Skip to main content

MgcRacGAP/RACGAP1 Antibody

Novus Biologicals, part of Bio-Techne | Catalog # NB100-884

Novus Biologicals, part of Bio-Techne
Catalog #
Availability
Size / Price
Qty
Loading...
NB100-884

Key Product Details

Species Reactivity

Validated:

Human

Cited:

Human

Predicted:

Bovine (100%), Canine (100%). Backed by our 100% Guarantee.

Applications

Validated:

Immunohistochemistry, Immunohistochemistry-Paraffin, Western Blot, Peptide ELISA, Flow Cytometry, Immunocytochemistry/ Immunofluorescence

Cited:

Immunocytochemistry/ Immunofluorescence

Label

Unconjugated

Antibody Source

Polyclonal Goat IgG

Concentration

0.5 mg/ml

Product Specifications

Immunogen

Peptide with sequence C-GRQGNFFASPMLK corresponding to C-Terminus according to NP_037409.2, NP_001119576.1, NP_001119575.1.

Specificity

Reported variants represent identical protein: NP_037409.2, NP_001119576.1 and NP_001119575.1.

Clonality

Polyclonal

Host

Goat

Isotype

IgG

Description

Novus Biologicals Goat MgcRacGAP/RACGAP1 Antibody (NB100-884) is a polyclonal antibody validated for use in IHC, WB, ELISA, Flow and ICC/IF. Anti-MgcRacGAP/RACGAP1 Antibody: Cited in 4 publications. All Novus Biologicals antibodies are covered by our 100% guarantee.

Scientific Data Images for MgcRacGAP/RACGAP1 Antibody

Western Blot: MgcRacGAP/RACGAP1 Antibody [NB100-884]

Western Blot: MgcRacGAP/RACGAP1 Antibody [NB100-884]

Western Blot: MgcRacGAP/RACGAP1 Antibody [NB100-884] - (10ug protein in RIPA buffer) overexpressing Human RACGAP1 with DYKDDDDK tag probed with EB05315 (0.5ug/ml) in Lane A and probed with anti- DYKDDDDK Tag (1/500) in lane C. Mock-transfected HEK293 probed with EB05315 (1mg/ml) in Lane B. Prima
Immunocytochemistry/ Immunofluorescence: MgcRacGAP/RACGAP1 Antibody [NB100-884]

Immunocytochemistry/ Immunofluorescence: MgcRacGAP/RACGAP1 Antibody [NB100-884]

Immunocytochemistry/Immunofluorescence: MgcRacGAP/RACGAP1 Antibody [NB100-884] - MCF7 cells, permeabilized with 0.15% Triton. Primary incubation 1hr (10ug/ml) followed by Alexa Fluor 488 secondary antibody (4ug/ml), showing nuclear staining. The nuclear stain is DAPI (blue). Negative control: Unimmunized goat IgG (10ug/ml) followed by Alexa Fluor 488 secondary antibody (4ug/ml).
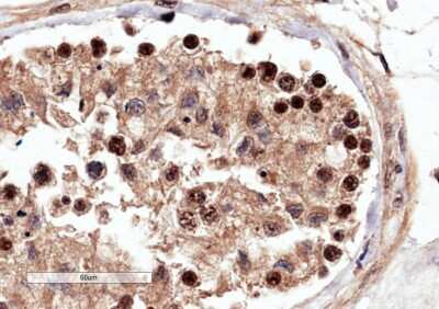
Immunohistochemistry-Paraffin: MgcRacGAP/RACGAP1 Antibody [NB100-884]

Immunohistochemistry-Paraffin: MgcRacGAP/RACGAP1 Antibody [NB100-884]

Immunohistochemistry-Paraffin: MgcRacGAP/RACGAP1 Antibody [NB100-884] - (4ug/ml) staining of paraffin embedded Human Testis. Microwaved antigen retrieval with Tris/EDTA buffer pH9, HRP-staining.

Applications for MgcRacGAP/RACGAP1 Antibody

Application
Recommended Usage

Flow Cytometry

10 ug/ml

Immunocytochemistry/ Immunofluorescence

10 ug/ml

Immunohistochemistry

1 ug/ml

Immunohistochemistry-Paraffin

1 ug/ml

Peptide ELISA

detection limit 1:32000

Western Blot

1-3 ug/ml
Application Notes
WB: Approx. 75 kDa band observed in K562 lysates and Jurkat (calculated MW of 71 kDa band according to NP_037409). IHC-P: Human testis show nuclear staining of many cells. Data obtained from a previous batch (different goat). Use in ICC/IF was reported in scientific literature (PMID: 31653703).

Formulation, Preparation, and Storage

Purification

Immunogen affinity purified

Formulation

Tris saline (20 mM Tris pH 7.3, 150 mM NaCl), 0.5% BSA

Preservative

0.02% Sodium Azide

Concentration

0.5 mg/ml

Shipping

The product is shipped with polar packs. Upon receipt, store it immediately at the temperature recommended below.

Stability & Storage

Store at -20C. Avoid freeze-thaw cycles.

Background: MgcRacGAP

RACGAP1 is essential for the early stages of embryogenesis and may play a role in the microtubule-dependent steps in cytokinesis. It plays key roles in controlling cell growth and differentiation of hematopoietic cells through mechanisms other than regulating Rac GTPase activity, and is also involved in the regulation of growth-related processes in adipocytes and myoblasts. RACGAP1 also shows strong GAP (GTPase activation) activity towards CDC42 and RAC1 and less towards RHOA.

Long Name

Male Germ Cell Rac GTPase-activating Protein

Alternate Names

RACGAP1

Entrez Gene IDs

29127 (Human)

Gene Symbol

RACGAP1

UniProt

Additional MgcRacGAP Products

Product Documents for MgcRacGAP/RACGAP1 Antibody

Certificate of Analysis

To download a Certificate of Analysis, please enter a lot number in the search box below.

Product Specific Notices for MgcRacGAP/RACGAP1 Antibody

This product is for research use only and is not approved for use in humans or in clinical diagnosis. Primary Antibodies are guaranteed for 1 year from date of receipt.

Loading...
Loading...
Loading...
Loading...
Loading...