Skip to main content

MAP3K12 binding inhibitory protein 1 Antibody - BSA Free

Novus Biologicals, part of Bio-Techne | Catalog # NBP1-85805

Novus Biologicals, part of Bio-Techne
Catalog #
Availability
Size / Price
Qty
Loading...
NBP1-85805
NBP1-85805-25ul

Key Product Details

Species Reactivity

Validated:

Human

Predicted:

Mouse (96%), Rat (95%). Backed by our 100% Guarantee.

Applications

Immunocytochemistry/ Immunofluorescence, Immunohistochemistry, Immunohistochemistry-Paraffin

Label

Unconjugated

Antibody Source

Polyclonal Rabbit IgG

Format

BSA Free

Concentration

Concentrations vary lot to lot. See vial label for concentration. If unlisted please contact technical services.

Product Specifications

Immunogen

This antibody was developed against Recombinant Protein corresponding to amino acids: DCNQENSCARTDAIFTPYPGFKSHVKVSRVVNTYGPQTRPEGIPGSGHKPNSMLRDCGNQAVEERLQNIEAHLRLQTGGPVPRDIYQRIKKLEDKILELEGISPEYFQSVSFSGKRRKVQPPQQNY

Localization

nucleoli & cytoplasm

Clonality

Polyclonal

Host

Rabbit

Isotype

IgG

Description

Novus Biologicals Rabbit MAP3K12 binding inhibitory protein 1 Antibody - BSA Free (NBP1-85805) is a polyclonal antibody validated for use in IHC and ICC/IF. All Novus Biologicals antibodies are covered by our 100% guarantee.

Scientific Data Images for MAP3K12 binding inhibitory protein 1 Antibody - BSA Free

Immunocytochemistry/ Immunofluorescence: MAP3K12 binding inhibitory protein 1 Antibody [NBP1-85805]

Immunocytochemistry/ Immunofluorescence: MAP3K12 binding inhibitory protein 1 Antibody [NBP1-85805]

Immunocytochemistry/Immunofluorescence: MAP3K12 binding inhibitory protein 1 Antibody [NBP1-85805] - Immunofluorescent staining of human cell line U-251 MG shows localization to nucleus, nucleoli & cytosol. Antibody staining is shown in green.
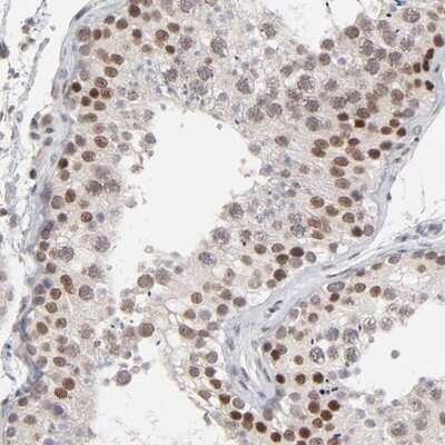
Immunohistochemistry-Paraffin: MAP3K12 binding inhibitory protein 1 Antibody [NBP1-85805]

Immunohistochemistry-Paraffin: MAP3K12 binding inhibitory protein 1 Antibody [NBP1-85805]

Immunohistochemistry-Paraffin: MAP3K12 binding inhibitory protein 1 Antibody [NBP1-85805] - Staining of human testis shows strong nuclear positivity in cells in seminiferus ducts.

Applications for MAP3K12 binding inhibitory protein 1 Antibody - BSA Free

Application
Recommended Usage

Immunocytochemistry/ Immunofluorescence

0.25-2 ug/ml

Immunohistochemistry

1:50 - 1:200

Immunohistochemistry-Paraffin

1:50 - 1:200
Application Notes
For IHC-Paraffin, HIER pH 6 retrieval is recommended. ICC/IF Fixation Permeabilization: Use PFA/Triton X-100.

Formulation, Preparation, and Storage

Purification

Immunogen affinity purified

Formulation

PBS (pH 7.2) and 40% Glycerol

Format

BSA Free

Preservative

0.02% Sodium Azide

Concentration

Concentrations vary lot to lot. See vial label for concentration. If unlisted please contact technical services.

Shipping

The product is shipped with polar packs. Upon receipt, store it immediately at the temperature recommended below.

Stability & Storage

Store at 4C short term. Aliquot and store at -20C long term. Avoid freeze-thaw cycles.

Background: MAP3K12 binding inhibitory protein 1

MAP3K12 binding inhibitory protein 1 inhibits the MAP3K12 activity to induce the activation of the JNK/SAPK pathway. Component of the ATAC complex, a complex with histone acetyltransferase activity on histones H3 and H4

Alternate Names

MAP3K12 binding inhibitory protein 1, MAP3K12-binding inhibitory protein 1, MAPK upstream kinase-binding inhibitory protein, MUK-binding inhibitory protein

Entrez Gene IDs

51562 (Human)

Gene Symbol

MBIP

UniProt

Additional MAP3K12 binding inhibitory protein 1 Products

Product Documents for MAP3K12 binding inhibitory protein 1 Antibody - BSA Free

Certificate of Analysis

To download a Certificate of Analysis, please enter a lot number in the search box below.

Product Specific Notices for MAP3K12 binding inhibitory protein 1 Antibody - BSA Free

This product is for research use only and is not approved for use in humans or in clinical diagnosis. Primary Antibodies are guaranteed for 1 year from date of receipt.

Loading...
Loading...
Loading...
Loading...