Skip to main content

MafB Antibody (BLR046F)

Novus Biologicals, part of Bio-Techne | Catalog # NBP3-14673

Recombinant Monoclonal Antibody
Novus Biologicals, part of Bio-Techne
Catalog #
Availability
Size / Price
Qty
Loading...
NBP3-14673

Key Product Details

Species Reactivity

Human, Mouse

Applications

Immunohistochemistry, Immunohistochemistry-Paraffin, Western Blot, Immunocytochemistry/ Immunofluorescence, Immunoprecipitation

Label

Unconjugated

Antibody Source

Recombinant Monoclonal Rabbit Clone # BLR046F

Concentration

Please see the vial label for concentration. If unlisted please contact technical services.

Product Specifications

Immunogen

between 1 and 50

Clonality

Monoclonal

Host

Rabbit

Description

Novus Biologicals Rabbit MafB Antibody (BLR046F) (NBP3-14673) is a recombinant monoclonal antibody validated for use in IHC, WB, ICC/IF and IP. All Novus Biologicals antibodies are covered by our 100% guarantee.

Scientific Data Images for MafB Antibody (BLR046F)

Western Blot: MafB Antibody (BLR046F) [NBP3-14673]

Western Blot: MafB Antibody (BLR046F) [NBP3-14673]

Western Blot: MafB Antibody [NBP3-14673] - Antibody: Rabbit anti-MafB recombinant monoclonal antibody used at 1:1000. Secondary: HRPconjugated goat anti-rabbit IgGChemiluminescence with an exposure time of 3 minutes.Lower Panels: Rabbit anti-MafA recombinant monoclonalantibody and rabbit anti-Actinrecombinant monoclonal antibody.
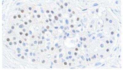
Immunohistochemistry: MafB Antibody (BLR046F) [NBP3-14673]

Immunohistochemistry: MafB Antibody (BLR046F) [NBP3-14673]

Immunohistochemistry: MafB Antibody [NBP3-14673] - Rabbit anti-MafBrecombinant monoclonal antibody. Secondary: HRP-conjugated goat anti-rabbit IgG. Substrate: DAB.
Western Blot: MafB Antibody (BLR046F) [NBP3-14673]

Western Blot: MafB Antibody (BLR046F) [NBP3-14673]

Western Blot: MafB Antibody [NBP3-14673] - Whole cell lysate (50 ug) from HeLa, HEK293T, SK-N-MC, RPMI-8226, Jurkat, KG-1, K-562, and MOLT-4 cells prepared using NETN lysis buffer. Rabbit anti-MafB recombinant monoclonal antibody [BLR046F] (NBP3-14673 lot 2) used at 1:1000. HRP-conjugated goat anti-rabbit IgG (NB7156). Chemiluminescence with an exposure time of 3 minutes. Lower Panel: Rabbit anti-COPB2.

Applications for MafB Antibody (BLR046F)

Application
Recommended Usage

Immunocytochemistry/ Immunofluorescence

1:100 to 1:500

Immunohistochemistry

1:100 to 1:500

Immunohistochemistry-Paraffin

1:100 to 1:500

Immunoprecipitation

6 ul/1 mg lysate

Western Blot

1:1000
Application Notes
Epitope retrieval with citrate buffer pH6.0 is recommended for FFPE cell sections.

Formulation, Preparation, and Storage

Purification

>95%

Formulation

Borate Buffered Saline (BBS) pH 8.2 with , BSA Free

Preservative

0.09% Sodium Azide

Concentration

Please see the vial label for concentration. If unlisted please contact technical services.

Shipping

The product is shipped with polar packs. Upon receipt, store it immediately at the temperature recommended below.

Stability & Storage

Store at 2 - 8 C / 1 year from date of receipt

Background: MafB

MAFB is encoded by this gene is a basic leucine zipper (bZIP) transcription factor that plays an important role in the regulation of lineage-specific hematopoiesis. The encoded nuclear protein represses ETS1-mediated transcription of erythroid-specific genes in myeloid cells. This gene contains no introns.

Long Name

v-maf Musculoaponeurotic Fibrosarcoma Oncogene Homolog B

Alternate Names

KRML

Gene Symbol

MAFB

Additional MafB Products

Product Documents for MafB Antibody (BLR046F)

Certificate of Analysis

To download a Certificate of Analysis, please enter a lot number in the search box below.

Product Specific Notices for MafB Antibody (BLR046F)

This product is for research use only and is not approved for use in humans or in clinical diagnosis. Primary Antibodies are guaranteed for 1 year from date of receipt.

Loading...
Loading...
Loading...
Loading...