Skip to main content

MeCP2 Antibody - BSA Free

Novus Biologicals, part of Bio-Techne | Catalog # NBP1-81028

Novus Biologicals, part of Bio-Techne
Catalog #
Availability
Size / Price
Qty
Loading...
NBP1-81028
NBP1-81028-25ul

Key Product Details

Validated by

Independent Antibodies

Species Reactivity

Validated:

Human

Predicted:

Mouse (95%), Rat (96%). Backed by our 100% Guarantee.

Applications

Immunohistochemistry, Immunohistochemistry-Paraffin

Label

Unconjugated

Antibody Source

Polyclonal Rabbit IgG

Format

BSA Free

Concentration

Concentrations vary lot to lot. See vial label for concentration. If unlisted please contact technical services.

Product Specifications

Immunogen

This antibody was developed against Recombinant Protein corresponding to amino acids: MVAGMLGLREEKSEDQDLQGLKDKPLKFKKVKKDKKEEKEGKHEPVQPSAHHSAEPAGAGKAETSEGSGSAPAVPEASASPKQRRSIIRDRGPMYDDPTLPEGWTRKLKQRKSGRSAGKY

Marker

Nucleus Marker

Clonality

Polyclonal

Host

Rabbit

Isotype

IgG

Scientific Data Images for MeCP2 Antibody - BSA Free

Immunohistochemistry-Paraffin: MeCP2 Antibody [NBP1-81028]

Immunohistochemistry-Paraffin: MeCP2 Antibody [NBP1-81028]

Immunohistochemistry-Paraffin: MeCP2 Antibody [NBP1-81028] - Staining of human cerebellum, lymph node, prostate and testis using Anti-MeCP2 antibody NBP1-81028 (A) shows similar protein distribution across tissues to independent antibody NBP1-81027 (B).
Immunohistochemistry-Paraffin: MeCP2 Antibody [NBP1-81028]

Immunohistochemistry-Paraffin: MeCP2 Antibody [NBP1-81028]

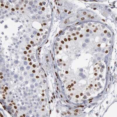
Immunohistochemistry-Paraffin: MeCP2 Antibody [NBP1-81028] - Staining of human testis shows strong nuclear positivity in cells in seminiferous ducts.
Immunohistochemistry-Paraffin: MeCP2 Antibody [NBP1-81028]

Immunohistochemistry-Paraffin: MeCP2 Antibody [NBP1-81028]

Immunohistochemistry-Paraffin: MeCP2 Antibody [NBP1-81028] - Staining of human cerebellum shows strong nuclear positivity in cells in granular layer.

Applications for MeCP2 Antibody - BSA Free

Application
Recommended Usage

Immunohistochemistry

1:200 - 1:500

Immunohistochemistry-Paraffin

1:200-1:500
Application Notes
For IHC-Paraffin, HIER pH 6 retrieval is recommended.

Formulation, Preparation, and Storage

Purification

Affinity purified

Formulation

PBS (pH 7.2) and 40% Glycerol

Format

BSA Free

Preservative

0.02% Sodium Azide

Concentration

Concentrations vary lot to lot. See vial label for concentration. If unlisted please contact technical services.

Shipping

The product is shipped with polar packs. Upon receipt, store it immediately at the temperature recommended below.

Stability & Storage

Store at 4C short term. Aliquot and store at -20C long term. Avoid freeze-thaw cycles.

Background: MeCP2

DNA methylation is the major modification of eukaryotic genomes and plays an essential role in mammalian development. Human proteins MECP2, MBD1, MBD2, MBD3, and MBD4 comprise a family of nuclear proteins related by the presence in each of a methyl-CpG binding domain (MBD). Each of these proteins, with the exception of MBD3, is capable of binding specifically to methylated DNA. MECP2, MBD1 and MBD2 can also repress transcription from methylated gene promoters. In contrast to other MBD family members, MECP2 is X-linked and subject to X inactivation. MECP2 is dispensible in stem cells, but is essential for embryonic development. MECP2 gene mutations are the cause of some cases of Rett syndrome, a progressive neurologic developmental disorder and one of the most common causes of mental retardation in females.

Alternate Names

AUTSX3, DKFZp686A24160, MeCp-2 protein, mental retardation, X-linked 79, methyl CpG binding protein 2 (Rett syndrome), X-linked 16

Entrez Gene IDs

4204 (Human)

Gene Symbol

MECP2

UniProt

Additional MeCP2 Products

Product Documents for MeCP2 Antibody - BSA Free

Certificate of Analysis

To download a Certificate of Analysis, please enter a lot number in the search box below.

Product Specific Notices for MeCP2 Antibody - BSA Free

This product is for research use only and is not approved for use in humans or in clinical diagnosis. Primary Antibodies are guaranteed for 1 year from date of receipt.

Loading...
Loading...
Loading...
Loading...