Skip to main content

Matrilin-1 Antibody - BSA Free

Novus Biologicals, part of Bio-Techne | Catalog # NBP1-77350

Novus Biologicals, part of Bio-Techne

Key Product Details

Species Reactivity

Validated:

Human, Mouse, Rat

Predicted:

Chicken (92%). Backed by our 100% Guarantee.

Applications

Immunohistochemistry, Immunohistochemistry-Paraffin, Western Blot, ELISA, Immunocytochemistry/ Immunofluorescence

Label

Unconjugated

Antibody Source

Polyclonal Rabbit IgG

Format

BSA Free

Concentration

1 mg/ml

Product Specifications

Immunogen

Antibody was raised against a 13 amino acid synthetic peptide from near the carboxy terminus of human MATN1. The immunogen is located within amino acids 370 - 420 of MATN1. Amino Acid Squence: DYINDAAKKAKDL

Clonality

Polyclonal

Host

Rabbit

Isotype

IgG

Theoretical MW

54 kDa.
Disclaimer note: The observed molecular weight of the protein may vary from the listed predicted molecular weight due to post translational modifications, post translation cleavages, relative charges, and other experimental factors.

Scientific Data Images for Matrilin-1 Antibody - BSA Free

Western Blot: Matrilin-1 AntibodyBSA Free [NBP1-77350]

Western Blot: Matrilin-1 AntibodyBSA Free [NBP1-77350]

Western Blot: Matrilin-1 Antibody [NBP1-77350] - Rat liver tissue lysate with MATN1 antibody at (A) 1 and (B) 2 ug/mL.
Matrilin-1 Antibody - BSA Free

Immunocytochemistry/ Immunofluorescence: Matrilin-1 Antibody - BSA Free [NBP1-77350] -

Immunocytochemistry/ Immunofluorescence: Matrilin-1 Antibody - BSA Free [NBP1-77350] - Immunofluorescence of Matrilin-1 in Human Liver cells with Matrilin-1 antibody at 20 u/mL.
Matrilin-1 Antibody - BSA Free

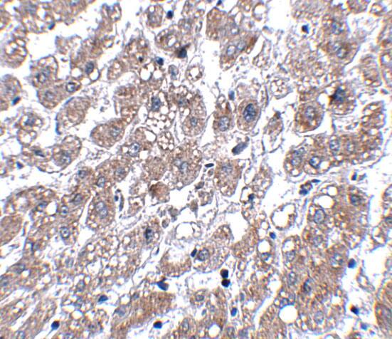
Immunohistochemistry: Matrilin-1 Antibody - BSA Free [NBP1-77350] -

Immunohistochemistry: Matrilin-1 Antibody - BSA Free [NBP1-77350] - Immunohistochemistry of Matrilin-1 in human liver tissue with Matrilin-1 antibody at 5 ug/mL.

Applications for Matrilin-1 Antibody - BSA Free

Application
Recommended Usage

ELISA

1:100-1:2000

Immunocytochemistry/ Immunofluorescence

20 ug/mL

Immunohistochemistry

5 ug/ml

Immunohistochemistry-Paraffin

5 ug/ml

Western Blot

1-2 ug/ml

Formulation, Preparation, and Storage

Purification

Peptide affinity purified

Formulation

PBS

Format

BSA Free

Preservative

0.02% Sodium Azide

Concentration

1 mg/ml

Shipping

The product is shipped with polar packs. Upon receipt, store it immediately at the temperature recommended below.

Stability & Storage

Store at 4C.

Background: Matrilin-1

Matrilins (MATNs) are a family of non-collagenous extra-cellular matrix (ECM) proteins consisting of four known members that have been proposed to play key roles in modulating cellular phenotypes during chondrogenesis of mesenchymal stem cells (MSCs). MATN1 and MATN3 are expressed specifically in cartilage and are among the most up-regulated ECM proteins during chondrogenesis. MATN1 is composed of two Willebrand Factor A (vWFA) domains separated by one EGF-like domain, whereas MATN3 is composed of a single N-terminal vWFA domain followed by four epidermal growth factor (EGF) repeats and a coiled-coil domain. MATN1 or MATN3 may play a role in modulating chondrogenesis during the chondrocyte differentiation process. Mutations of this gene have been associated with variety of inherited chondrodysplasias. Recent studies show that the MATN1 promoter region was associated with both susceptibility and disease progression in Adolescent idiopathic scoliosis.

Alternate Names

CMP, CRTM, MATN1, Matrilin1

Entrez Gene IDs

4146 (Human); 17180 (Mouse); 297894 (Rat)

Gene Symbol

MATN1

UniProt

Additional Matrilin-1 Products

Product Documents for Matrilin-1 Antibody - BSA Free

Certificate of Analysis

To download a Certificate of Analysis, please enter a lot number in the search box below.

Product Specific Notices for Matrilin-1 Antibody - BSA Free

This product is for research use only and is not approved for use in humans or in clinical diagnosis. Primary Antibodies are guaranteed for 1 year from date of receipt.

Loading...
Loading...
Loading...
Loading...