MEF2C Antibody - BSA Free
Novus Biologicals, part of Bio-Techne | Catalog # NBP1-89468
Key Product Details
Validated by
Orthogonal Validation
Species Reactivity
Validated:
Human
Predicted:
Mouse (97%), Rat (99%). Backed by our 100% Guarantee.
Applications
Immunohistochemistry, Immunohistochemistry-Paraffin, Western Blot, Immunocytochemistry/ Immunofluorescence, Chromatin Immunoprecipitation-exo-Seq
Label
Unconjugated
Antibody Source
Polyclonal Rabbit IgG
Format
BSA Free
Concentration
Concentrations vary lot to lot. See vial label for concentration. If unlisted please contact technical services.
Product Specifications
Immunogen
This antibody was developed against Recombinant Protein corresponding to amino acids: PPNFEMPVSIPVSSHNSLVYSNPVSSLGNPNLLPLAHPSLQRNSMSPGVTHRPPSAGNTGGLMGGDLTSGAGTSAGNGYGNPRNSPGLLVSPGNLNKNMQAKSPPPMNLGMNNRKPDLRVLIPPGSKNTMPSVNQRINN
Clonality
Polyclonal
Host
Rabbit
Isotype
IgG
Scientific Data Images for MEF2C Antibody - BSA Free
Immunocytochemistry/ Immunofluorescence: MEF2C Antibody [NBP1-89468]
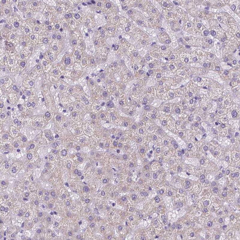
Immunocytochemistry/Immunofluorescence: MEF2C Antibody [NBP1-89468] - Staining of human cell line RH-30 shows localization to nucleoplasm & vesicles. Antibody staining is shown in green.Immunohistochemistry-Paraffin: MEF2C Antibody - BSA Free [NBP1-89468]
Staining of human liver shows no positivity in hepatocytes as expected.Applications for MEF2C Antibody - BSA Free
Application
Recommended Usage
Chromatin Immunoprecipitation-exo-Seq
1-10ug per reaction
Immunocytochemistry/ Immunofluorescence
0.25-2 ug/ml
Immunohistochemistry
1:50 - 1:200
Immunohistochemistry-Paraffin
1:50 - 1:200
Western Blot
0.04-0.4 ug/ml
Application Notes
IHC-Paraffin, HIER pH 6 retrieval is recommended. ICC/IF, Fixation Permeabilization: Use PFA/Triton X-100.
Formulation, Preparation, and Storage
Purification
Affinity purified
Formulation
PBS (pH 7.2) and 40% Glycerol
Format
BSA Free
Preservative
0.02% Sodium Azide
Concentration
Concentrations vary lot to lot. See vial label for concentration. If unlisted please contact technical services.
Shipping
The product is shipped with polar packs. Upon receipt, store it immediately at the temperature recommended below.
Stability & Storage
Store at 4C short term. Aliquot and store at -20C long term. Avoid freeze-thaw cycles.
Background: MEF2C
Long Name
Myocyte-specific Enhancer Factor 2C
Alternate Names
DEL5q14.3
Gene Symbol
MEF2C
Additional MEF2C Products
Product Documents for MEF2C Antibody - BSA Free
Product Specific Notices for MEF2C Antibody - BSA Free
This product is for research use only and is not approved for use in humans or in clinical diagnosis. Primary Antibodies are guaranteed for 1 year from date of receipt.
Loading...
Loading...
Loading...
Loading...