Skip to main content

MAGEA3 Antibody (OTI1G9)

Novus Biologicals, part of Bio-Techne | Catalog # NBP2-45719

Novus Biologicals, part of Bio-Techne
Catalog #
Availability
Size / Price
Qty
Loading...
NBP2-45719

Key Product Details

Species Reactivity

Human

Applications

Immunohistochemistry, Immunohistochemistry-Paraffin, Western Blot

Label

Unconjugated

Antibody Source

Monoclonal Mouse IgG2A Clone # OTI1G9

Concentration

1 mg/ml

Product Specifications

Immunogen

Full length human recombinant protein of human MAGEA3 (NP_005353) produced in HEK293T cell.

Clonality

Monoclonal

Host

Mouse

Isotype

IgG2A

Theoretical MW

34.6 kDa.
Disclaimer note: The observed molecular weight of the protein may vary from the listed predicted molecular weight due to post translational modifications, post translation cleavages, relative charges, and other experimental factors.

Description

Novus Biologicals Mouse MAGEA3 Antibody (OTI1G9) (NBP2-45719) is a monoclonal antibody validated for use in IHC and WB. All Novus Biologicals antibodies are covered by our 100% guarantee.

Scientific Data Images for MAGEA3 Antibody (OTI1G9)

Western Blot: MAGEA3 Antibody (OTI1G9) [NBP2-45719]

Western Blot: MAGEA3 Antibody (OTI1G9) [NBP2-45719]

Western Blot: MAGEA3 Antibody (1G9) [NBP2-45719] - Analysis of HEK293T cells were transfected with the pCMV6-ENTRY control (Left lane) or pCMV6-ENTRY MAGEA3.
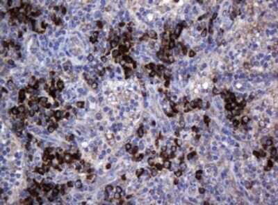
Immunohistochemistry: MAGEA3 Antibody (OTI1G9) [NBP2-45719]

Immunohistochemistry: MAGEA3 Antibody (OTI1G9) [NBP2-45719]

Immunohistochemistry: MAGEA3 Antibody (1G9) [NBP2-45719] - Analysis of Human lymph node tissue. (Heat-induced epitope retrieval by 10mM citric buffer, pH6.0, 120C for 3min)
Western Blot: MAGEA3 Antibody (OTI1G9) [NBP2-45719]

Western Blot: MAGEA3 Antibody (OTI1G9) [NBP2-45719]

Western Blot: MAGEA3 Antibody (1G9) [NBP2-45719] - Analysis of extracts (10ug) from MCF7 cell line.

Applications for MAGEA3 Antibody (OTI1G9)

Application
Recommended Usage

Immunohistochemistry

1:150

Immunohistochemistry-Paraffin

1:150

Western Blot

1:2000

Formulation, Preparation, and Storage

Purification

Immunogen affinity purified

Formulation

PBS (pH 7.3), 1.0% BSA and 50% Glycerol

Preservative

0.02% Sodium Azide

Concentration

1 mg/ml

Shipping

The product is shipped with polar packs. Upon receipt, store it immediately at the temperature recommended below.

Stability & Storage

Store at -20C. Avoid freeze-thaw cycles.

Background: MAGEA3

MAGEA3, also known as Melanoma-associated antigen 3, is a 34.7 kDa, 314 amino acid protein that is involved in increasing ubiquitin ligase activity as a member of the MAGEA family. Current research is being conducted to study the effects of the protein on diseases and disorders such as bile duct cancer, dyskeratosis, ocular melanoma, germ cell tumors, multiple types of carcinomas, avian influenza, testicular cancer, lung cancer, and lymphoma. The protein interacts with other proteins such as TRIM28, UBC, HTT, and SUMO2.

Long Name

Melanoma-Associated Antigen 3

Alternate Names

CT1.3, MAGE3

Gene Symbol

MAGEA3

Additional MAGEA3 Products

Product Documents for MAGEA3 Antibody (OTI1G9)

Certificate of Analysis

To download a Certificate of Analysis, please enter a lot number in the search box below.

Product Specific Notices for MAGEA3 Antibody (OTI1G9)

This product is for research use only and is not approved for use in humans or in clinical diagnosis. Primary Antibodies are guaranteed for 1 year from date of receipt.

Loading...
Loading...
Loading...
Loading...