LZTR1 Antibody - BSA Free
Novus Biologicals, part of Bio-Techne | Catalog # NBP1-77121
Conjugate
Catalog #
Key Product Details
Species Reactivity
Human, Mouse, Rat
Applications
Immunohistochemistry, Immunohistochemistry-Paraffin, Western Blot, ELISA
Label
Unconjugated
Antibody Source
Polyclonal Rabbit IgG
Format
BSA Free
Concentration
1 mg/ml
Product Specifications
Immunogen
Antibody was raised against a 14 amino acid synthetic peptide near the amino terminus of human LZTR1. The immunogen is located within amino acids 130 - 180 of LZTR1. Amino Acid Squence: NSNLKNKNDLFEYK
Clonality
Polyclonal
Host
Rabbit
Isotype
IgG
Description
Novus Biologicals Rabbit LZTR1 Antibody - BSA Free (NBP1-77121) is a polyclonal antibody validated for use in IHC, WB and ELISA. Anti-LZTR1 Antibody: Cited in 1 publication. All Novus Biologicals antibodies are covered by our 100% guarantee.
Scientific Data Images for LZTR1 Antibody - BSA Free
Western Blot: LZTR1 AntibodyBSA Free [NBP1-77121]
Western Blot: LZTR1 Antibody [NBP1-77121] - Human heart tissue lysate with LZTR1 antibody at (A) 1 and (B) 2 ug/mL.Immunohistochemistry: LZTR1 Antibody - BSA Free [NBP1-77121] -
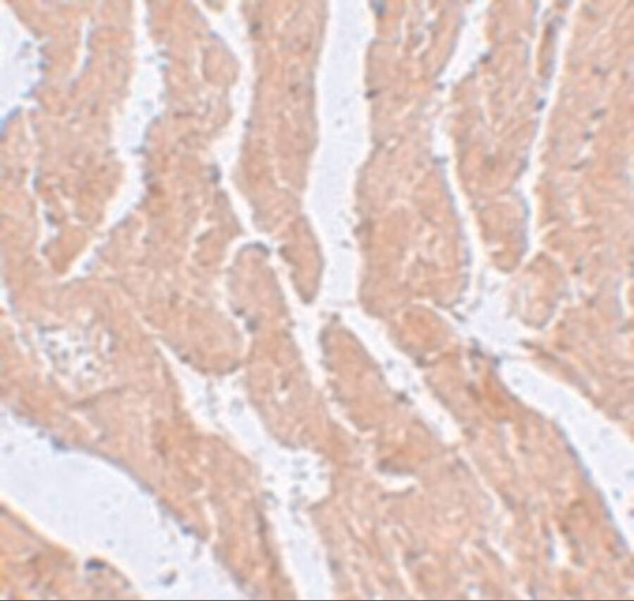
Immunohistochemistry: LZTR1 Antibody - BSA Free [NBP1-77121] - Immunohistochemistry of LZTR1 in mouse heart tissue with LZTR1 antibody at 5 ug/mL.Applications for LZTR1 Antibody - BSA Free
Application
Recommended Usage
ELISA
1:100-1:2000
Immunohistochemistry
5 ug/ml
Immunohistochemistry-Paraffin
5 ug/ml
Western Blot
1-2 ug/ml
Formulation, Preparation, and Storage
Purification
Peptide affinity purified
Formulation
PBS
Format
BSA Free
Preservative
0.02% Sodium Azide
Concentration
1 mg/ml
Shipping
The product is shipped with polar packs. Upon receipt, store it immediately at the temperature recommended below.
Stability & Storage
Store at 4C short term. Aliquot and store at -20C long term. Avoid freeze-thaw cycles.
Background: LZTR1
Alternate Names
leucine-zipper-like regulator-1, leucine-zipper-like transcription regulator 1, leucine-zipper-like transcriptional regulator 1, LZTR-1, MGC21205, TCFL2
Gene Symbol
LZTR1
UniProt
Additional LZTR1 Products
Product Documents for LZTR1 Antibody - BSA Free
Product Specific Notices for LZTR1 Antibody - BSA Free
This product is for research use only and is not approved for use in humans or in clinical diagnosis. Primary Antibodies are guaranteed for 1 year from date of receipt.
Loading...
Loading...
Loading...
Loading...