Skip to main content

LZTFL1 Antibody - BSA Free

Novus Biologicals, part of Bio-Techne | Catalog # NBP2-30690

Novus Biologicals, part of Bio-Techne
Catalog #
Availability
Size / Price
Qty
Loading...
NBP2-30690
NBP2-30690-25ul

Key Product Details

Validated by

Orthogonal Validation, Independent Antibodies

Species Reactivity

Validated:

Human

Predicted:

Mouse (97%), Rat (99%). Backed by our 100% Guarantee.

Applications

Immunohistochemistry, Immunohistochemistry-Paraffin

Label

Unconjugated

Antibody Source

Polyclonal Rabbit IgG

Format

BSA Free

Concentration

Concentrations vary lot to lot. See vial label for concentration. If unlisted please contact technical services.

Product Specifications

Immunogen

This antibody was developed against a recombinant protein corresponding to amino acids: AELGLNEHHQNEVINYMRFARSKRGLRLKTVDSCFQDLKESRLVEDTFTIDEVSEVLNGLQAVVHSEVESELIN

Clonality

Polyclonal

Host

Rabbit

Isotype

IgG

Description

Novus Biologicals Rabbit LZTFL1 Antibody - BSA Free (NBP2-30690) is a polyclonal antibody validated for use in IHC. All Novus Biologicals antibodies are covered by our 100% guarantee.

Scientific Data Images for LZTFL1 Antibody - BSA Free

Immunohistochemistry-Paraffin: LZTFL1 Antibody [NBP2-30690]

Immunohistochemistry-Paraffin: LZTFL1 Antibody [NBP2-30690]

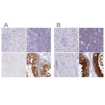
Immunohistochemistry-Paraffin: LZTFL1 Antibody [NBP2-30690] - Staining in human testis and skeletal muscle tissues using anti-LZTFL1 antibody. Corresponding LZTFL1 RNA-seq data are presented for the same tissues.
Immunohistochemistry-Paraffin: LZTFL1 Antibody [NBP2-30690]

Immunohistochemistry-Paraffin: LZTFL1 Antibody [NBP2-30690]

Immunohistochemistry-Paraffin: LZTFL1 Antibody [NBP2-30690] - Staining of human lymph node.
Immunohistochemistry-Paraffin: LZTFL1 Antibody [NBP2-30690]

Immunohistochemistry-Paraffin: LZTFL1 Antibody [NBP2-30690]

Immunohistochemistry-Paraffin: LZTFL1 Antibody [NBP2-30690] - Staining of human skeletal muscle shows low expression as expected.

Applications for LZTFL1 Antibody - BSA Free

Application
Recommended Usage

Immunohistochemistry

1:500 - 1:1000

Immunohistochemistry-Paraffin

1:500 - 1:1000
Application Notes
For IHC-Paraffin, HIER pH 6 retrieval is recommended.

Formulation, Preparation, and Storage

Purification

Immunogen affinity purified

Formulation

PBS (pH 7.2) and 40% Glycerol

Format

BSA Free

Preservative

0.02% Sodium Azide

Concentration

Concentrations vary lot to lot. See vial label for concentration. If unlisted please contact technical services.

Shipping

The product is shipped with polar packs. Upon receipt, store it immediately at the temperature recommended below.

Stability & Storage

Store at 4C short term. Aliquot and store at -20C long term. Avoid freeze-thaw cycles.

Background: LZTFL1

Alternate Names

FLJ36386, leucine zipper transcription factor-like 1, leucine zipper transcription factor-like protein 1

Gene Symbol

LZTFL1

UniProt

Additional LZTFL1 Products

Product Documents for LZTFL1 Antibody - BSA Free

Certificate of Analysis

To download a Certificate of Analysis, please enter a lot number in the search box below.

Product Specific Notices for LZTFL1 Antibody - BSA Free

This product is for research use only and is not approved for use in humans or in clinical diagnosis. Primary Antibodies are guaranteed for 1 year from date of receipt.

Loading...
Loading...
Loading...
Loading...