Skip to main content

MeCP2 Antibody - BSA Free

Novus Biologicals, part of Bio-Techne | Catalog # NB100-56326

Novus Biologicals, part of Bio-Techne
Catalog #
Availability
Size / Price
Qty
Loading...
NB100-56326SS
NB100-56326

Key Product Details

Species Reactivity

Validated:

Human, Mouse

Predicted:

Rat (100%). Backed by our 100% Guarantee.

Applications

Validated:

Immunohistochemistry, Immunohistochemistry-Paraffin, Western Blot, Immunocytochemistry/ Immunofluorescence

Cited:

Western Blot

Label

Unconjugated

Antibody Source

Polyclonal Rabbit IgG

Format

BSA Free

Concentration

0.5 mg/ml

Product Specifications

Immunogen

This antibody was generated by immunizing rabbits with a mixture of synthetic peptides corresponding to amino acids 11-25 and 181-195 of human MeCP2.

Localization

Nucleus

Marker

Nucleus Marker

Clonality

Polyclonal

Host

Rabbit

Isotype

IgG

Scientific Data Images for MeCP2 Antibody - BSA Free

Western Blot: MeCP2 Antibody [NB100-56326]

Western Blot: MeCP2 Antibody [NB100-56326]

Western Blot: MeCP2 Antibody [NB100-56326] - Analysis of MeCP2 in HeLa cell lysate using this antibody.
Immunocytochemistry/ Immunofluorescence: MeCP2 Antibody [NB100-56326]

Immunocytochemistry/ Immunofluorescence: MeCP2 Antibody [NB100-56326]

Immunocytochemistry/Immunofluorescence: MeCP2 Antibody [NB100-56326] - This antibody was tested in A431 cells at a 1:200 dilution against Dylight 488 (Green). Alpha tubulin and nuclei were counterstained against Dylight 568 (Red) and DAPI (Blue), respectively.
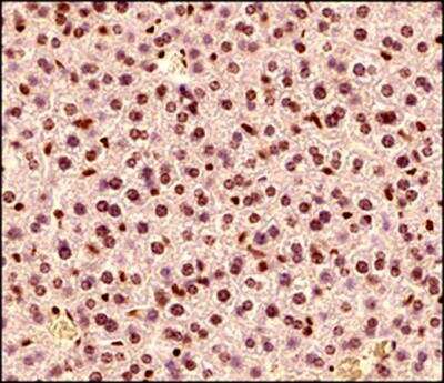
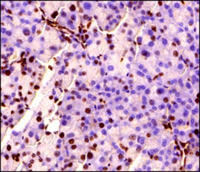
Immunohistochemistry-Paraffin: MeCP2 Antibody [NB100-56326]

Immunohistochemistry-Paraffin: MeCP2 Antibody [NB100-56326]

Immunohistochemistry-Paraffin: MeCP2 Antibody [NB100-56326] - Mouse liver tissue using this antibody at 1:500 dilution. The antibody generated a very strong/specific nuclear staining with weak to negligible cytoplasmic signal in the hepatocytes, kupffer cells, and in the endothelial cells of blood vessels.

Applications for MeCP2 Antibody - BSA Free

Application
Recommended Usage

Immunocytochemistry/ Immunofluorescence

5 ug/ml

Immunohistochemistry

1-2 ug/ml

Immunohistochemistry-Paraffin

1-2 ug/ml

Western Blot

2 ug/ml
Application Notes
In HeLa, a 53 kDa band is observed.

Formulation, Preparation, and Storage

Purification

Protein G purified

Formulation

PBS containing 0.2% gelatin

Format

BSA Free

Preservative

0.05% Sodium Azide

Concentration

0.5 mg/ml

Shipping

The product is shipped with polar packs. Upon receipt, store it immediately at the temperature recommended below.

Stability & Storage

Store at 4C short term. Aliquot and store at -20C long term. Avoid freeze-thaw cycles.

Background: MeCP2

DNA methylation, or the addition of methyl groups to cytosine bases in the dinucleotide CpG, is imperative to proper development and regulates gene expression. The methylation pattern involves the enzymatic processes of methylation and demethylation. The demethylation enzyme was recently found to be a mammalian protein, which exhibits demethylase activity associated to a methyl-CpG-binding domain (MBD). The enzyme is able to revert methylated cytosine bases to cytosines within the particular dinucleotide sequence mdCpdG by catalyzing the cleaving of the methyl group as methanol. MeCP2 and MBD1 (PCM1) are first found to repress transcription by binding specifically to methylated DNA. MBD2 and MBD4 (also known as MED1) were later found to colocalize with foci of heavily methylated satellite DNA and believed to mediate the biological functions of the methylation signal. Surprisingly, MBD3 does not bind methylated DNA both in vivo and in vitro. MBD1, MBD2, MBD3, and MBD4 are found to be expressed in somatic tissues, but the expression of MBD1 and MBD2 is reduced or absent in embryonic stem cells, which are known to be deficient in MeCP1 activity. MBD4 have homology to bacterial base excision repair DNA N-glycosylases/lyases. In some microsatellite unstable tumors MBD4 is mutated at an exonic polynucleotide tract.

Alternate Names

AUTSX3, DKFZp686A24160, MeCp-2 protein, mental retardation, X-linked 79, methyl CpG binding protein 2 (Rett syndrome), X-linked 16

Entrez Gene IDs

4204 (Human); 17257 (Mouse); 29386 (Rat)

Gene Symbol

MECP2

UniProt

Additional MeCP2 Products

Product Documents for MeCP2 Antibody - BSA Free

Certificate of Analysis

To download a Certificate of Analysis, please enter a lot number in the search box below.

Product Specific Notices for MeCP2 Antibody - BSA Free

This product is for research use only and is not approved for use in humans or in clinical diagnosis. Primary Antibodies are guaranteed for 1 year from date of receipt.

Loading...
Loading...
Loading...
Loading...