METTL14 Antibody - BSA Free
Novus Biologicals, part of Bio-Techne | Catalog # NBP3-38559
Key Product Details
Species Reactivity
Human, Mouse, Rat
Applications
Immunohistochemistry, Immunohistochemistry-Paraffin, Western Blot, ELISA
Label
Unconjugated
Antibody Source
Polyclonal Rabbit IgG
Format
BSA Free
Concentration
Please see the vial label for concentration. If unlisted please contact technical services.
Product Specifications
Immunogen
Recombinant fusion protein containing a sequence corresponding to amino acids 1-210 of human METTL14 (NP_066012.1).
Sequence:
MDSRLQEIRERQKLRRQLLAQQLGAESADSIGAVLNSKDEQREIAETRETCRASYDTSAPNAKRKYLDEGETDEDKMEEYKDELEMQQDEENLPYEEEIYKDSSTFLKGTQSLNPHNDYCQHFVDTGHRPQNFIRDVGLADRFEEYPKLRELIRLKDELIAKSNTPPMYLQADIEAFDIRELTPKFDVILLEPPLEEYYRETGITANEKC
Sequence:
MDSRLQEIRERQKLRRQLLAQQLGAESADSIGAVLNSKDEQREIAETRETCRASYDTSAPNAKRKYLDEGETDEDKMEEYKDELEMQQDEENLPYEEEIYKDSSTFLKGTQSLNPHNDYCQHFVDTGHRPQNFIRDVGLADRFEEYPKLRELIRLKDELIAKSNTPPMYLQADIEAFDIRELTPKFDVILLEPPLEEYYRETGITANEKC
Clonality
Polyclonal
Host
Rabbit
Isotype
IgG
Theoretical MW
52 kDa.
Disclaimer note: The observed molecular weight of the protein may vary from the listed predicted molecular weight due to post translational modifications, post translation cleavages, relative charges, and other experimental factors.
Disclaimer note: The observed molecular weight of the protein may vary from the listed predicted molecular weight due to post translational modifications, post translation cleavages, relative charges, and other experimental factors.
Description
Novus Biologicals Rabbit METTL14 Antibody - BSA Free (NBP3-38559) is a polyclonal antibody validated for use in IHC, WB and ELISA. All Novus Biologicals antibodies are covered by our 100% guarantee.
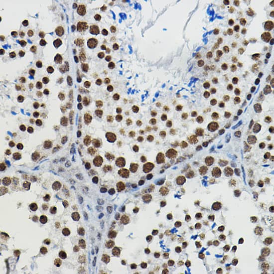
Scientific Data Images for METTL14 Antibody - BSA Free
Immunohistochemistry: METTL14 Antibody [NBP3-38559] -
Immunohistochemistry: METTL14 Antibody [NBP3-38559] - Immunohistochemistry analysis of paraffin-embedded Human colon using METTL14 Rabbit pAb at dilution of 1:100 (40x lens). High pressure antigen retrieval performed with 0.01M Citrate Bufferr (pH 6.0) prior to IHC staining.Immunohistochemistry: METTL14 Antibody [NBP3-38559] -
Immunohistochemistry: METTL14 Antibody [NBP3-38559] - Immunohistochemistry analysis of paraffin-embedded Mouse testis using METTL14 Rabbit pAb at dilution of 1:100 (40x lens). High pressure antigen retrieval performed with 0.01M Citrate Bufferr (pH 6.0) prior to IHC staining.Western Blot: METTL14 Antibody [NBP3-38559] -
Western Blot: METTL14 Antibody [NBP3-38559] - Western blot analysis of various lysates, using METTL14 Rabbit pAb at 1:500 dilution.Secondary antibody: HRP-conjugated Goat anti-Rabbit IgG (H+L) at 1:10000 dilution.
Lysates/proteins: 25ug per lane.
Blocking buffer: 3% nonfat dry milk in TBST.
Detection: ECL Basic Kit.
Exposure time: 5s.
Applications for METTL14 Antibody - BSA Free
Application
Recommended Usage
Immunohistochemistry-Paraffin
1:50 - 1:200
Western Blot
1:500 - 1:1000
Formulation, Preparation, and Storage
Purification
Affinity purified
Formulation
PBS (pH 7.3), 50% glycerol
Format
BSA Free
Preservative
0.02% Sodium Azide
Concentration
Please see the vial label for concentration. If unlisted please contact technical services.
Shipping
The product is shipped with polar packs. Upon receipt, store it immediately at the temperature recommended below.
Stability & Storage
Store at -20C. Avoid freeze-thaw cycles.
Background: METTL14
Long Name
Methyltransferase-Like Protein 14
Alternate Names
KIAA1627
Gene Symbol
METTL14
Additional METTL14 Products
Product Documents for METTL14 Antibody - BSA Free
Product Specific Notices for METTL14 Antibody - BSA Free
This product is for research use only and is not approved for use in humans or in clinical diagnosis. Primary Antibodies are guaranteed for 1 year from date of receipt.
Loading...
Loading...
Loading...
Loading...