MBP-1 Antibody - BSA Free
Novus Biologicals, part of Bio-Techne | Catalog # NBP1-88573
Key Product Details
Species Reactivity
Human
Applications
Immunohistochemistry, Immunohistochemistry-Paraffin, Western Blot
Label
Unconjugated
Antibody Source
Polyclonal Rabbit IgG
Format
BSA Free
Concentration
Concentrations vary lot to lot. See vial label for concentration. If unlisted please contact technical services.
Product Specifications
Immunogen
This antibody was developed against Recombinant Protein corresponding to amino acids: GSGSEDASKKDGAVESISVPDMVDKNLTCPEEEDTVKVVGIPGCQTCRYLLVRSLQTFSQAWFTCRRC
Clonality
Polyclonal
Host
Rabbit
Isotype
IgG
Description
Novus Biologicals Rabbit MBP-1 Antibody - BSA Free (NBP1-88573) is a polyclonal antibody validated for use in IHC and WB. Anti-MBP-1 Antibody: Cited in 1 publication. All Novus Biologicals antibodies are covered by our 100% guarantee.
Scientific Data Images for MBP-1 Antibody - BSA Free
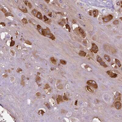
Immunohistochemistry-Paraffin: MBP-1 Antibody [NBP1-88573]
Immunohistochemistry-Paraffin: PRG2 Antibody [NBP1-88573] - Staining of human skeletal muscle shows no cytoplasmic positivity as expected.Immunohistochemistry-Paraffin: MBP-1 Antibody [NBP1-88573]
Immunohistochemistry-Paraffin: PRG2 Antibody [NBP1-88573] - Staining of human placenta shows moderate to strong cytoplasmic positivity in extra villous trophoblast.Western Blot: MBP-1 Antibody - BSA Free [NBP1-88573]
Analysis in control (vector only transfected HEK293T lysate) and pRG2 over-expression lysate (Co-expressed with a C-terminal myc-DDK tag (~3.1 kDa) in mammalian HEK293T cells).Applications for MBP-1 Antibody - BSA Free
Application
Recommended Usage
Immunohistochemistry
1:500 - 1:1000
Immunohistochemistry-Paraffin
1:500 - 1:1000
Western Blot
0.04-0.4 ug/ml
Application Notes
For IHC-Paraffin, HIER pH 6 retrieval is recommended.
Formulation, Preparation, and Storage
Purification
Immunogen affinity purified
Formulation
PBS (pH 7.2) and 40% Glycerol
Format
BSA Free
Preservative
0.02% Sodium Azide
Concentration
Concentrations vary lot to lot. See vial label for concentration. If unlisted please contact technical services.
Shipping
The product is shipped with polar packs. Upon receipt, store it immediately at the temperature recommended below.
Stability & Storage
Store at 4C short term. Aliquot and store at -20C long term. Avoid freeze-thaw cycles.
Background: MBP-1
Long Name
Major basic protein
Alternate Names
BMPG, EMBP, PRG2
Entrez Gene IDs
5553 (Human)
Gene Symbol
PRG2
UniProt
Additional MBP-1 Products
Product Documents for MBP-1 Antibody - BSA Free
Product Specific Notices for MBP-1 Antibody - BSA Free
This product is for research use only and is not approved for use in humans or in clinical diagnosis. Primary Antibodies are guaranteed for 1 year from date of receipt.
Loading...
Loading...
Loading...
Loading...