Skip to main content

MBP-1 Antibody (HL2547) - Azide and BSA Free

Novus Biologicals, part of Bio-Techne | Catalog # NBP3-25614

Recombinant Monoclonal Antibody
Novus Biologicals, part of Bio-Techne
Catalog #
Availability
Size / Price
Qty
Loading...
NBP3-25614

Key Product Details

Validated by

Biological Validation

Species Reactivity

Human, Mouse

Applications

Immunohistochemistry, Immunohistochemistry-Paraffin, Western Blot, Immunocytochemistry/ Immunofluorescence

Label

Unconjugated

Antibody Source

Recombinant Monoclonal Rabbit IgG Clone # HL2547 expressed in HEK293

Format

Azide and BSA Free

Concentration

Concentrations vary lot to lot. See vial label for concentration. If unlisted please contact technical services.

Product Specifications

Immunogen

Recombinant fragment of human MBP-1

Clonality

Monoclonal

Host

Rabbit

Isotype

IgG

Description

Novus Biologicals Rabbit MBP-1 Antibody (HL2547) - Azide and BSA Free (NBP3-25614) is a recombinant monoclonal antibody validated for use in IHC and WB. All Novus Biologicals antibodies are covered by our 100% guarantee.

Scientific Data Images for MBP-1 Antibody (HL2547) - Azide and BSA Free

MBP-1 Antibody (HL2547) - Azide and BSA Free

Western Blot: MBP-1 Antibody (HL2547) - Azide and BSA Free [NBP3-25614] -

Western Blot: MBP-1 Antibody (HL2547) - Azide and BSA Free [NBP3-25614] - Untreated (-) and treated (+) HL-60 whole cell extracts (30 ug) were separated by 12% SDS-PAGE, and the membrane was blotted with PRG2 antibody [HL2547] (NBP3-25614) diluted at 1:4500. The HRP-conjugated anti-rabbit IgG antibody was used to detect the primary antibody.
MBP-1 Antibody (HL2547) - Azide and BSA Free

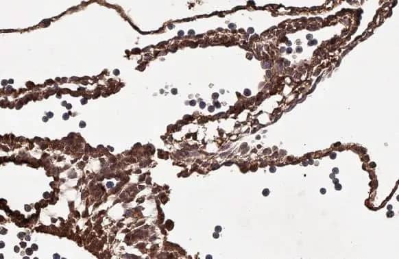
Immunohistochemistry-Paraffin: MBP-1 Antibody (HL2547) - Azide and BSA Free [NBP3-25614] -

Immunohistochemistry-Paraffin: MBP-1 Antibody (HL2547) - Azide and BSA Free [NBP3-25614] - PRG2 antibody [HL2547] detects secreted PRG2 protein by immunohistochemical analysis. Sample: Paraffin-embedded mouse placenta. PRG2 stained by PRG2 antibody [HL2547] (NBP3-25614) diluted at 1:100. Antigen Retrieval: Citrate buffer, pH 6.0, 15 min
MBP-1 Antibody (HL2547) - Azide and BSA Free

MBP-1 Antibody (HL2547) - Azide and BSA Free [NBP3-25614] -

HL-60 cells were fixed in ice-cold MeOH for 5 min.Green: PRG2 stained by PRG2 antibody [HL2547] diluted at 1:500.Blue: Fluoroshield with DAPI.

Applications for MBP-1 Antibody (HL2547) - Azide and BSA Free

Application
Recommended Usage

Immunocytochemistry/ Immunofluorescence

Assay dependent

Immunohistochemistry

Assay dependent

Immunohistochemistry-Paraffin

Assay dependent

Western Blot

1:1000-1:10000

Formulation, Preparation, and Storage

Purification

Protein A purified

Formulation

PBS

Format

Azide and BSA Free

Preservative

No Preservative

Concentration

Concentrations vary lot to lot. See vial label for concentration. If unlisted please contact technical services.

Shipping

The product is shipped with polar packs. Upon receipt, store it immediately at the temperature recommended below.

Stability & Storage

Store at 4C short term. Aliquot and store at -20C long term. Avoid freeze-thaw cycles.

Background: MBP-1

PRG2, also known as Bone marrow proteoglycan, is a 222 amino acid protein that is 25 kDa, found in high levels of the proform in placenta and pregnancy serum, may be involved in antiparasitic defense mechanisms as a cytotoxin and helminthotoxin, and in immune hypersensitivity reactions; is directly implicated in epithelial cell damage, exfoliation, and bronchospasm in allergic diseases; and the proform acts as a proteinase inhibitor, reducing the activity of PAPPA. Disease research is currently being studied in relation to PRG2 and malignant peripheral nerve sheath tumor, epithelioid malignant peripheral nerve sheath tumor, ocular cicatricial pemphigoid, cicatricial pemphigoid, giant papillary conjunctivitis, vernal keratoconjunctivitis, corneal ulcer, allergic rhinitis, eosinophilic gastroenteritis, papillary conjunctivitis, hypereosinophilic syndrome, eosinophilia, pulmonary eosinophilia,connective tissue disease, kimura disease, rhinitis, retinal detachment, keratoconjunctivitis, eosinophilic esophagitis, and familial eosinophilia. The protein has been shown to interact with CHD3, PAPPA, PRKCZ, AGT, CSF2, and other proteins in MAPK Signaling, Molecular Mechanisms of Cancer, PTEN Pathway, Transendothelial Migration of Leukocytes, UPA-UPAR Pathway, Selected targets of C/EBPbeta and Asthma pathways.

Long Name

Major basic protein

Alternate Names

BMPG, EMBP, PRG2

Gene Symbol

PRG2

Additional MBP-1 Products

Product Documents for MBP-1 Antibody (HL2547) - Azide and BSA Free

Certificate of Analysis

To download a Certificate of Analysis, please enter a lot number in the search box below.

Product Specific Notices for MBP-1 Antibody (HL2547) - Azide and BSA Free

This product is for research use only and is not approved for use in humans or in clinical diagnosis. Primary Antibodies are guaranteed for 1 year from date of receipt.

Loading...
Loading...
Loading...
Loading...