Skip to main content

LYPLA3 Antibody - BSA Free

Novus Biologicals, part of Bio-Techne | Catalog # NBP1-92088

Novus Biologicals, part of Bio-Techne
Catalog #
Availability
Size / Price
Qty
Loading...
NBP1-92088
NBP1-92088-25ul

Key Product Details

Validated by

Independent Antibodies

Species Reactivity

Validated:

Human

Predicted:

Mouse (91%), Rat (92%). Backed by our 100% Guarantee.

Applications

Immunohistochemistry, Immunohistochemistry-Paraffin

Label

Unconjugated

Antibody Source

Polyclonal Rabbit IgG

Format

BSA Free

Concentration

Concentrations vary lot to lot. See vial label for concentration. If unlisted please contact technical services.

Product Specifications

Immunogen

This antibody was developed against Recombinant Protein corresponding to amino acids: GVAKTLRVLASGDNNRIPVIGPLKIREQQRSAVSTSWLLPYNYTWSPEKVFVQTPTINYTLRDYRKFFQDIGFED

Clonality

Polyclonal

Host

Rabbit

Isotype

IgG

Description

Novus Biologicals Rabbit LYPLA3 Antibody - BSA Free (NBP1-92088) is a polyclonal antibody validated for use in IHC. All Novus Biologicals antibodies are covered by our 100% guarantee.

Scientific Data Images for LYPLA3 Antibody - BSA Free

Immunohistochemistry-Paraffin: LYPLA3 Antibody [NBP1-92088]

Immunohistochemistry-Paraffin: LYPLA3 Antibody [NBP1-92088]

Immunohistochemistry-Paraffin: LYPLA3 Antibody [NBP1-92088] - Staining of human colon, kidney, lymph node and placenta using Anti-PLA2G15 antibody NBP1-92088 (A) shows similar protein distribution across tissues to independent antibody NBP1-92089 (B).
Immunohistochemistry-Paraffin: LYPLA3 Antibody [NBP1-92088]

Immunohistochemistry-Paraffin: LYPLA3 Antibody [NBP1-92088]

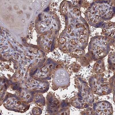
Immunohistochemistry-Paraffin: LYPLA3 Antibody [NBP1-92088] - Staining of human placenta shows moderate granular cytoplasmic positivity in trophoblastic cells.
Immunohistochemistry-Paraffin: LYPLA3 Antibody [NBP1-92088]

Immunohistochemistry-Paraffin: LYPLA3 Antibody [NBP1-92088]

Immunohistochemistry-Paraffin: LYPLA3 Antibody [NBP1-92088] - Staining of human colon strong granular cytoplasmic positivity in glandular cells.

Applications for LYPLA3 Antibody - BSA Free

Application
Recommended Usage

Immunohistochemistry

1:50 - 1:200

Immunohistochemistry-Paraffin

1:50 - 1:200
Application Notes
For IHC-Paraffin, HIER pH 6 retrieval is recommended.

Formulation, Preparation, and Storage

Purification

Immunogen affinity purified

Formulation

PBS (pH 7.2) and 40% Glycerol

Format

BSA Free

Preservative

0.02% Sodium Azide

Concentration

Concentrations vary lot to lot. See vial label for concentration. If unlisted please contact technical services.

Shipping

The product is shipped with polar packs. Upon receipt, store it immediately at the temperature recommended below.

Stability & Storage

Store at 4C short term. Aliquot and store at -20C long term. Avoid freeze-thaw cycles.

Background: LYPLA3

Lysophospholipases are enzymes that act on biological membranes to regulate the multifunctional lysophospholipids. The protein encoded by this gene hydrolyzes lysophosphatidylcholine to glycerophosphorylcholine and a free fatty acid. This enzyme is present in the plasma and thought to be associated with high-density lipoprotein. A later paper contradicts the function of this gene. It demonstrates that this gene encodes a lysosomal enzyme instead of a lysophospholipase and has both calcium-independent phospholipase A2 and transacylase activities.

Alternate Names

1-O-acylceramide synthase, ACSDKFZp564A0122, EC 2.3.1.43, GXVPLA2, LLPLLCAT-like lysophospholipase, LPLA2group XV phospholipase A2, LYPLA3EC 2.3.1.-, Lysophospholipase 3, lysophospholipase 3 (lysosomal phospholipase A2), Lysosomal phospholipase A2, phospholipase A2, group XV

Gene Symbol

PLA2G15

Additional LYPLA3 Products

Product Documents for LYPLA3 Antibody - BSA Free

Certificate of Analysis

To download a Certificate of Analysis, please enter a lot number in the search box below.

Product Specific Notices for LYPLA3 Antibody - BSA Free

This product is for research use only and is not approved for use in humans or in clinical diagnosis. Primary Antibodies are guaranteed for 1 year from date of receipt.

Loading...
Loading...
Loading...
Loading...