Skip to main content

MCC Antibody - BSA Free

Novus Biologicals, part of Bio-Techne | Catalog # NBP1-85885

Novus Biologicals, part of Bio-Techne
Catalog #
Availability
Size / Price
Qty
Loading...
NBP1-85885
NBP1-85885-25ul

Key Product Details

Validated by

Independent Antibodies

Species Reactivity

Human, Mouse, Rat

Applications

Immunohistochemistry, Immunohistochemistry-Paraffin, Western Blot

Label

Unconjugated

Antibody Source

Polyclonal Rabbit IgG

Format

BSA Free

Concentration

Concentrations vary lot to lot. See vial label for concentration. If unlisted please contact technical services.

Product Specifications

Immunogen

This antibody was developed against Recombinant Protein corresponding to amino acids: ALASLKGDIVELNKRLQQTERERDLLEKKLAKAQCEQSHLMREHEDVQERTTLRYEERITELHSVIAELNKKIDRLQGTTIREEDEYSELRSEL

Clonality

Polyclonal

Host

Rabbit

Isotype

IgG

Description

Novus Biologicals Rabbit MCC Antibody - BSA Free (NBP1-85885) is a polyclonal antibody validated for use in IHC and WB. All Novus Biologicals antibodies are covered by our 100% guarantee.

Scientific Data Images for MCC Antibody - BSA Free

Immunohistochemistry-Paraffin: MCC Antibody [NBP1-85885]

Immunohistochemistry-Paraffin: MCC Antibody [NBP1-85885]

Immunohistochemistry-Paraffin: MCC Antibody [NBP1-85885] - Staining of human ovary shows moderate cytoplasmic positivity in ovarian stroma cells.
MCC Antibody - BSA Free Western Blot: MCC Antibody - BSA Free [NBP1-85885]

Western Blot: MCC Antibody - BSA Free [NBP1-85885]

Analysis in mouse cell line NIH-3T3 and rat cell line NBT-II.
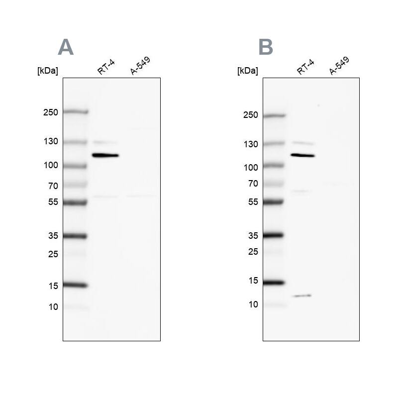
MCC Antibody - BSA Free Western Blot: MCC Antibody - BSA Free [NBP1-85885]

Western Blot: MCC Antibody - BSA Free [NBP1-85885]

Analysis using Anti-MCC antibody NBP1-85885 (A) shows similar pattern to independent antibody NBP2-48671 (B).

Applications for MCC Antibody - BSA Free

Application
Recommended Usage

Immunohistochemistry

1:200 - 1:500

Immunohistochemistry-Paraffin

1:200 - 1:500

Western Blot

0.04-0.4 ug/ml
Application Notes
For IHC-Paraffin, HIER pH 6 retrieval is recommended.

Formulation, Preparation, and Storage

Purification

Affinity purified

Formulation

PBS (pH 7.2) and 40% Glycerol

Format

BSA Free

Preservative

0.02% Sodium Azide

Concentration

Concentrations vary lot to lot. See vial label for concentration. If unlisted please contact technical services.

Shipping

The product is shipped with polar packs. Upon receipt, store it immediately at the temperature recommended below.

Stability & Storage

Store at 4C short term. Aliquot and store at -20C long term. Avoid freeze-thaw cycles.

Background: MCC

MCC is a candidate colorectal tumor suppressor gene that is thought to negatively regulate cell cycle progression. The orthologous gene in the mouse expresses a phosphoprotein associated with the plasma membrane and membrane organelles, and overexpression of the mouse protein inhibits entry into S phase. Multiple transcript variants encoding different isoforms have been found for this gene.

Alternate Names

colorectal mutant cancer protein, DKFZp762O1615, FLJ38893, FLJ46755, MCC1, mutated in colorectal cancers, Protein MCC

Gene Symbol

MCC

Additional MCC Products

Product Documents for MCC Antibody - BSA Free

Certificate of Analysis

To download a Certificate of Analysis, please enter a lot number in the search box below.

Product Specific Notices for MCC Antibody - BSA Free

This product is for research use only and is not approved for use in humans or in clinical diagnosis. Primary Antibodies are guaranteed for 1 year from date of receipt.

Loading...
Loading...
Loading...
Loading...