Skip to main content

Mcl-1 Antibody (SI16-04)

Novus Biologicals, part of Bio-Techne | Catalog # NBP2-67400

Recombinant Monoclonal Antibody.
Novus Biologicals, part of Bio-Techne
Catalog #
Availability
Size / Price
Qty
Loading...
NBP2-67400

Key Product Details

Validated by

Biological Validation

Species Reactivity

Human, Mouse, Rat

Applications

Flow Cytometry, Immunocytochemistry/ Immunofluorescence, Immunohistochemistry, Immunohistochemistry-Paraffin, Immunoprecipitation, Western Blot

Label

Unconjugated

Antibody Source

Recombinant Monoclonal Rabbit IgG Clone # SI16-04 expressed in HEK293

Concentration

1 mg/ml

Product Specifications

Immunogen

Synthetic peptide within Human Mcl-1 aa 101-150 / 350. (SwissProt: Q07820 Human; SwissProt: P97287 Mouse; SwissProt: Q9Z1P3 Rat)

Localization

Membrane, Cytoplasm, Mitochondrion, Nucleus.

Clonality

Monoclonal

Host

Rabbit

Isotype

IgG

Description

Novus Biologicals Rabbit Mcl-1 Antibody (SI16-04) (NBP2-67400) is a recombinant monoclonal antibody validated for use in IHC, WB, Flow, ICC/IF and IP. All Novus Biologicals antibodies are covered by our 100% guarantee.

Scientific Data Images for Mcl-1 Antibody (SI16-04)

Western Blot: Mcl-1 Antibody (SI16-04) [NBP2-67400]

Western Blot: Mcl-1 Antibody (SI16-04) [NBP2-67400]

Western Blot: Mcl-1 Antibody (SI16-04) [NBP2-67400] - Western blot analysis of Mcl-1 on different lysates. Proteins were transferred to a PVDF membrane and blocked with 5% BSA in PBS for 1 hour at room temperature. The primary antibody (1/500) was used in 5% BSA at room temperature for 2 hours. Goat Anti-Rab
Immunocytochemistry/ Immunofluorescence: Mcl-1 Antibody (SI16-04) [NBP2-67400]

Immunocytochemistry/ Immunofluorescence: Mcl-1 Antibody (SI16-04) [NBP2-67400]

Immunocytochemistry/Immunofluorescence: Mcl-1 Antibody (SI16-04) [NBP2-67400] - Staining MCL1 in BT-20 cells (green). The nuclear counter stain is DAPI (blue). Cells were fixed in paraformaldehyde, permeabilised with 0.25% Triton X100/PBS.
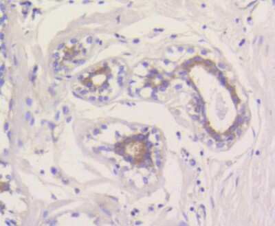
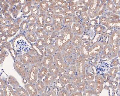
Immunohistochemistry-Paraffin: Mcl-1 Antibody (SI16-04) [NBP2-67400]

Immunohistochemistry-Paraffin: Mcl-1 Antibody (SI16-04) [NBP2-67400]

Immunohistochemistry-Paraffin: Mcl-1 Antibody (SI16-04) [NBP2-67400] - Immunohistochemical analysis of paraffin-embedded mouse kidney tissue using anti-Mcl-1 antibody. The section was pre-treated using heat mediated antigen retrieval with Tris-EDTA buffer (pH 8.0-8.4) for 20 minutes. The tissues were blocked in 5% BSA for 30 minutes at room temperature, washed with ddH2O and PBS, and then probed with the primary antibody (ET1606-14, 1/50) for 30 minutes at room temperature. The detection was performed using an HRP conjugated compact polymer system. DAB was used as the chromogen. Tissues were counterstained with hematoxylin and mounted with DPX.

Applications for Mcl-1 Antibody (SI16-04)

Application
Recommended Usage

Flow Cytometry

1:50-1:100

Immunocytochemistry/ Immunofluorescence

1:50-1:200

Immunohistochemistry-Paraffin

1:50-1:200

Western Blot

1:500-1:1000

Formulation, Preparation, and Storage

Purification

Protein A purified

Formulation

TBS (pH7.4), 0.05% BSA, 40% Glycerol

Preservative

0.05% Sodium Azide

Concentration

1 mg/ml

Shipping

The product is shipped with polar packs. Upon receipt, store it immediately at the temperature recommended below.

Stability & Storage

Store at 4C short term. Aliquot and store at -20C long term. Avoid freeze-thaw cycles.

Background: Mcl-1

Mcl-1 (Myeloid cell leukemia-1) is Bcl-2-related and was identified as an early-induction gene that increased in expression during the differentiation of human myeloblastic leukemia cell ML-1, or exposure to different DNA damaging agents. The level of Mcl-1 is decreased in peripheral B lymphocytes undergoing apoptosis following treatment with apoptotic stimuli such as TGF-alpha 1 and forskolin. Expression of Mcl-1 is able to delay apoptosis induced by over-expression of c-myc in CHO 5AHSmyc cells. In hematopoietic FDC-P1 cells, Mcl-1 interacts with another Bcl-2-related protein, Bax, and prolongs cell viability after treatment with different apoptotic reagents.This monoclonal antibody detected a 37kd MCL1 in BCBL-1 cell lysate.

Long Name

Myeloid Cell Leukemia Sequence 1

Alternate Names

BCL2L3, Mcl1

Gene Symbol

MCL1

Additional Mcl-1 Products

Product Documents for Mcl-1 Antibody (SI16-04)

Certificate of Analysis

To download a Certificate of Analysis, please enter a lot number in the search box below.

Product Specific Notices for Mcl-1 Antibody (SI16-04)

This product is for research use only and is not approved for use in humans or in clinical diagnosis. Primary Antibodies are guaranteed for 1 year from date of receipt.

Loading...
Loading...
Loading...
Loading...
Loading...