MAVS Antibody (PSH01-65)
Novus Biologicals, part of Bio-Techne | Catalog # NBP3-32570
            Recombinant Monoclonal Antibody
          
        Key Product Details
Species Reactivity
                  Human
                
                                                                                        Applications
                  Immunocytochemistry/ Immunofluorescence, Immunohistochemistry, Immunohistochemistry-Paraffin, Western Blot
                
                                                              Label
            Unconjugated
          
        Antibody Source
            Recombinant Monoclonal Rabbit IgG Clone # PSH01-65 expressed in HEK293
          
        Concentration
            1 mg/ml
          
        Product Specifications
Immunogen
                          Synthetic peptide within human MAVS aa 450-504 (Cytoplasmic). (Uniprot: Q7Z434)
                      
        Localization
                          Membrane, Mitochondrion, Mitochondrion outer membrane, Peroxisome
                      
        Clonality
                          Monoclonal
                      
        Host
                          Rabbit
                      
        Isotype
                          IgG
                      
        Theoretical MW
                          56.5 kDa.
Disclaimer note: The observed molecular weight of the protein may vary from the listed predicted molecular weight due to post translational modifications, post translation cleavages, relative charges, and other experimental factors.
        Disclaimer note: The observed molecular weight of the protein may vary from the listed predicted molecular weight due to post translational modifications, post translation cleavages, relative charges, and other experimental factors.
Description
                          Novus Biologicals Rabbit MAVS Antibody (PSH01-65) (NBP3-32570) is a recombinant monoclonal antibody validated for use in IHC, WB and ICC/IF. All Novus Biologicals antibodies are covered by our 100% guarantee.
                      
        Scientific Data Images for MAVS Antibody (PSH01-65)
Western Blot: MAVS Antibody (PSH01-65) [NBP3-32570]
Western Blot: MAVS Antibody (PSH01-65) [NBP3-32570] - Western blot analysis of MAVS on different lysates with Rabbit anti-MAVS antibody (NBP3-32570) at 1/1,000 dilution.Lane 1: MCF7 cell lysate
Lane 2: A431 cell lysate
Lane 3: A549 cell lysate
Lane 4: Jurkat cell lysate
Lane 5: THP-1 cell lysate
Lane 6: HepG2 cell lysate
Lysates/proteins at 20 ug/Lane.
Predicted band size: 56.5 kDa
Observed band size: 57/75 kDa
Exposure time: 1 minute 46 seconds;
4-20% SDS-PAGE gel.
Proteins were transferred to a PVDF membrane and blocked with 5% NFDM/TBST for 1 hour at room temperature. The primary antibody (NBP3-32570) at 1/1,000 dilution was used in 5% NFDM/TBST at room temperature for 2 hours. Goat Anti-Rabbit IgG - HRP Secondary Antibody at 1/100,000 dilution was used for 1 hour at room temperature.
Immunohistochemistry: MAVS Antibody (PSH01-65) [NBP3-32570]
Immunohistochemistry: MAVS Antibody (PSH01-65) [NBP3-32570] - Immunofluorescence analysis of paraffin-embedded human colon tissue labeling MAVS with Rabbit anti-MAVS antibody (NBP3-32570) at 1/200 dilution.The section was pre-treated using heat mediated antigen retrieval with Tris-EDTA buffer (pH 9.0) for 20 minutes. The tissues were blocked in 10% negative goat serum for 1 hour at room temperature, washed with PBS, and then probed with the primary antibody (NBP3-32570, green) at 1/200 dilution overnight at 4 ℃, washed with PBS. Goat Anti-Rabbit IgG H&L (iFluor™ 488) was used as the secondary antibody at 1/1,000 dilution. Nuclei were counterstained with DAPI (blue).
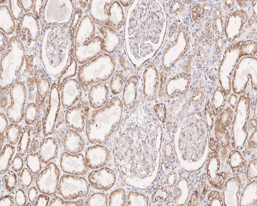
Immunohistochemistry: MAVS Antibody (PSH01-65) [NBP3-32570]
Immunohistochemistry: MAVS Antibody (PSH01-65) [NBP3-32570] - Immunohistochemical analysis of paraffin-embedded human kideny tissue with Rabbit anti-MAVS antibody (NBP3-32570) at 1/1,000 dilution.The section was pre-treated using heat mediated antigen retrieval with Tris-EDTA buffer (pH 9.0) for 20 minutes. The tissues were blocked in 1% BSA for 20 minutes at room temperature, washed with ddH2O and PBS, and then probed with the primary antibody (NBP3-32570) at 1/1,000 dilution for 1 hour at room temperature. The detection was performed using an HRP conjugated compact polymer system. DAB was used as the chromogen. Tissues were counterstained with hematoxylin and mounted with DPX.
Applications for MAVS Antibody (PSH01-65)
          Application
        
        
          Recommended Usage
        
      Immunocytochemistry/ Immunofluorescence
                                                1:100
                                                            
                  Immunohistochemistry-Paraffin
                                                1:200-1:1000
                                                            
                  Western Blot
                                                1:1000
                                                            
                  Formulation, Preparation, and Storage
Purification
                          Protein A purified
                      
        Formulation
                          PBS (pH7.4), 0.05% BSA and 40% Glycerol
                      
        Preservative
                          0.05% Sodium Azide
                      
        Concentration
                          1 mg/ml
                      
        Shipping
                          The product is shipped with polar packs. Upon receipt, store it immediately at the temperature recommended below.
                      
        Stability & Storage
                          Store at 4C short term. Aliquot and store at -20C long term. Avoid freeze-thaw cycles.
                      
        Background: MAVS
Long Name
            Mitochondrial Antiviral Signaling Protein
          
        Alternate Names
            Cardif, IPS-1, VISA
          
        Gene Symbol
            MAVS
          
        Additional MAVS Products
Product Documents for MAVS Antibody (PSH01-65)
Product Specific Notices for MAVS Antibody (PSH01-65)
This product is for research use only and is not approved for use in humans or in clinical diagnosis. Primary Antibodies are guaranteed for 1 year from date of receipt.
    Loading...
  
    Loading...
  
    Loading...
  
    Loading...
  
Loading...