Mammaglobin A Antibody (CL8892) - Azide and BSA Free
Novus Biologicals, part of Bio-Techne | Catalog # NBP3-44237
Conjugate
Catalog #
Forumulation
Catalog #
Key Product Details
Species Reactivity
Human
Applications
Immunohistochemistry-Paraffin
Label
Unconjugated
Antibody Source
Monoclonal Mouse IgG1 Clone # CL8892
Format
Azide and BSA Free
Concentration
LYOPH mg/ml
Product Specifications
Immunogen
This antibody was generated using a synthetic peptide of Q13296, with the exact immunogen sequence remaining proprietary.
Clonality
Monoclonal
Host
Mouse
Isotype
IgG1
Description
Novus Biologicals Mouse Mammaglobin A Antibody (CL8892) - Azide and BSA Free (NBP3-05504) is a monoclonal antibody validated for use in IHC. All Novus Biologicals antibodies are covered by our 100% guarantee.
Scientific Data Images for Mammaglobin A Antibody (CL8892) - Azide and BSA Free
Immunohistochemistry-Paraffin: Mammaglobin A Antibody [NBP3-44237]
Staining of human breast shows moderate positivity in secretion.Immunohistochemistry-Paraffin: Mammaglobin A Antibody [NBP3-44237]
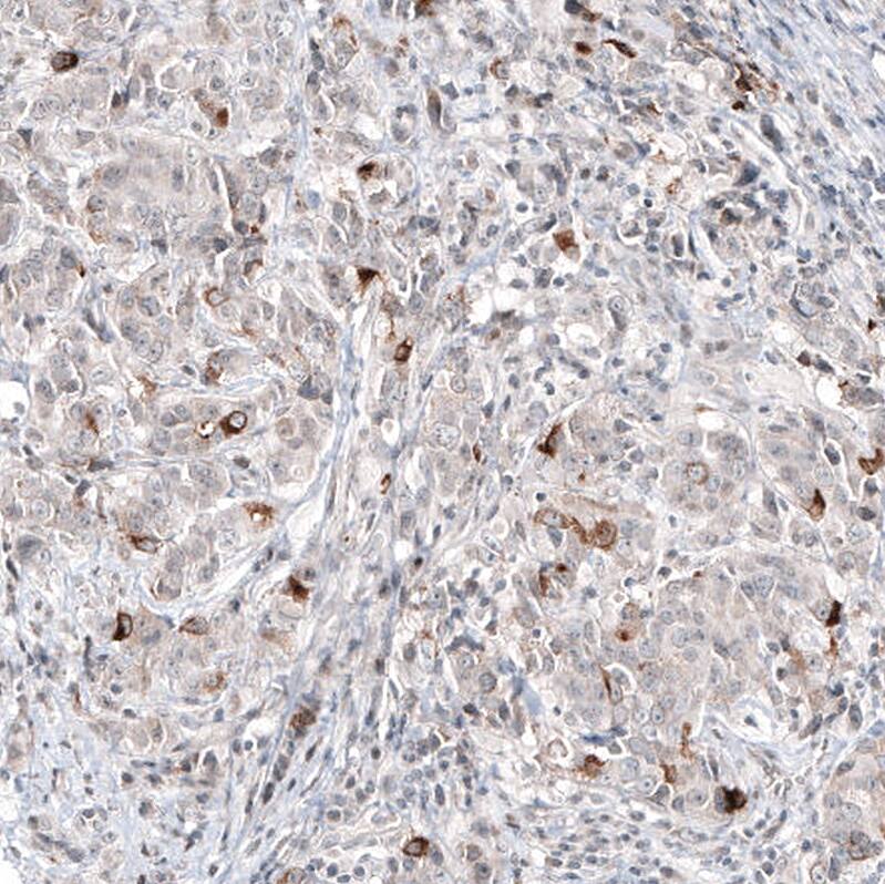
Staining of human breast cancer shows moderate to strong cytoplasmic positivity in tumor cells.Immunohistochemistry-Paraffin: Mammaglobin A Antibody [NBP3-44237]
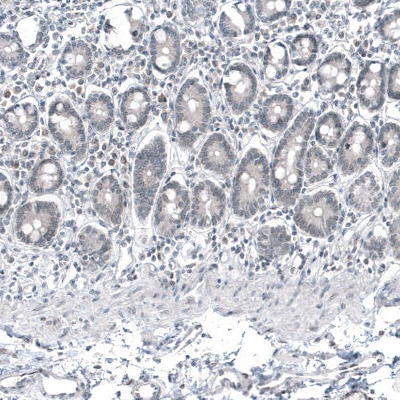
Staining of human duodenum shows no positivity in glandular cells as expected.Applications for Mammaglobin A Antibody (CL8892) - Azide and BSA Free
Application
Recommended Usage
Immunohistochemistry-Paraffin
1:200 - 1:500
Application Notes
For IHC-Paraffin, HIER pH 6 retrieval is recommended.
Formulation, Preparation, and Storage
Purification
Protein A purified
Reconstitution
Centrifuge the vial of lyophilized antibody at 12,000 x g for 20 seconds. Reconstitute by adding sterile, distilled water to achieve a final antibody concentration of 1mg/ml.
Formulation
Lyophilized from a 0.2 um filtered solution in PBS with Trehalose
Format
Azide and BSA Free
Preservative
No Preservative
Concentration
LYOPH mg/ml
Shipping
The product is shipped at ambient temperature. Upon receipt, store it immediately at the temperature recommended below.
Stability & Storage
Store at 4C short term. Aliquot and store at -20C long term. Avoid freeze-thaw cycles.
Background: Mammaglobin A
Alternate Names
mammaglobin 1, mammaglobin A, Mammaglobin-1, MGB1mammaglobin-A, MGC71974, Secretoglobin family 2A member 2, secretoglobin, family 2A, member 2, UGB2mammaglobin-1
Gene Symbol
SCGB2A2
Additional Mammaglobin A Products
Product Documents for Mammaglobin A Antibody (CL8892) - Azide and BSA Free
Product Specific Notices for Mammaglobin A Antibody (CL8892) - Azide and BSA Free
This product is for research use only and is not approved for use in humans or in clinical diagnosis. Primary Antibodies are guaranteed for 1 year from date of receipt.
Loading...
Loading...
Loading...
Loading...
Loading...