LSG1 Antibody - BSA Free
Novus Biologicals, part of Bio-Techne | Catalog # NBP1-83755
Key Product Details
Validated by
Independent Antibodies
Species Reactivity
Human, Mouse, Rat
Applications
Immunohistochemistry, Immunohistochemistry-Paraffin, Western Blot, Immunocytochemistry/ Immunofluorescence
Label
Unconjugated
Antibody Source
Polyclonal Rabbit IgG
Format
BSA Free
Concentration
Concentrations vary lot to lot. See vial label for concentration. If unlisted please contact technical services.
Product Specifications
Immunogen
This antibody was developed against Recombinant Protein corresponding to amino acids: SELNDGYDWGRLNLQSVTEQSSLDDFLATAELAGTEFVAEKLNIKFVPAEARTGLLSFEESQRIKKLHEENKQFLCIPRRPNWNQNTTPEE
Reactivity Notes
Reactivity reported in scientific literature (PMID: 23435261)
Clonality
Polyclonal
Host
Rabbit
Isotype
IgG
Scientific Data Images for LSG1 Antibody - BSA Free
Immunocytochemistry/ Immunofluorescence: LSG1 Antibody [NBP1-83755]
Immunocytochemistry/Immunofluorescence: LSG1 Antibody [NBP1-83755] - Staining of human cell line U-2 OS shows localization to nucleus, nuclear bodies & cytosol.Immunohistochemistry-Paraffin: LSG1 Antibody - BSA Free [NBP1-83755]
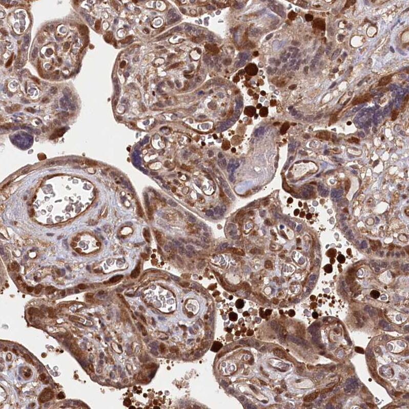
Staining of human placenta shows strong cytoplasmic and nuclear positivity in trophoblastic cells.Immunohistochemistry-Paraffin: LSG1 Antibody - BSA Free [NBP1-83755]
Staining of human lymph node shows strong cytoplasmic positivity in non-germinal center cells and germinal center cells.Applications for LSG1 Antibody - BSA Free
Application
Recommended Usage
Immunocytochemistry/ Immunofluorescence
0.25-2 ug/ml
Immunohistochemistry
1:200 - 1:500
Immunohistochemistry-Paraffin
1:200 - 1:500
Western Blot
0.04-0.4 ug/ml
Application Notes
For IHC-Paraffin, HIER pH 6 retrieval is recommended. ICC/IF Fixation Permeabilization: Use PFA/Triton X-100.
Formulation, Preparation, and Storage
Purification
Affinity purified
Formulation
PBS (pH 7.2) and 40% Glycerol
Format
BSA Free
Preservative
0.02% Sodium Azide
Concentration
Concentrations vary lot to lot. See vial label for concentration. If unlisted please contact technical services.
Shipping
The product is shipped with polar packs. Upon receipt, store it immediately at the temperature recommended below.
Stability & Storage
Store at 4C short term. Aliquot and store at -20C long term. Avoid freeze-thaw cycles.
Background: LSG1
Alternate Names
EC 3.6.1, EC 3.6.1.-, FLJ11301, FLJ27294, hLsg1, large subunit GTPase 1 homolog, large subunit GTPase 1 homolog (S. cerevisiae)
Gene Symbol
LSG1
Additional LSG1 Products
Product Documents for LSG1 Antibody - BSA Free
Product Specific Notices for LSG1 Antibody - BSA Free
This product is for research use only and is not approved for use in humans or in clinical diagnosis. Primary Antibodies are guaranteed for 1 year from date of receipt.
Loading...
Loading...
Loading...
Loading...