Skip to main content

METTL1 Antibody - Azide and BSA Free

Novus Biologicals, part of Bio-Techne | Catalog # NBP2-99811

Novus Biologicals, part of Bio-Techne

Key Product Details

Species Reactivity

Human

Applications

Immunohistochemistry, Immunohistochemistry-Paraffin, Western Blot, ELISA, Immunoprecipitation

Label

Unconjugated

Antibody Source

Polyclonal Rabbit IgG

Format

Azide and BSA Free

Concentration

Please see the vial label for concentration. If unlisted please contact technical services.

Product Specifications

Immunogen

Produced in rabbits immunized with purified, recombinant Human METTL1 (Accession#: NP_005362.3; Asp 32-Gln 265)

Clonality

Polyclonal

Host

Rabbit

Isotype

IgG

Description

This antibody can be stored at 2C to 8C for one month without detectable loss of activity. Antibody products are stable for twelve months from date of receipt when stored at -20C to -80C. Avoid repeated freeze-thaw cycles.

Scientific Data Images for METTL1 Antibody - Azide and BSA Free

Western Blot: METTL1 Antibody [NBP2-99811]

Western Blot: METTL1 Antibody [NBP2-99811]

Western Blot: METTL1 Antibody [NBP2-99811] - Anti-METTL1 rabbit polyclonal antibody at 1:500 dilution. Lane A: Jurkat Whole Cell Lysate. Lane B: 293T Whole Cell Lysate. Lysates/proteins at 30 ug per lane. Secondary Goat Anti-Rabbit IgG H&L (Dylight 800) at 1/10000 dilution. Developed using the Odyssey technique. Performed under reducing conditions. Predicted band size: 31 kDa. Observed band size: 34 kDa (We are unsure as to the identity of these extra bands).
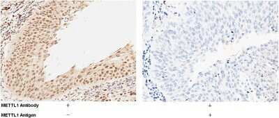
Immunohistochemistry-Paraffin: METTL1 Antibody [NBP2-99811]

Immunohistochemistry-Paraffin: METTL1 Antibody [NBP2-99811]

Immunohistochemistry-Paraffin: METTL1 Antibody [NBP2-99811] - Immunochemical staining of human METTL1 in human bladder carcinoma with rabbit polyclonal antibody at 1:5000 dilution, formalin-fixed paraffin embedded sections. The left panel: tissue incubated with primary antibody; The right panel: tissue incubated wit
Immunoprecipitation: METTL1 Antibody [NBP2-99811]

Immunoprecipitation: METTL1 Antibody [NBP2-99811]

Immunoprecipitation: METTL1 Antibody [NBP2-99811] - METTL1 was immunoprecipitated using: Lane A: 0.5 mg Hela Whole Cell Lysate. Lane B: 0.5 mg 293T Whole Cell Lysate0.5 ul anti-METTL1 rabbit polyclonal antibody and 15 ul of 50 % Protein G agarose. Primary antibody: Anti-METTL1 rabbit polyclonal antibody, at 1:1000 dilution. Secondary antibody: Dylight 800-labeled antibody to rabbit IgG (H+L), at 1:5000 dilution. Developed using the Odyssey technique. Performed under reducing conditions. Predicted band size: 34 kDa. Observed band size: 34 kDa

Applications for METTL1 Antibody - Azide and BSA Free

Application
Recommended Usage

ELISA

1:25000-1:50000

Immunohistochemistry-Paraffin

1:2000-1:10000

Immunoprecipitation

0.2-1 uL/mg of lysate

Western Blot

1:500-1:1000

Formulation, Preparation, and Storage

Purification

Antigen and protein A Affinity-purified

Formulation

0.2 um filtered solution in PBS

Format

Azide and BSA Free

Preservative

No Preservative

Concentration

Please see the vial label for concentration. If unlisted please contact technical services.

Shipping

The product is shipped with polar packs. Upon receipt, store it immediately at the temperature recommended below.

Stability & Storage

Store at 4C short term. Aliquot and store at -20C long term. Avoid freeze-thaw cycles.

Background: METTL1

METTL1 is similar in sequence to the S. cerevisiae YDL201w gene. The gene product contains a conserved S-adenosylmethionine-binding motif and is inactivated by phosphorylation. Alternative splice variants encoding different protein isoforms have been described for this gene. A pseudogene has been identified on chromosome X. [provided by RefSeq]

Alternate Names

C12orf1, D1075-like gene product, EC 2.1.1.33, FLJ95748, methyltransferase like 1, methyltransferase-like 1, Methyltransferase-like protein 1, TRM8, tRNA (guanine-N(7)-)-methyltransferase, tRNA(m7G46)-methyltransferase, YDL201w

Gene Symbol

METTL1

Additional METTL1 Products

Product Documents for METTL1 Antibody - Azide and BSA Free

Certificate of Analysis

To download a Certificate of Analysis, please enter a lot number in the search box below.

Product Specific Notices for METTL1 Antibody - Azide and BSA Free

This product is for research use only and is not approved for use in humans or in clinical diagnosis. Primary Antibodies are guaranteed for 1 year from date of receipt.

Loading...
Loading...
Loading...
Loading...