Skip to main content

MITD1 Antibody - BSA Free

Novus Biologicals, part of Bio-Techne | Catalog # NBP3-35868

Novus Biologicals, part of Bio-Techne
Catalog #
Availability
Size / Price
Qty
Loading...
NBP3-35868-100ul
NBP3-35868-20ul

Key Product Details

Species Reactivity

Human, Mouse, Rat

Applications

Immunohistochemistry, Immunohistochemistry-Paraffin, Western Blot, ELISA

Label

Unconjugated

Antibody Source

Polyclonal Rabbit IgG

Format

BSA Free

Concentration

Please see the vial label for concentration. If unlisted please contact technical services.

Product Specifications

Immunogen

Recombinant fusion protein containing a sequence corresponding to amino acids 1-249 of human MITD1 (NP_620153.1).

Sequence:
MAKSGLRQDPQSTAAATVLKRAVELDSESRYPQALVCYQEGIDLLLQVLKGTKDNTKRCNLREKISKYMDRAENIKKYLDQEKEDGKYHKQIKIEENATGFSYESLFREYLNETVTEVWIEDPYIRHTHQLYNFLRFCEMLIKRPCKVKTIHLLTSLDEGIEQVQQSRGLQEIEESLRSHGVLLEVQYSSSIHDREIRFNNGWMIKIGRGLDYFKKPQSRFSLGYCDFDLRPCHETTVDIFHKKHTKNI

Clonality

Polyclonal

Host

Rabbit

Isotype

IgG

Theoretical MW

29 kDa.
Disclaimer note: The observed molecular weight of the protein may vary from the listed predicted molecular weight due to post translational modifications, post translation cleavages, relative charges, and other experimental factors.

Description

Novus Biologicals Rabbit MITD1 Antibody - BSA Free (NBP3-35868) is a polyclonal antibody validated for use in IHC, WB and ELISA. All Novus Biologicals antibodies are covered by our 100% guarantee.

Scientific Data Images for MITD1 Antibody - BSA Free

MITD1 Antibody

Western Blot: MITD1 Antibody [NBP3-35868] -

Western Blot: MITD1 Antibody [NBP3-35868] - Western blot analysis of various lysates using MITD1 Rabbit pAb at 1:1000 dilution.
Secondary antibody: HRP-conjugated Goat anti-Rabbit IgG (H+L) at 1:10000 dilution.
Lysates/proteins: 25ug per lane.
Blocking buffer: 3% nonfat dry milk in TBST.
Detection: ECL Enhanced Kit.
Exposure time: 180s.
MITD1 Antibody

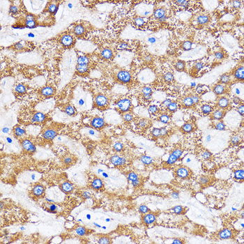
Immunohistochemistry: MITD1 Antibody [NBP3-35868] -

Immunohistochemistry: MITD1 Antibody [NBP3-35868] - Immunohistochemistry analysis of paraffin-embedded Human liver using MITD1 Rabbit pAb at dilution of 1:100 (40x lens). Microwave antigen retrieval performed with 0.01M PBS Buffer (pH 7.2) prior to IHC staining.

Applications for MITD1 Antibody - BSA Free

Application
Recommended Usage

Immunohistochemistry-Paraffin

1:50 - 1:200

Western Blot

1:500 - 1:2000

Formulation, Preparation, and Storage

Purification

Affinity purified

Formulation

PBS (pH 7.3), 50% glycerol

Format

BSA Free

Preservative

0.01% Thimerosal

Concentration

Please see the vial label for concentration. If unlisted please contact technical services.

Shipping

The product is shipped with polar packs. Upon receipt, store it immediately at the temperature recommended below.

Stability & Storage

Store at -20C. Avoid freeze-thaw cycles.

Background: MITD1

MITD1 may play a role in endosomal protein transport (Potential)

Alternate Names

LOC129531, MIT domain-containing protein 1, MIT, microtubule interacting and transport, domain containing 1

Gene Symbol

MITD1

Additional MITD1 Products

Product Documents for MITD1 Antibody - BSA Free

Certificate of Analysis

To download a Certificate of Analysis, please enter a lot number in the search box below.

Product Specific Notices for MITD1 Antibody - BSA Free

This product is for research use only and is not approved for use in humans or in clinical diagnosis. Primary Antibodies are guaranteed for 1 year from date of receipt.

Loading...
Loading...
Loading...
Loading...