Skip to main content

MINA Antibody - BSA Free

Novus Biologicals, part of Bio-Techne | Catalog # NBP1-89863

Novus Biologicals, part of Bio-Techne
Catalog #
Availability
Size / Price
Qty
Loading...
NBP1-89863

Key Product Details

Validated by

Orthogonal Validation

Species Reactivity

Human

Applications

Immunocytochemistry/ Immunofluorescence, Immunohistochemistry, Immunohistochemistry-Paraffin, Western Blot

Label

Unconjugated

Antibody Source

Polyclonal Rabbit IgG

Format

BSA Free

Concentration

Concentrations vary lot to lot. See vial label for concentration. If unlisted please contact technical services.

Product Specifications

Immunogen

This antibody was developed against Recombinant Protein corresponding to amino acids: MPKKAKPTGSGKEEGPAPCKQMKLEAAGGPSALNFDSPSSLFESLISPIKTETFFKEFWEQKPLLIQRDDPALATYYGSLFKLTDLKSLCSRGMYYGRDVNVCRCVNGKKKVLNKDGKAHFLQLRKDFDQKRATIQFHQPQRFKDELW

Reactivity Notes

Immunogen displays the following percentage of sequence identity for non-tested species: Rat (81%)

Clonality

Polyclonal

Host

Rabbit

Isotype

IgG

Description

Novus Biologicals Rabbit MINA Antibody - BSA Free (NBP1-89863) is a polyclonal antibody validated for use in IHC, WB and ICC/IF. All Novus Biologicals antibodies are covered by our 100% guarantee.

Scientific Data Images for MINA Antibody - BSA Free

Immunocytochemistry/ Immunofluorescence: MINA Antibody [NBP1-89863]

Immunocytochemistry/ Immunofluorescence: MINA Antibody [NBP1-89863]

Immunocytochemistry/Immunofluorescence: MINA Antibody [NBP1-89863] - Staining of human cell line U-2 OS shows localization to nucleus and nucleoli.
MINA Antibody - BSA Free Immunohistochemistry-Paraffin: MINA Antibody - BSA Free [NBP1-89863]

Immunohistochemistry-Paraffin: MINA Antibody - BSA Free [NBP1-89863]

