification

Protein A or G purified

Formulation

10 mM PBS with 0.05% BSA

Format

IHC-Prediluted

Preservative

0.05% Sodium Azide

Concentration

Please see the vial label for concentration. If unlisted please contact technical services.

Shipping

The product is shipped with polar packs. Upon receipt, store it immediately at the temperature recommended below.

Stability & Storage

Store at 4C.

Background: MITF

MITF (microphthalmia-associated transcription factor) is a melanocytic nuclear protein that contains basic helix-loop-helix (HLH) and leucine zipper (LZ) domains. These protein motifs are frequently observed in other transcription factors and are particularly common to members of the Myc family. MITF can directly associate with DNA as a homodimer. It is required for the development and differentiation of melanocytes. Its expression is upregulated by cAMP and cAMP dependent pathways. MITF activates several different gene promoters by binding to their E-boxes. Tyrosinase, TRP-1 and TRP-2 are pigment synthesis genes activated by MITF. When MITF is phosphorylated on Serine 73 (via the MAPK pathway), it associates with coactivators of the p300/CBP family and enhances transcription. MITF has several isoforms including MITF-M which is specifically expressed in melanocytes. In Mitfdeficient mice there is a complete absence of melanocytes.

Long Name

Microphthalmia-associated Transcription Factor

Alternate Names

bHLHe32, MI, WS2A

Gene Symbol

MITF

Additional MITF Products

Product Documents for MITF Antibody (MITF/915) - IHC-Prediluted

Certificate of Analysis

To download a Certificate of Analysis, please enter a lot number in the search box below.

Product Specific Notices for MITF Antibody (MITF/915) - IHC-Prediluted

This product is for research use only and is not approved for use in humans or in clinical diagnosis. Primary Antibodies are guaranteed for 1 year from date of receipt.

Loading...
Loading...
Loading...
Loading...