Skip to main content

Mcl-1 Antibody - BSA Free

Novus Biologicals, part of Bio-Techne | Catalog # NB100-56146

Catalog #
Availability
Size / Price
Qty
Loading...
NB100-56146
NB100-56146SS

Key Product Details

Species Reactivity

Validated:

Human

Cited:

Human

Applications

Validated:

Immunohistochemistry, Immunohistochemistry-Paraffin, Western Blot, Immunoprecipitation

Cited:

Western Blot, IF/IHC

Label

Unconjugated

Antibody Source

Polyclonal Rabbit IgG

Format

BSA Free

Concentration

This product is unpurified. The exact concentration of antibody is not quantifiable.

Product Specifications

Immunogen

A synthetic peptide corresponding to amino acids 121-139 (SPEEELDGYEPEPLGKRPA) of human Mcl-1 was used as immunogen, GenBank no. NP_068779.1. The immunogen sequence is 100% conserved in Mcl-1 isoform 1 (GenBank no. NP_068779.1) and isoform 2 (GenBank no. NP_877495.1).

Clonality

Polyclonal

Host

Rabbit

Isotype

IgG

Scientific Data Images for Mcl-1 Antibody - BSA Free

Western Blot: Mcl-1 Antibody [NB100-56146]

Western Blot: Mcl-1 Antibody [NB100-56146]

Western Blot: MCL1 Antibody [NB100-56146] - analysis of Mcl-1 in A) Ramos and B) ThP-1 lysate using Mcl-1 antibody at 1:2000.
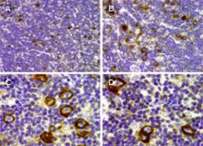
Immunohistochemistry-Paraffin: Mcl-1 Antibody [NB100-56146]

Immunohistochemistry-Paraffin: Mcl-1 Antibody [NB100-56146]

Immunohistochemistry-Paraffin: MCL1 Antibody [NB100-56146] - Formalin-fixed paraffin-embedded tissue sections of human diffuse, aggressive Non-Hodgkin's lymphoma (NHL) of B cell lineage stained for Mcl-1 expression using Mcl-1 antibody at 1:2000. A-D, Mcl-1 staining shown as varying magnifications. Hematoxylin-eosin counterstain.
Mcl-1 Antibody - BSA Free

Western Blot: Mcl-1 Antibody - BSA Free [NB100-56146] -

Nuclear translocation of TCA cycle enzymes prevents doxorubicin-mediated cellular damage.a–c Enzyme activity of IDH-2 (n = 4) (a), MDH-2 (n = 3) (b), and PDHC (n = 3) (c) in nuclei isolated from cells transduced with tetracycline-inducible NLS-IDH-2 constructs. Activity is represented as the rate in nM/min or deltaOD/min, p value* <0.05, p value**** = 0.0001, and lysates were probed for PCNA to detect equal nuclear protein amounts used for the assay. d Reduced apoptotic cell death as measured by Annexin:V:FITC staining in cells expressing nuclear TCA cycle dehydrogenases prior to doxorubicin DRN treatment. N = 3 p value* <0.05 (e) Quantification of troponin I released from cardiomyocytes as a marker of cardiac injury, minimum n = 4 p value** <0.007, p value* <0.05. f Cell death as measured by Cell Titer GloTM in cells expressing nuclear dehydrogenases prior to DRN treatment. minimum n = 4 p value*** = 0.0001, p value**** <0.0001. NLS-EGFP-2A-NLS-mCherry was used as a control for the 2 A linker system. g DNA damage as assessed by ɣ-H2AX foci formation. Scale bar 20 um. h, i qRT‒PCR showing the expression of anti-apoptotic genes BCL2 (h) and MCL1 (i). n = 3 P value ** <0.005, *<0.05. j–l Protein levels of anti-apoptotic proteins (j, k along with reduced caspase 9 cleavage (l) in cells expressing nuclear IDH-2 compared to cells treated with doxorubicin. Image collected and cropped by CiteAb from the following open publication (https://pubmed.ncbi.nlm.nih.gov/37468519), licensed under a CC-BY license. Not internally tested by Novus Biologicals.

