Skip to main content

Melan-A/MART-1 Antibody (MLANA/8365R)

Novus Biologicals, part of Bio-Techne | Catalog # NBP3-20566

Recombinant Monoclonal Antibody
Novus Biologicals, part of Bio-Techne
Catalog #
Availability
Size / Price
Qty
Loading...
NBP3-20566-100ug
NBP3-20566-20ug

Key Product Details

Species Reactivity

Human

Applications

Immunohistochemistry-Paraffin

Label

Unconjugated

Antibody Source

Recombinant Monoclonal Rabbit IgG Kappa Clone # MLANA/8365R

Concentration

0.2 mg/ml

Product Specifications

Immunogen

Recombinant fragment corresponding to the N-terminus of human Melan-A/MART-1 protein

Localization

Cytoplasm.

Specificity

This monoclonal antibody labels melanomas and other tumors showing melanocytic differentiation It is also a useful positive-marker for angiomyolipomas It does not stain tumor cells of epithelial, lymphoid, glial, or mesenchymal origin

Clonality

Monoclonal

Host

Rabbit

Isotype

IgG Kappa

Description

Positive Controls: Human skin or melanoma.

Antibody with azide - store at 2 to 8C. Antibody without azide - store at -20 to -80C. Non-hazardous. No MSDS required.

Scientific Data Images for Melan-A/MART-1 Antibody (MLANA/8365R)

Melan-A/MART-1 Antibody (MLANA/8365R)

Melan-A/MART-1 Antibody (MLANA/8365R)

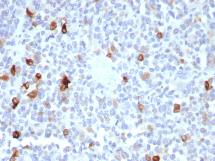
Formalin-fixed, paraffin-embedded human melanoma stained with Melan-A/MART-1 antibody (MLANA/8365R). HIER: Tris/EDTA, pH9.0, 45min. Secondary: HRP-polymer, 30min. DAB, 5min.

Applications for Melan-A/MART-1 Antibody (MLANA/8365R)

Application
Recommended Usage

Immunohistochemistry-Paraffin

1-2 ug/ml
Application Notes
Immunohistochemistry (Formalin-fixed): 1-2ug/ml for 30 minutes. at RT. Staining of formalin-fixed tissues requires heating tissue sections in 10mM Tris with 1mM EDTA, pH 9.0, for 45 min at 95C followed by cooling at RT for 20 minutes.

Optimal dilution for a specific application should be determined.

Formulation, Preparation, and Storage

Purification

Protein A or G purified

Formulation

10mM PBS with 0.05% BSA

Preservative

0.05% Sodium Azide

Concentration

0.2 mg/ml

Shipping

The product is shipped with polar packs. Upon receipt, store it immediately at the temperature recommended below.

Stability & Storage

Store at 4C. Do not freeze.

Background: Melan-A/MART-1

MART-1 (Melanoma Antigen Recognized by T cells 1) or Melan-A1 is a newly identified melanocyte differentiation antigen recognized by autologous cytotoxic T lymphocytes. Seven other melanoma associated antigens recognized by autologous cytotoxic T cells include MAGE-1, MAGE-3, tyrosinase, gp100, gp75, BAGE-1, and GAGE-1. Subcellular fractionation shows that MART-1 is present in melanosomes and endoplasmic reticulum.

Alternate Names

Antigen LB39-AA, Antigen SK29-AA, MART-1, MelanA, MLANA

Gene Symbol

MLANA

Additional Melan-A/MART-1 Products

Product Documents for Melan-A/MART-1 Antibody (MLANA/8365R)

Certificate of Analysis

To download a Certificate of Analysis, please enter a lot number in the search box below.

Product Specific Notices for Melan-A/MART-1 Antibody (MLANA/8365R)

This product is for research use only and is not approved for use in humans or in clinical diagnosis. Primary Antibodies are guaranteed for 1 year from date of receipt.

Loading...
Loading...
Loading...
Loading...