Skip to main content

Mesothelin Antibody - BSA Free

Novus Biologicals, part of Bio-Techne | Catalog # NBP1-88224

Novus Biologicals, part of Bio-Techne
Catalog #
Availability
Size / Price
Qty
Loading...
NBP1-88224
NBP1-88224-25ul

Key Product Details

Validated by

Orthogonal Validation

Species Reactivity

Human

Applications

Immunohistochemistry, Immunohistochemistry-Paraffin, Western Blot

Label

Unconjugated

Antibody Source

Polyclonal Rabbit IgG

Format

BSA Free

Concentration

Concentrations vary lot to lot. See vial label for concentration. If unlisted please contact technical services.

Product Specifications

Immunogen

This antibody was developed against Recombinant Protein corresponding to amino acids: RQRSSRDPSWRQPERTILRPRFRREVEKTACPSGKKAREIDESLIFYKKWELEACVDAALLATQMDRVNAIPFTYEQLDVLKHKLDELYPQGYPESVIQH

Clonality

Polyclonal

Host

Rabbit

Isotype

IgG

Description

Novus Biologicals Rabbit Mesothelin Antibody - BSA Free (NBP1-88224) is a polyclonal antibody validated for use in IHC and WB. Anti-Mesothelin Antibody: Cited in 2 publications. All Novus Biologicals antibodies are covered by our 100% guarantee.

Scientific Data Images for Mesothelin Antibody - BSA Free

Mesothelin Antibody - BSA Free Immunohistochemistry-Paraffin: Mesothelin Antibody - BSA Free [NBP1-88224]

Immunohistochemistry-Paraffin: Mesothelin Antibody - BSA Free [NBP1-88224]

Analysis in human fallopian tube and skeletal muscle tissues using HPA017172 antibody. Corresponding MSLN RNA-seq data are presented for the same tissues.
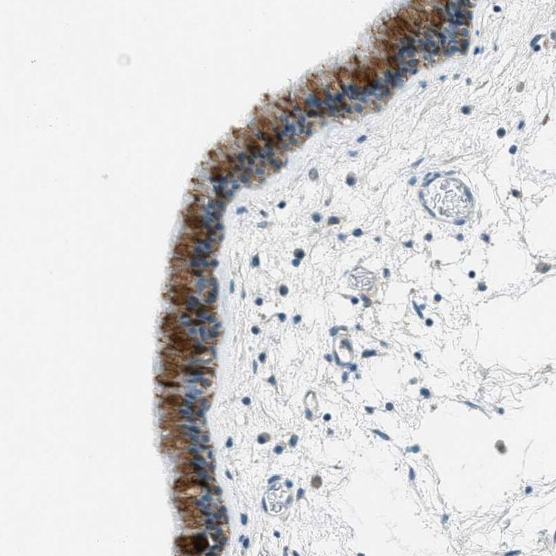
Mesothelin Antibody - BSA Free Immunohistochemistry-Paraffin: Mesothelin Antibody - BSA Free [NBP1-88224]

Immunohistochemistry-Paraffin: Mesothelin Antibody - BSA Free [NBP1-88224]

Staining of human fallopian tube shows strong cytoplasmic positivity in glandular cells.
Mesothelin Antibody - BSA Free Immunohistochemistry-Paraffin: Mesothelin Antibody - BSA Free [NBP1-88224]

Immunohistochemistry-Paraffin: Mesothelin Antibody - BSA Free [NBP1-88224]

Staining of human skeletal muscle shows no cytoplasmic positivity in myocytes as expected.

Applications for Mesothelin Antibody - BSA Free

Application
Recommended Usage

Immunohistochemistry

1:200 - 1:500

Immunohistochemistry-Paraffin

1:200 - 1:500

Western Blot

0.04-0.4 ug/ml
Application Notes
For IHC-Paraffin, HIER pH 6 retrieval is recommended.

Formulation, Preparation, and Storage

Purification

Immunogen affinity purified

Formulation

PBS (pH 7.2) and 40% Glycerol

Format

BSA Free

Preservative

0.02% Sodium Azide

Concentration

Concentrations vary lot to lot. See vial label for concentration. If unlisted please contact technical services.

Shipping

The product is shipped with polar packs. Upon receipt, store it immediately at the temperature recommended below.

Stability & Storage

Store at 4C short term. Aliquot and store at -20C long term. Avoid freeze-thaw cycles.

Background: Mesothelin

MSLN, also known as Mesothelin, has 4 isoforms, a 630 amino acid isoform that is 69 kDa, a 622 amino acid isoform that is 68 kDa, a 656 amino acid isoform that is 71 kDa, and a 621 amino acid isoform that is 68 kDa, expressed in lung, heart, placenta kidney, and overexpressed in mesotheliomas, ovarian cancers, and some squamous cell carcinomas. Membrane-anchored forms may play a role in cellular adhesion and megakaryocyte-potentiating factor (MPF) potentiates megakaryocyte colony formation in vitro. Current research is being performed on several diseases and disorders including squamous cell carcinoma, ovarian cancer, carcinoma, malignant biphasic mesothelioma, bile duct adenoma, malignant mesothelioma, malignant pleural mesothelioma, gastrointestinal stromal tumor, renal clear cell carcinoma, epithelioid sarcoma, benign mesothelioma, pancreatic ductal adenocarcinoma, asbestosis, pancreatic ductal carcinoma, thymic carcinoma, acute myeloid leukemia, epithelial ovarian cancer, myeloid leukemia, thoracic cancer, and pancreatitis. This protein has also shown an interaction with MUC16 and RSG1 in cell adhesion and pancreas development processes and pathways.

Alternate Names

CAK1, MPF, MSLN, SMR

Gene Symbol

MSLN

Additional Mesothelin Products

Product Documents for Mesothelin Antibody - BSA Free

Certificate of Analysis

To download a Certificate of Analysis, please enter a lot number in the search box below.

Product Specific Notices for Mesothelin Antibody - BSA Free

This product is for research use only and is not approved for use in humans or in clinical diagnosis. Primary Antibodies are guaranteed for 1 year from date of receipt.

Loading...
Loading...
Loading...
Loading...