Skip to main content

LRIT3 Antibody - BSA Free

Novus Biologicals, part of Bio-Techne | Catalog # NBP1-83895

Novus Biologicals, part of Bio-Techne
Catalog #
Availability
Size / Price
Qty
Loading...
NBP1-83895
NBP1-83895-25ul

Key Product Details

Species Reactivity

Validated:

Human

Cited:

Primate - Macaca mulatta (Rhesus Macaque)

Applications

Validated:

Immunohistochemistry, Immunohistochemistry-Paraffin, Immunocytochemistry/ Immunofluorescence

Cited:

Immunohistochemistry-Frozen

Label

Unconjugated

Antibody Source

Polyclonal Rabbit IgG

Format

BSA Free

Concentration

Concentrations vary lot to lot. See vial label for concentration. If unlisted please contact technical services.

Product Specifications

Immunogen

This antibody was developed against Recombinant Protein corresponding to amino acids: NPWFCDCHISKMIELSKVVDPAIVLLDPLMTCSEPERLTGILFQRAELEHCLKPSVMTSATKIMSALGSNVLLRCDATGFPTPQITWTRSDSSPVNYTVIQESPEEGVRWSIMSLTGISSKDAGDYKCKAKNLAGMSEAVV

Reactivity Notes

Rat (83%), Mouse (84%)..

Clonality

Polyclonal

Host

Rabbit

Isotype

IgG

Scientific Data Images for LRIT3 Antibody - BSA Free

Immunocytochemistry/ Immunofluorescence: LRIT3 Antibody [NBP1-83895]

Immunocytochemistry/ Immunofluorescence: LRIT3 Antibody [NBP1-83895]

Immunocytochemistry/Immunofluorescence: LRIT3 Antibody [NBP1-83895] - Immunofluorescent staining of human cell line U-2 OS shows localization to nucleoplasm, cytosol & mitochondria.
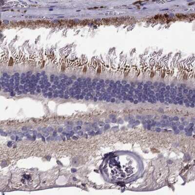
Immunohistochemistry-Paraffin: LRIT3 Antibody [NBP1-83895]

Immunohistochemistry-Paraffin: LRIT3 Antibody [NBP1-83895]

Immunohistochemistry-Paraffin: LRIT3 Antibody [NBP1-83895] - Staining of human retina shows strong cytoplasmic positivity in photoreceptor segments.

Applications for LRIT3 Antibody - BSA Free

Application
Recommended Usage

Immunocytochemistry/ Immunofluorescence

0.25-2 ug/ml

Immunohistochemistry

1:50 - 1:200

Immunohistochemistry-Paraffin

1:50 - 1:200
Application Notes
For IHC-Paraffin, HIER pH 6 retrieval is recommended. ICC/IF Fixation Permeabilization: Use PFA/Triton X-100..

Formulation, Preparation, and Storage

Purification

Affinity purified

Formulation

PBS (pH 7.2) and 40% Glycerol

Format

BSA Free

Preservative

0.02% Sodium Azide

Concentration

Concentrations vary lot to lot. See vial label for concentration. If unlisted please contact technical services.

Shipping

The product is shipped with polar packs. Upon receipt, store it immediately at the temperature recommended below.

Stability & Storage

Store at 4C short term. Aliquot and store at -20C long term. Avoid freeze-thaw cycles.

Background: LRIT3

Long Name

Leucine-Rich Repeat, Immunoglobulin-Like And Transmembrane Domains 3

Alternate Names

CSNB1F, FIGLER4, Gm421

Gene Symbol

LRIT3

Additional LRIT3 Products

Product Documents for LRIT3 Antibody - BSA Free

Certificate of Analysis

To download a Certificate of Analysis, please enter a lot number in the search box below.

Product Specific Notices for LRIT3 Antibody - BSA Free

This product is for research use only and is not approved for use in humans or in clinical diagnosis. Primary Antibodies are guaranteed for 1 year from date of receipt.

Loading...
Loading...
Loading...
Loading...