Skip to main content

MEF2C Antibody (OTI1H5)

Novus Biologicals, part of Bio-Techne | Catalog # NBP2-00493

Novus Biologicals, part of Bio-Techne

Key Product Details

Species Reactivity

Validated:

Human, Mouse, Rat

Cited:

Human

Applications

Validated:

Immunohistochemistry, Immunohistochemistry-Paraffin, Western Blot, Flow Cytometry, Immunocytochemistry/ Immunofluorescence

Cited:

Immunohistochemistry-Paraffin

Label

Unconjugated

Antibody Source

Monoclonal Mouse IgG1 Clone # OTI1H5

Concentration

1 mg/ml

Product Specifications

Immunogen

Full length human recombinant protein of human MEF2C (NP_002388) produced in HEK293T cell.

Reactivity Notes

Please note that this antibody is reactive to Mouse and derived from the same host, Mouse. Mouse-On-Mouse blocking reagent may be needed for IHC and ICC experiments to reduce high background signal. You can find these reagents under catalog numbers PK-2200-NB and MP-2400-NB. Please contact Technical Support if you have any questions.

Clonality

Monoclonal

Host

Mouse

Isotype

IgG1

Theoretical MW

51 kDa.
Disclaimer note: The observed molecular weight of the protein may vary from the listed predicted molecular weight due to post translational modifications, post translation cleavages, relative charges, and other experimental factors.

Description

Novus Biologicals Mouse MEF2C Antibody (OTI1H5) (NBP2-00493) is a monoclonal antibody validated for use in IHC, WB, Flow and ICC/IF. Anti-MEF2C Antibody: Cited in 3 publications. All Novus Biologicals antibodies are covered by our 100% guarantee.

Scientific Data Images for MEF2C Antibody (OTI1H5)

Western Blot: MEF2C Antibody (OTI1H5) [NBP2-00493]

Western Blot: MEF2C Antibody (OTI1H5) [NBP2-00493]

Western Blot: MEF2C Antibody (1H5) [NBP2-00493] - HEK293T cells were transfected with the pCMV6-ENTRY control (Left lane) or pCMV6-ENTRY MEF2C (Right lane) cDNA for 48 hrs and lysed. Equivalent amounts of cell lysates (5 ug per lane) were separated by SDS-PAGE and immunoblotted with anti-MEF2C.
Immunocytochemistry/ Immunofluorescence: MEF2C Antibody (OTI1H5) [NBP2-00493]

Immunocytochemistry/ Immunofluorescence: MEF2C Antibody (OTI1H5) [NBP2-00493]

Immunocytochemistry/Immunofluorescence: MEF2C Antibody (OTI1H5) [NBP2-00493] - MEF2C Antibody (1H5) [NBP2-00493] - Staining of COS7 cells transiently transfected by pCMV6-ENTRY MEF2C.
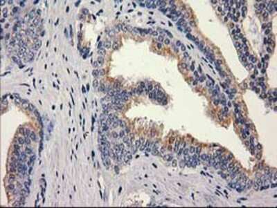
Immunohistochemistry-Paraffin: MEF2C Antibody (OTI1H5) [NBP2-00493]

Immunohistochemistry-Paraffin: MEF2C Antibody (OTI1H5) [NBP2-00493]

Immunohistochemistry-Paraffin: MEF2C Antibody (1H5) [NBP2-00493] - Staining of paraffin-embedded Human Ovary tissue using anti-MEF2C mouse monoclonal antibody.

Applications for MEF2C Antibody (OTI1H5)

Application
Recommended Usage

Flow Cytometry

1:100

Immunocytochemistry/ Immunofluorescence

1:100

Immunohistochemistry

1:150

Immunohistochemistry-Paraffin

1:150

Western Blot

1:2000

Formulation, Preparation, and Storage

Purification

Immunogen affinity purified

Formulation

PBS (pH 7.3), 1.0% BSA and 50% Glycerol

Preservative

0.02% Sodium Azide

Concentration

1 mg/ml

Shipping

The product is shipped with polar packs. Upon receipt, store it immediately at the temperature recommended below.

Stability & Storage

Store at -20C. Avoid freeze-thaw cycles.

Background: MEF2C

This locus encodes a member of the MADS box transcription enhancer factor 2 (MEF2) family of proteins, which play a role in myogenesis. The encoded protein, MEF2 polypeptide C, has both trans-activating and DNA binding activities. This protein may play a role in maintaining the differentiated state of muscle cells. Mutations and deletions at this locus have been associated with severe mental retardation, stereotypic movements, epilepsy, and cerebral malformation. Alternatively spliced transcript variants have been described. [provided by RefSeq].

Long Name

Myocyte-specific Enhancer Factor 2C

Alternate Names

DEL5q14.3

Entrez Gene IDs

4208 (Human)

Gene Symbol

MEF2C

Additional MEF2C Products

Product Documents for MEF2C Antibody (OTI1H5)

Certificate of Analysis

To download a Certificate of Analysis, please enter a lot number in the search box below.

Product Specific Notices for MEF2C Antibody (OTI1H5)

This product is for research use only and is not approved for use in humans or in clinical diagnosis. Primary Antibodies are guaranteed for 1 year from date of receipt.

Loading...
Loading...
Loading...
Loading...
Loading...