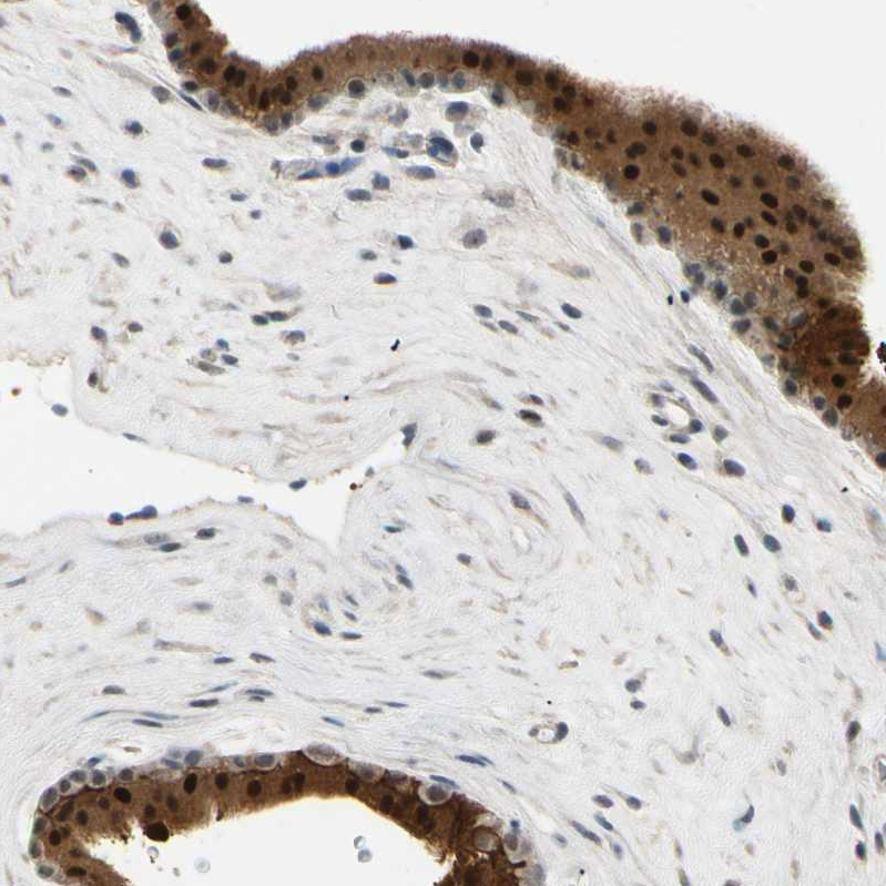
Staining of human placenta shows strong nuclear positivity in trophoblastic cells with additional cytoplasmic positivity.
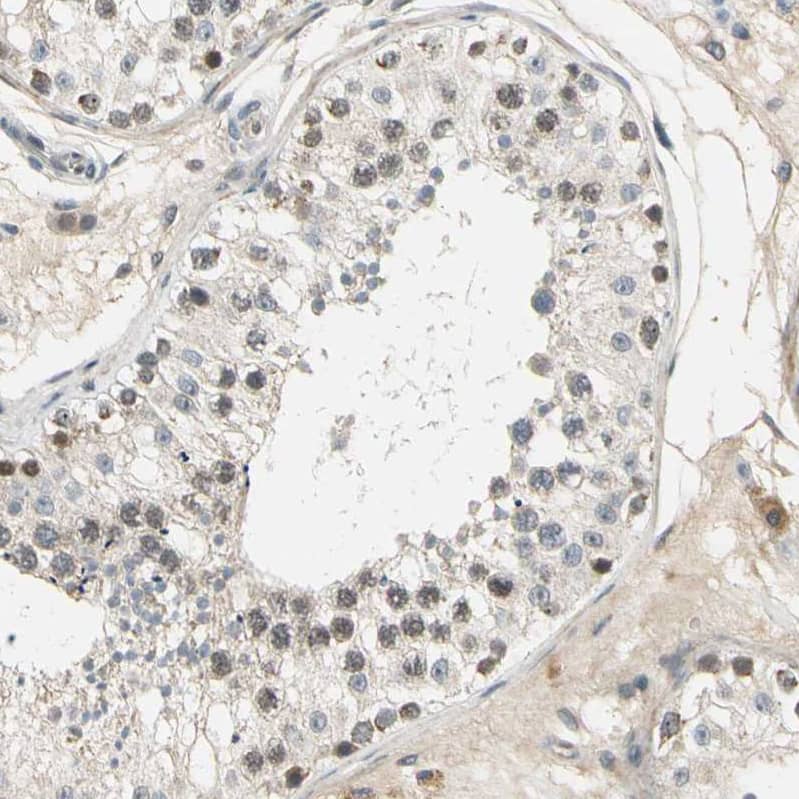
MINA Antibody - BSA Free Immunohistochemistry-Paraffin: MINA Antibody - BSA Free [NBP1-89863]

Immunohistochemistry-Paraffin: MINA Antibody - BSA Free [NBP1-89863]

Staining of human testis shows weak nuclear positivity in cells in seminiferous ducts.

Applications for MINA Antibody - BSA Free

Application
Recommended Usage

Immunocytochemistry/ Immunofluorescence

0.25-2 ug/ml

Immunohistochemistry

1:20 - 1:50

Immunohistochemistry-Paraffin

1:20 - 1:50

Western Blot

0.04-0.4 ug/ml
Application Notes
For IHC-Paraffin, HIER pH 6 retrieval is recommended. Immunocytochemistry/Immunofluorescence Fixation Permeabilization: Use PFA/Triton X-100.

Formulation, Preparation, and Storage

Purification

Immunogen affinity purified

Formulation

PBS (pH 7.2) and 40% Glycerol

Format

BSA Free

Preservative

0.02% Sodium Azide

Concentration

Concentrations vary lot to lot. See vial label for concentration. If unlisted please contact technical services.

Shipping

The product is shipped with polar packs. Upon receipt, store it immediately at the temperature recommended below.

Stability & Storage

Store at 4C short term. Aliquot and store at -20C long term. Avoid freeze-thaw cycles.

Background: MINA

MINA is a c-Myc (MYC; MIM 190080) target gene that may play a role in cell proliferation or regulation of cell growth. (Tsuneoka et al., 2002 [PubMed 12091391]; Zhang et al., 2005 [PubMed 15897898]).[supplied by OMIM]

Long Name

Myc-induced Nuclear Antigen

Alternate Names

MDIG, Mina53, NO52

Gene Symbol

RIOX2

Additional MINA Products

Product Documents for MINA Antibody - BSA Free

Certificate of Analysis

To download a Certificate of Analysis, please enter a lot number in the search box below.

Product Specific Notices for MINA Antibody - BSA Free

This product is for research use only and is not approved for use in humans or in clinical diagnosis. Primary Antibodies are guaranteed for 1 year from date of receipt.

Loading...
Loading...
Loading...
Loading...