Skip to main content

LRRC23 Antibody - BSA Free

Novus Biologicals, part of Bio-Techne | Catalog # NBP2-38827

Novus Biologicals, part of Bio-Techne
Catalog #
Availability
Size / Price
Qty
Loading...
NBP2-38827
NBP2-38827-25ul

Key Product Details

Validated by

Orthogonal Validation

Species Reactivity

Human

Applications

Immunocytochemistry/ Immunofluorescence, Immunohistochemistry, Immunohistochemistry-Paraffin

Label

Unconjugated

Antibody Source

Polyclonal Rabbit IgG

Format

BSA Free

Concentration

Concentrations vary lot to lot. See vial label for concentration. If unlisted please contact technical services.

Product Specifications

Immunogen

This antibody was developed against a recombinant protein corresponding to amino acids: LKADGNRLRSAQMNELPYLQIASFAYNQITDTEGISHPRLETLNLKGNSIHMVTGLDPEKLISLHTVELRGNQLESTLGINLPKLKNLYLA

Reactivity Notes

Immunogen displays the following percentage of sequence identity for non-tested species: Mouse (84%), Rat (81%)

Clonality

Polyclonal

Host

Rabbit

Isotype

IgG

Description

Novus Biologicals Rabbit LRRC23 Antibody - BSA Free (NBP2-38827) is a polyclonal antibody validated for use in IHC and ICC/IF. All Novus Biologicals antibodies are covered by our 100% guarantee.

Scientific Data Images for LRRC23 Antibody - BSA Free

Immunocytochemistry/ Immunofluorescence: LRRC23 Antibody [NBP2-38827]

Immunocytochemistry/ Immunofluorescence: LRRC23 Antibody [NBP2-38827]

Immunocytochemistry/Immunofluorescence: LRRC23 Antibody [NBP2-38827] - Immunofluorescent staining of human cell line A549 shows localization to nucleoli.
Immunohistochemistry-Paraffin: LRRC23 Antibody [NBP2-38827]

Immunohistochemistry-Paraffin: LRRC23 Antibody [NBP2-38827]

Immunohistochemistry-Paraffin: LRRC23 Antibody [NBP2-38827] - Staining in human fallopian tube and prostate tissues using anti-LRRC23 antibody. Corresponding LRRC23 RNA-seq data are presented for the same tissues.
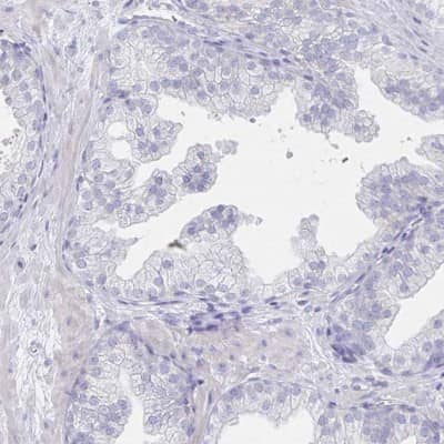
Immunohistochemistry-Paraffin: LRRC23 Antibody [NBP2-38827]

Immunohistochemistry-Paraffin: LRRC23 Antibody [NBP2-38827]

Immunohistochemistry-Paraffin: LRRC23 Antibody [NBP2-38827] - Staining of human fallopian tube shows high expression.

Applications for LRRC23 Antibody - BSA Free

Application
Recommended Usage

Immunocytochemistry/ Immunofluorescence

0.25-2 ug/ml

Immunohistochemistry

1:50 - 1:200

Immunohistochemistry-Paraffin

1:50 - 1:200
Application Notes
For IHC-Paraffin, HIER pH 6 retrieval is recommended. Immunocytochemistry/Immunofluorescence Fixation Permeabilization: Use PFA/Triton X-100.

Formulation, Preparation, and Storage

Purification

Immunogen affinity purified

Formulation

PBS (pH 7.2) and 40% Glycerol

Format

BSA Free

Preservative

0.02% Sodium Azide

Concentration

Concentrations vary lot to lot. See vial label for concentration. If unlisted please contact technical services.

Shipping

The product is shipped with polar packs. Upon receipt, store it immediately at the temperature recommended below.

Stability & Storage

Store at 4C short term. Aliquot and store at -20C long term. Avoid freeze-thaw cycles.

Background: LRRC23

LRRC23 is a member of the leucine-rich repeat (LRR) family, which are involved the formation for protein- protein interactions. The exact function of LRRC23 is unknown. This protein is shown to have interactions with CD28 and CD80.

Alternate Names

leucine rich repeat containing 23, Leucine-rich protein B7, leucine-rich repeat-containing protein 23, LRPB7B7

Gene Symbol

LRRC23

UniProt

Additional LRRC23 Products

Product Documents for LRRC23 Antibody - BSA Free

Certificate of Analysis

To download a Certificate of Analysis, please enter a lot number in the search box below.

Product Specific Notices for LRRC23 Antibody - BSA Free

This product is for research use only and is not approved for use in humans or in clinical diagnosis. Primary Antibodies are guaranteed for 1 year from date of receipt.

Loading...
Loading...
Loading...
Loading...