Skip to main content

Mannose Phosphate Isomerase Antibody - BSA Free

Novus Biologicals, part of Bio-Techne | Catalog # NBP1-31460

Novus Biologicals, part of Bio-Techne
Catalog #
Availability
Size / Price
Qty
Loading...
NBP1-31460

Key Product Details

Validated by

Knockout/Knockdown

Species Reactivity

Validated:

Human, Rat

Predicted:

Chimpanzee (99%). Backed by our 100% Guarantee.

Applications

Knockout Validated, Immunohistochemistry, Immunohistochemistry-Paraffin, Western Blot

Label

Unconjugated

Antibody Source

Polyclonal Rabbit IgG

Format

BSA Free

Concentration

Concentrations vary lot to lot. See vial label for concentration. If unlisted please contact technical services.

Product Specifications

Immunogen

Recombinant protein encompassing a sequence within the center region of human Mannose Phosphate Isomerase. The exact sequence is proprietary.

Reactivity Notes

Immunogen displays the following percentage of sequence identity for non-tested species: Mouse (84%).

Localization

Cytoplasm

Clonality

Polyclonal

Host

Rabbit

Isotype

IgG

Theoretical MW

47 kDa.
Disclaimer note: The observed molecular weight of the protein may vary from the listed predicted molecular weight due to post translational modifications, post translation cleavages, relative charges, and other experimental factors.

Scientific Data Images for Mannose Phosphate Isomerase Antibody - BSA Free

Knockout Validated: Mannose Phosphate Isomerase Antibody [NBP1-31460]

Western Blot: Mannose Phosphate Isomerase Antibody [NBP1-31460]

Western Blot: Mannose Phosphate Isomerase Antibody [NBP1-31460] - Wild-type (WT) and MPI knockout (KO) HeLa cell extracts (30 ug) were separated by 10% SDS-PAGE, and the membrane was blotted with MPI antibody. The HRP-conjugated anti-rabbit IgG antibody was used to detect the primary antibody.
Western Blot: Mannose Phosphate Isomerase Antibody [NBP1-31460]

Western Blot: Mannose Phosphate Isomerase Antibody [NBP1-31460]

Western Blot: Mannose Phosphate Isomerase Antibody [NBP1-31460] - A. 30 ug PC-12 whole cell lysate/extract B. 30 ug Rat2 whole cell lysate/extract 10 % SDS-PAGE MPI antibody dilution: 1:1000
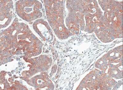
Immunohistochemistry-Paraffin: Mannose Phosphate Isomerase Antibody [NBP1-31460]

Immunohistochemistry-Paraffin: Mannose Phosphate Isomerase Antibody [NBP1-31460]

Immunohistochemistry-Paraffin: Mannose Phosphate Isomerase Antibody [NBP1-31460] - Gastric CA N87 xenograft, using MPI antibody at 1:100 dilution. Antigen Retrieval: Trilogy™ (EDTA based, pH 8.0) buffer, 15min.

Applications for Mannose Phosphate Isomerase Antibody - BSA Free

Application
Recommended Usage

Immunohistochemistry

1:100-1:1000

Immunohistochemistry-Paraffin

1:100-1:1000

Western Blot

1:500-1:3000

Formulation, Preparation, and Storage

Purification

Antigen Affinity-purified

Formulation

0.1M Tris, 0.1M Glycine, 10% Glycerol

Format

BSA Free

Preservative

0.01% Thimerosal

Concentration

Concentrations vary lot to lot. See vial label for concentration. If unlisted please contact technical services.

Shipping

The product is shipped with polar packs. Upon receipt, store it immediately at the temperature recommended below.

Stability & Storage

Aliquot and store at -20C or -80C. Avoid freeze-thaw cycles.

Background: Mannose Phosphate Isomerase

Phosphomannose isomerase catalyzes the interconversion of fructose-6-phosphate and mannose-6-phosphate and plays a critical role in maintaining the supply of D-mannose derivatives, which are required for most glycosylation reactions. Mutations in the MPI gene were found in patients with carbohydrate-deficient glycoprotein syndrome, type Ib.

Alternate Names

CDG1B, EC 5.3.1, EC 5.3.1.8, FLJ39201, mannose phosphate isomerase, mannose-6- phosphate isomerase, mannose-6-phosphate isomerase, Phosphohexomutase, Phosphomannose isomerase, phosphomannose isomerase 1, PMI, PMI1phosphohexomutase

Gene Symbol

MPI

Additional Mannose Phosphate Isomerase Products

Product Documents for Mannose Phosphate Isomerase Antibody - BSA Free

Certificate of Analysis

To download a Certificate of Analysis, please enter a lot number in the search box below.

Product Specific Notices for Mannose Phosphate Isomerase Antibody - BSA Free

This product is for research use only and is not approved for use in humans or in clinical diagnosis. Primary Antibodies are guaranteed for 1 year from date of receipt.

Loading...
Loading...
Loading...
Loading...

⚠ WARNING: This product can expose you to chemicals including mercury, which is known to the State of California to cause reproductive toxicity with developmental effects.  For more information go to www.P65Warnings.ca.gov.