Skip to main content

MgcRacGAP/RACGAP1 Antibody

Novus Biologicals, part of Bio-Techne | Catalog # NBP2-20049

Novus Biologicals, part of Bio-Techne
Catalog #
Availability
Size / Price
Qty
Loading...
NBP2-20049

Key Product Details

Species Reactivity

Human, Zebrafish

Applications

Immunohistochemistry, Immunohistochemistry-Paraffin, Western Blot, Immunocytochemistry/ Immunofluorescence

Label

Unconjugated

Antibody Source

Polyclonal Rabbit IgG

Concentration

Concentrations vary lot to lot. See vial label for concentration. If unlisted please contact technical services.

Product Specifications

Immunogen

Recombinant protein encompassing a sequence within the C-terminus region of human MgcRacGAP/RACGAP1. The exact sequence is proprietary.

Reactivity Notes

Immunogen displays the following percentage of sequence identity for non-tested species: Rhesus Macaque.

Localization

Nucleus; Cytoplasm; Spindle; Acrosome

Clonality

Polyclonal

Host

Rabbit

Isotype

IgG

Theoretical MW

71 kDa.
Disclaimer note: The observed molecular weight of the protein may vary from the listed predicted molecular weight due to post translational modifications, post translation cleavages, relative charges, and other experimental factors.

Description

Novus Biologicals Rabbit MgcRacGAP/RACGAP1 Antibody (NBP2-20049) is a polyclonal antibody validated for use in IHC, WB and ICC/IF. All Novus Biologicals antibodies are covered by our 100% guarantee.

Scientific Data Images for MgcRacGAP/RACGAP1 Antibody

Western Blot: MgcRacGAP/RACGAP1 Antibody [NBP2-20049]

Western Blot: MgcRacGAP/RACGAP1 Antibody [NBP2-20049]

Western Blot: RACGAP1 Antibody [NBP2-20049] - Sample (30 ug of whole cell lysate) A: Jurkat 7. 5% SDS PAGE gel, diluted at 1:1000.
Immunocytochemistry/ Immunofluorescence: MgcRacGAP/RACGAP1 Antibody [NBP2-20049]

Immunocytochemistry/ Immunofluorescence: MgcRacGAP/RACGAP1 Antibody [NBP2-20049]

Immunocytochemistry/Immunofluorescence: RACGAP1 Antibody [NBP2-20049] - Immunofluorescence analysis of paraformaldehyde-fixed A431, using antibody at 1:200 dilution.
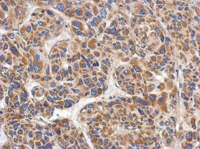
Immunohistochemistry-Paraffin: MgcRacGAP/RACGAP1 Antibody [NBP2-20049]

Immunohistochemistry-Paraffin: MgcRacGAP/RACGAP1 Antibody [NBP2-20049]

Immunohistochemistry-Paraffin: RACGAP1 Antibody [NBP2-20049] - Immunohistochemical analysis of paraffin-embedded Hepatoma, using antibody at 1:500 dilution.

Applications for MgcRacGAP/RACGAP1 Antibody

Application
Recommended Usage

Immunocytochemistry/ Immunofluorescence

1:100-1:1000

Immunohistochemistry

10 - 1:500

Immunohistochemistry-Paraffin

1:100-1:1000

Western Blot

1:500-1:3000

Formulation, Preparation, and Storage

Purification

Antigen Affinity-purified

Formulation

PBS, 1% BSA, 20% Glycerol

Preservative

0.01% Thimerosal

Concentration

Concentrations vary lot to lot. See vial label for concentration. If unlisted please contact technical services.

Shipping

The product is shipped with polar packs. Upon receipt, store it immediately at the temperature recommended below.

Stability & Storage

Aliquot and store at -20C or -80C. Avoid freeze-thaw cycles.

Background: MgcRacGAP

Rho GTPases control a variety of cellular processes. There are 3 subtypes of Rho GTPases in the Ras superfamily of small G proteins: RHO (see MIM 165370), RAC (see RAC1; MIM 602048), and CDC42 (MIM 116952). GTPase-activating proteins (GAPs) bind activated forms of Rho GTPases and stimulate GTP hydrolysis. Through this catalytic function, Rho GAPs negatively regulate Rho-mediated signals. GAPs may also serve as effector molecules and play a role in signaling downstream of Rho and other Ras-like GTPases.[supplied by OMIM]

Long Name

Male Germ Cell Rac GTPase-activating Protein

Alternate Names

RACGAP1

Gene Symbol

RACGAP1

UniProt

Additional MgcRacGAP Products

Product Documents for MgcRacGAP/RACGAP1 Antibody

Certificate of Analysis

To download a Certificate of Analysis, please enter a lot number in the search box below.

Product Specific Notices for MgcRacGAP/RACGAP1 Antibody

This product is for research use only and is not approved for use in humans or in clinical diagnosis. Primary Antibodies are guaranteed for 1 year from date of receipt.

Loading...
Loading...
Loading...
Loading...

⚠ WARNING: This product can expose you to chemicals including mercury, which is known to the State of California to cause reproductive toxicity with developmental effects.  For more information go to www.P65Warnings.ca.gov.