Applications for Mcl-1 Antibody - BSA Free

Application
Recommended Usage

Immunohistochemistry-Paraffin

1:1000-1:5000

Immunoprecipitation

1:50-1:200

Western Blot

1:1000-1:2000
Application Notes
Immunoprecipitation, Western Blot, Immunohistochemistry-Paraffin IHC (frozen): Users should optimize according to model and immunodetection system used (secondary reagents)

Reviewed Applications

Read 1 review rated 5 using NB100-56146 in the following applications:

Formulation, Preparation, and Storage

Purification

Unpurified

Formulation

Whole antisera

Format

BSA Free

Preservative

0.02% Sodium Azide

Concentration

This product is unpurified. The exact concentration of antibody is not quantifiable.

Shipping

The product is shipped with polar packs. Upon receipt, store it immediately at the temperature recommended below.

Stability & Storage

Store at 4C short term. Aliquot and store at -20C long term. Avoid freeze-thaw cycles.

Background: Mcl-1

The Bcl-2 family of apoptosis-related genes plays central roles in regulating apoptotic pathways (reviewed in Thomadaki and Scorilas, 2006). Regulation of cell death through apoptosis is critical for the maintenance of homeostasis, defense against infectious agents, and normal development. Bcl-2 family proteins regulate apoptosis primarily through the regulation of mitochondrial outer membrane permeability. In mammals, the family consists of both prosurvival (antiapoptotic) and proapoptotic (prodeath) members. Cellular homeostasis is thought to be dependent on a balance between the actions of prosurvival and proapoptotic proteins. Bcl-2 family proteins can be divided into 3 main subfamilies on the basis of their function and the content of their Bcl-2 homology (BH) domains, for example: 1) Prosurvival: Bcl-2, Bcl-XL, Bcl-W, A1, and Mcl-1 2) Proapoptotic (multidomain): Bax, Bak, and Bok. 3) BH3-only (proapoptotic): Bad, Bcl-XS, Bid, Bik, Bim, Blk, Bmf, Bnip, Noxa, and Puma. Prosurvival members inhibit cells from undergoing apoptosis, whereas proapoptotic and BH3-only subfamily members promote apoptosis. There are 4 BH domains (1-4) conserved among Bcl-2 family proteins. The BH domains are important for function as well as for heterodimerization between family members. Typical prosurvival family members have all four BH domains (1-4), whereas proapoptotic (multidomain) members have BH1, 2 and 3 domains and BH3-only members have only the BH3 domain. Overall, the relative ratio of prosurvival and proapoptotic proteins determines the suseptibility of a cell to various apoptotic stimuli. Many Bcl-2 family proteins are differentially expressed in various malignancies and some are useful prognostic biomarkers. Prosurvival proteins are often elevated in diverse cancers and have the potential to confer resistance to both endogenous cell death stimuli and cancer treatments. Alterations in the ratio or levels of Bcl-2 family proteins have been also associated with nonmalignant diseases including neurodegenerative diseases, autoimmune diseases, AIDs, Down's syndrome, cardiovascular diseases, diabetes, glomerulonephritis, and muscular dystrophy. This antibody recognizes Mcl-1, isoforms 1 and 2. Human Mcl-1 isoform 1 is a 350 amino acid protein, GenBank no. NP_068779.1. Human Mcl-1 isoform 2 is 271 amino acid protein, GenBank no. NP_877495.1.

Long Name

Myeloid Cell Leukemia Sequence 1

Alternate Names

BCL2L3, Mcl1

Entrez Gene IDs

4170 (Human)

Gene Symbol

MCL1

Additional Mcl-1 Products

Product Documents for Mcl-1 Antibody - BSA Free

Certificate of Analysis

To download a Certificate of Analysis, please enter a lot number in the search box below.

Product Specific Notices for Mcl-1 Antibody - BSA Free

This product is for research use only and is not approved for use in humans or in clinical diagnosis. Primary Antibodies are guaranteed for 1 year from date of receipt.

Loading...
Loading...
Loading...
Loading...