Skip to main content

MBP Antibody (CL2829) - BSA Free

Novus Biologicals, part of Bio-Techne | Catalog # NBP2-46632

Novus Biologicals, part of Bio-Techne
Catalog #
Availability
Size / Price
Qty
Loading...
NBP2-46632-25ul
NBP2-46632

Key Product Details

Validated by

Orthogonal Validation

Species Reactivity

Validated:

Human, Mouse, Rat

Cited:

Human

Applications

Validated:

Immunohistochemistry, Immunohistochemistry-Paraffin, Western Blot, ELISA

Cited:

ELISA

Label

Unconjugated

Antibody Source

Monoclonal Mouse IgG1 Clone # CL2829

Format

BSA Free

Concentration

1 mg/ml

Product Specifications

Immunogen

This antibody was developed using a recombinant protein derived from P02686, with the exact immunogen sequence remaining proprietary.

Reactivity Notes

Please note that this antibody is reactive to Mouse and derived from the same host, Mouse. Mouse-On-Mouse blocking reagent may be needed for IHC and ICC experiments to reduce high background signal. You can find these reagents under catalog numbers PK-2200-NB and MP-2400-NB. Please contact Technical Support if you have any questions

Clonality

Monoclonal

Host

Mouse

Isotype

IgG1

Scientific Data Images for MBP Antibody (CL2829) - BSA Free

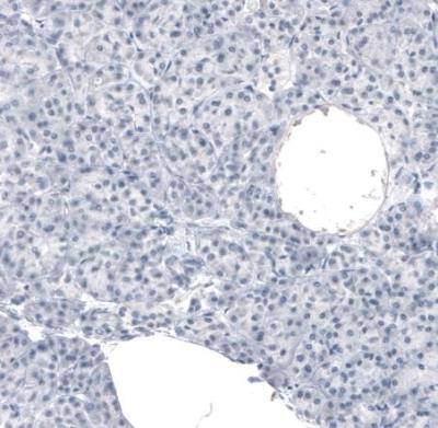
Immunohistochemistry-Paraffin: MBP Antibody (CL2829) [NBP2-46632]

Immunohistochemistry-Paraffin: MBP Antibody (CL2829) [NBP2-46632]

Immunohistochemistry-Paraffin: MBP Antibody (CL2829) [NBP2-46632] - Analysis in human cerebral cortex and liver tissues using NBP2-46632 antibody. Corresponding MBP RNA-seq data are presented for the same tissues.
Western Blot: MBP Antibody (CL2829) [NBP2-46632]

Western Blot: MBP Antibody (CL2829) [NBP2-46632]

Western Blot: MBP Antibody (2829) [NBP2-46632] - Lane 1: Marker [kDa] 250, 130, 100, 70, 55, 35, 25, 15, 10. Lane 2: Mouse Cerebral Cortex tissue
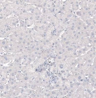
Immunohistochemistry-Paraffin: MBP Antibody (CL2829) [NBP2-46632]

Immunohistochemistry-Paraffin: MBP Antibody (CL2829) [NBP2-46632]

Immunohistochemistry-Paraffin: MBP Antibody (CL2829) [NBP2-46632] - Staining of human liver shows no positivity in hepatocytes as expected.

Applications for MBP Antibody (CL2829) - BSA Free

Application
Recommended Usage

ELISA

Reported in scientific literature (PMID 29310668)

Immunohistochemistry

1:5000 - 1:10000

Immunohistochemistry-Paraffin

1:5000 - 1:10000

Western Blot

1 ug/ml
Application Notes
For IHC-Paraffin, HIER pH 6 retrieval is recommended.

Formulation, Preparation, and Storage

Purification

Protein A purified

Formulation

PBS (pH 7.2) and 40% Glycerol

Format

BSA Free

Preservative

0.02% Sodium Azide

Concentration

1 mg/ml

Shipping

The product is shipped with polar packs. Upon receipt, store it immediately at the temperature recommended below.

Stability & Storage

Store at 4C short term. Aliquot and store at -20C long term. Avoid freeze-thaw cycles.

Background: MBP

Myelin Basic Protein (MBP) functions in the nervous system in myelination and is expressed in oligodendrocytes following differentiation. There are numerous isoforms generated by differential splicing events and post-translational modifications that have specialized functions. These functions include participation in signaling pathways prior to myelination, myelination or the re-myelination process following neural injury.

Long Name

Myelin Basic Protein

Alternate Names

Hmbpr, mld, shi

Gene Symbol

MBP

Additional MBP Products

Product Documents for MBP Antibody (CL2829) - BSA Free

Certificate of Analysis

To download a Certificate of Analysis, please enter a lot number in the search box below.

Product Specific Notices for MBP Antibody (CL2829) - BSA Free

This product is for research use only and is not approved for use in humans or in clinical diagnosis. Primary Antibodies are guaranteed for 1 year from date of receipt.

Loading...
Loading...
Loading...
Loading...